Suppr超能文献

在怀孕小鼠模型中,用泛半胱天冬酶抑制剂(Z-VAD-FMK)进行预处理可延迟但不能阻止腹腔内注射热灭活B族链球菌诱导的早产。

Pretreatment with pancaspase inhibitor (Z-VAD-FMK) delays but does not prevent intraperitoneal heat-killed group B Streptococcus-induced preterm delivery in a pregnant mouse model.

作者信息

Equils Ozlem, Moffatt-Blue Chantelle, Ishikawa Tomo-o, Simmons Charles F, Ilievski Vladimir, Hirsch Emmet

机构信息

Burns and Allen Research Institute, Cedars-Sinai Medical Center, Los Angeles, CA 90048, USA.

出版信息

Infect Dis Obstet Gynecol. 2009;2009:749432. doi: 10.1155/2009/749432. Epub 2009 Dec 28.

Abstract

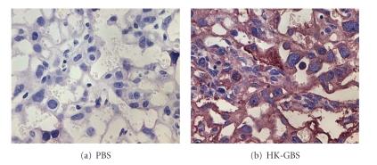
Caspases and apoptosis are thought to play a role in infection-associated preterm-delivery. We have shown that in vitro treatment with pancaspase inhibitor Z-VAD-FMK protects trophoblasts from microbial antigen-induced apoptosis. Objective. To examine whether in vivo administration of Z-VAD-FMK would prevent infection-induced preterm-delivery. Methods. We injected 14.5 day-pregnant-mice with heat-killed group B streptococcus (HK-GBS). Apoptosis within placentas and membranes was assessed by TUNEL staining. Calpain expression and caspase-3 activation were assessed by immunohistochemistry. Preterm-delivery was defined as expulsion of a fetus within 48 hours after injection. Results. Intrauterine (i.u.) or intraperitoneal (i.p.) HK-GBS injection led to preterm-delivery and induced apoptosis in placentas and membranes at 14 hours. The expression of calpain, a caspase-independent inducer of apoptosis, was increased in placenta. Treatment with the specific caspase inhibitor Z-VAD-FMK (i.p.) prior to HK-GBS (i.p.) delayed but did not prevent preterm-delivery. Conclusion. Caspase-dependent apoptosis appears to play a role in the timing but not the occurrence of GBS-induced preterm delivery in the mouse.

摘要

半胱天冬酶和细胞凋亡被认为在感染相关的早产中起作用。我们已经表明,用泛半胱天冬酶抑制剂Z-VAD-FMK进行体外处理可保护滋养层细胞免受微生物抗原诱导的细胞凋亡。目的。研究Z-VAD-FMK的体内给药是否能预防感染引起的早产。方法。我们给14.5天妊娠的小鼠注射热灭活的B族链球菌(HK-GBS)。通过TUNEL染色评估胎盘和胎膜内的细胞凋亡。通过免疫组织化学评估钙蛋白酶表达和半胱天冬酶-3激活。早产定义为注射后48小时内胎儿排出。结果。宫内(i.u.)或腹腔内(i.p.)注射HK-GBS导致早产,并在14小时时诱导胎盘和胎膜中的细胞凋亡。钙蛋白酶(一种不依赖半胱天冬酶的细胞凋亡诱导剂)在胎盘中的表达增加。在HK-GBS(i.p.)之前用特异性半胱天冬酶抑制剂Z-VAD-FMK(i.p.)处理可延迟但不能预防早产。结论。半胱天冬酶依赖性细胞凋亡似乎在小鼠GBS诱导的早产的发生时间而非发生中起作用。

https://cdn.ncbi.nlm.nih.gov/pmc/blobs/b2a4/2801448/28ecd9a2dfea/IDOG2009-749432.001.jpg

文献AI研究员

20分钟写一篇综述,助力文献阅读效率提升50倍。

立即体验

用中文搜PubMed

大模型驱动的PubMed中文搜索引擎

马上搜索

文档翻译

学术文献翻译模型,支持多种主流文档格式。

立即体验