• 文献检索
  • 文档翻译
  • 深度研究
  • 学术资讯
  • Suppr Zotero 插件Zotero 插件
  • 邀请有礼
  • 套餐&价格
  • 历史记录
应用&插件
Suppr Zotero 插件Zotero 插件浏览器插件Mac 客户端Windows 客户端微信小程序
定价
高级版会员购买积分包购买API积分包
服务
文献检索文档翻译深度研究API 文档MCP 服务
关于我们
关于 Suppr公司介绍联系我们用户协议隐私条款
关注我们

Suppr 超能文献

核心技术专利:CN118964589B侵权必究
粤ICP备2023148730 号-1Suppr @ 2026

文献检索

告别复杂PubMed语法,用中文像聊天一样搜索,搜遍4000万医学文献。AI智能推荐,让科研检索更轻松。

立即免费搜索

文件翻译

保留排版,准确专业,支持PDF/Word/PPT等文件格式,支持 12+语言互译。

免费翻译文档

深度研究

AI帮你快速写综述,25分钟生成高质量综述,智能提取关键信息,辅助科研写作。

立即免费体验

产后继发性甲状旁腺功能减退引发的疱疹样脓疱病:一例报告

Impetigo herpetiformis during the puerperium triggered by secondary hypoparathyroidism: a case report.

作者信息

Fouda Usama M, Fouda Ragai M, Ammar Hussam M, Salem Mohamed, Darouti Mohamed El

机构信息

Department of Obstetrics & Gynecology, Cairo University, Kasr Al Aini Street, Cairo, Egypt.

出版信息

Cases J. 2009 Dec 16;2:9338. doi: 10.1186/1757-1626-2-9338.

DOI:10.1186/1757-1626-2-9338
PMID:20072676
原文链接:https://pmc.ncbi.nlm.nih.gov/articles/PMC2806392/
Abstract

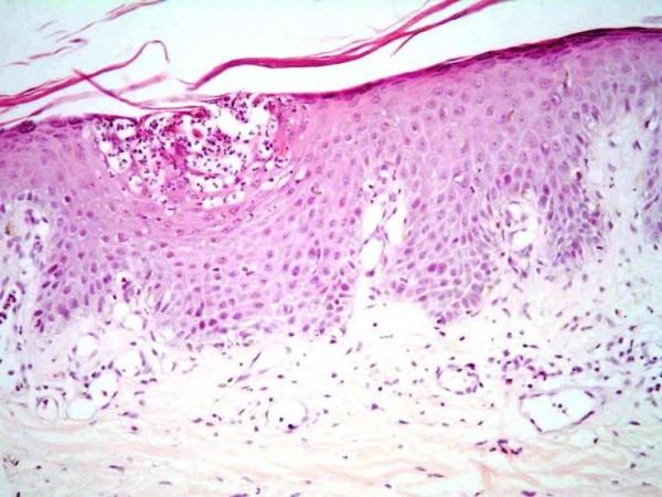
A 38-year-old multiparous woman with post thyroidectomy hypoparathyroidism developed pruritic erythematous patches with multiple pustules on its margins on her thighs and groin accompanied by fever few days after delivery by caesarean section. Impetigo herpetiformis was diagnosed based on the typical clinicopathological findings. The patient was treated with intravenous fluids, calcium, Calcitrol and corticosteroids. The correction of hypocalcaemia was accompanied with rapid improvement of her skin disease and general condition. Our case is the fourth case of impetigo herpetiformis initially presented during puerperium and the first case of puerperal impetigo herpetiformis that is precipitated by secondary hypoparathyroidism. The awareness of the possible occurrence of impetigo herpetiformis during the puerperium allows early diagnosis, treatment and prevention of maternal complications.

摘要

一位38岁的经产妇,因甲状腺切除术后出现甲状旁腺功能减退,在剖宫产术后几天,其大腿和腹股沟处出现瘙痒性红斑斑块,边缘有多个脓疱,并伴有发热。根据典型的临床病理表现诊断为疱疹样脓疱病。患者接受了静脉输液、钙剂、骨化三醇和皮质类固醇治疗。低钙血症的纠正伴随着皮肤病和全身状况的迅速改善。我们的病例是第四例在产褥期最初出现的疱疹样脓疱病,也是第一例由继发性甲状旁腺功能减退引发的产褥期疱疹样脓疱病。认识到产褥期可能发生疱疹样脓疱病有助于早期诊断、治疗和预防产妇并发症。

https://cdn.ncbi.nlm.nih.gov/pmc/blobs/fcc8/2806392/3c4f4a5d4655/1757-1626-2-9338-3.jpg
https://cdn.ncbi.nlm.nih.gov/pmc/blobs/fcc8/2806392/95111363d237/1757-1626-2-9338-1.jpg
https://cdn.ncbi.nlm.nih.gov/pmc/blobs/fcc8/2806392/193ada4eac51/1757-1626-2-9338-2.jpg
https://cdn.ncbi.nlm.nih.gov/pmc/blobs/fcc8/2806392/3c4f4a5d4655/1757-1626-2-9338-3.jpg
https://cdn.ncbi.nlm.nih.gov/pmc/blobs/fcc8/2806392/95111363d237/1757-1626-2-9338-1.jpg
https://cdn.ncbi.nlm.nih.gov/pmc/blobs/fcc8/2806392/193ada4eac51/1757-1626-2-9338-2.jpg
https://cdn.ncbi.nlm.nih.gov/pmc/blobs/fcc8/2806392/3c4f4a5d4655/1757-1626-2-9338-3.jpg

相似文献

1
Impetigo herpetiformis during the puerperium triggered by secondary hypoparathyroidism: a case report.产后继发性甲状旁腺功能减退引发的疱疹样脓疱病:一例报告
Cases J. 2009 Dec 16;2:9338. doi: 10.1186/1757-1626-2-9338.
2
Impetigo herpetiformis and hypoparathyroidism.疱疹样脓疱病与甲状旁腺功能减退症。
Arch Dermatol. 1985 Oct;121(10):1330-1.
3
A case of recurrent impetigo herpetiformis treated with systemic corticosteroids and narrowband UVB.1例复发性疱疹样脓疱病采用全身性糖皮质激素和窄谱中波紫外线治疗。
Cutan Ocul Toxicol. 2012 Mar;31(1):67-9. doi: 10.3109/15569527.2011.602035. Epub 2012 Jan 20.
4
Impetigo herpetiformis occurring during N-butyl-scopolammonium bromide therapy in pregnancy: case report.妊娠期间使用溴丁东莨菪碱治疗时发生疱疹样脓疱病:病例报告
J Biol Regul Homeost Agents. 2008 Apr-Jun;22(2):141-4.
5
Impetigo herpetiformis as a cause of postpartum fever.疱疹样脓疱病作为产后发热的一个原因。
Obstet Gynecol. 1984 Sep;64(3 Suppl):49S-51S. doi: 10.1097/00006250-198409001-00013.
6
Impetigo herpetiformis during the puerperium.产褥期疱疹样脓疱病
Dermatology. 1999;198(4):400-2. doi: 10.1159/000018158.
7
[Impetigo herpetiformis and Ondine curse].
Ann Dermatol Venereol. 2005 Jun-Jul;132(6-7 Pt 1):559-61. doi: 10.1016/s0151-9638(05)79339-x.
8
Impetigo herpetiformis during pregnancy: case report and review of the literature.
Acta Obstet Gynecol Scand. 1995 Mar;74(3):229-32. doi: 10.3109/00016349509008946.
9
Impetigo herpetiformis in the second trimester: a case report and review of the literature.二期疱疹样脓疱病:病例报告及文献复习。
J Int Med Res. 2023 Dec;51(12):3000605231217950. doi: 10.1177/03000605231217950.
10
Ritodrine-induced pustular eruptions distinctly resembling impetigo herpetiformis.利托君诱发的脓疱疹明显类似于疱疹样脓疱病。
J Nippon Med Sch. 2011;78(5):329-33. doi: 10.1272/jnms.78.329.

引用本文的文献

1
Severe case of pustular psoriasis during pregnancy.妊娠期脓疱型银屑病严重病例。
BMJ Case Rep. 2024 Mar 19;17(3):e258198. doi: 10.1136/bcr-2023-258198.
2
Impetigo Herpetiformis Complicating Pregnancy: A Case Report on a Rare Gestational Dermatosis With Constitutional Symptoms.疱疹样脓疱病合并妊娠:一例伴有全身症状的罕见妊娠皮肤病病例报告
Cureus. 2023 Oct 29;15(10):e47898. doi: 10.7759/cureus.47898. eCollection 2023 Oct.
3
Impetigo herpetiformis: A rare pregnancy-specific dermatosis.疱疹样脓疱病:一种罕见的妊娠特异性皮肤病。

本文引用的文献

1
Third-trimester impetigo herpetiformis treated with cyclosporine.
J Am Acad Dermatol. 2007 Feb;56(2 Suppl):S62-4. doi: 10.1016/j.jaad.2006.08.042.
2
Impetigo herpetiformis.
Clin Dermatol. 2006 Mar-Apr;24(2):101-4. doi: 10.1016/j.clindermatol.2005.10.009.
3
Impetigo herpetiformis--a rare dermatosis of pregnancy associated with prenatal complications.
Ann Acad Med Singap. 2005 Oct;34(9):565-8.
4
Impetigo herpetiformis during the puerperium.产褥期疱疹样脓疱病
Obstet Med. 2023 Mar;16(1):5-8. doi: 10.1177/1753495X221074610. Epub 2022 Jan 28.
4
Impetigo Herpetiformis: Review of Pathogenesis, Complication, and Treatment.疱疹样脓疱病:发病机制、并发症及治疗综述
Dermatol Res Pract. 2018 Apr 4;2018:5801280. doi: 10.1155/2018/5801280. eCollection 2018.
5
Pustular psoriasis of pregnancy: current perspectives.妊娠脓疱型银屑病:当前观点
Int J Womens Health. 2018 Feb 26;10:109-115. doi: 10.2147/IJWH.S125784. eCollection 2018.
Dermatology. 1999;198(4):400-2. doi: 10.1159/000018158.
5
Impetigo herpetiformis as a cause of postpartum fever.疱疹样脓疱病作为产后发热的一个原因。
Obstet Gynecol. 1984 Sep;64(3 Suppl):49S-51S. doi: 10.1097/00006250-198409001-00013.
6
Impetigo herpetiformis and hypoparathyroidism.疱疹样脓疱病与甲状旁腺功能减退症。
Arch Dermatol. 1985 Oct;121(10):1330-1.
7
Impetigo herpetiformis associated with hypocalcemia of congenital rickets.疱疹样脓疱病伴先天性佝偻病低钙血症
Arch Dermatol. 1991 Jan;127(1):91-5.