• 文献检索
  • 文档翻译
  • 深度研究
  • 学术资讯
  • Suppr Zotero 插件Zotero 插件
  • 邀请有礼
  • 套餐&价格
  • 历史记录
应用&插件
Suppr Zotero 插件Zotero 插件浏览器插件Mac 客户端Windows 客户端微信小程序
定价
高级版会员购买积分包购买API积分包
服务
文献检索文档翻译深度研究API 文档MCP 服务
关于我们
关于 Suppr公司介绍联系我们用户协议隐私条款
关注我们

Suppr 超能文献

核心技术专利:CN118964589B侵权必究
粤ICP备2023148730 号-1Suppr @ 2026

文献检索

告别复杂PubMed语法,用中文像聊天一样搜索,搜遍4000万医学文献。AI智能推荐,让科研检索更轻松。

立即免费搜索

文件翻译

保留排版,准确专业,支持PDF/Word/PPT等文件格式,支持 12+语言互译。

免费翻译文档

深度研究

AI帮你快速写综述,25分钟生成高质量综述,智能提取关键信息,辅助科研写作。

立即免费体验

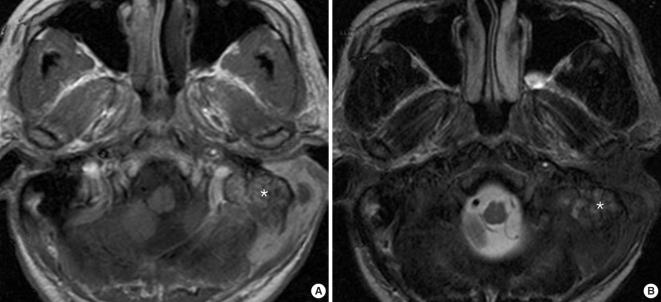
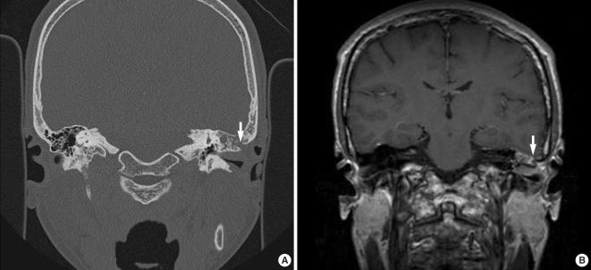
颞骨髓肉瘤。

Temporal bone myeloid sarcoma.

机构信息

Department of Otorhinolaryngology, The Catholic University of Korea School of Medicine, Seoul, Korea.

出版信息

Clin Exp Otorhinolaryngol. 2009 Dec;2(4):198-202. doi: 10.3342/ceo.2009.2.4.198. Epub 2009 Dec 31.

DOI:10.3342/ceo.2009.2.4.198
PMID:20072695
原文链接:https://pmc.ncbi.nlm.nih.gov/articles/PMC2804096/
Abstract

Myeloid sarcoma is a rare condition that's caused by the aggregation of immature myeloid cells in leukemic patients. Myeloid sarcoma occurring in the temporal bone more frequently involves the mastoid bone than is the case for metastatic lesions arising from non-systemic malignancies. The disease is difficult to diagnose when it presents with symptoms that mimic otomastoiditis. However, an early diagnosis is important in order to achieve complete remission of the disease. Magnetic resonance imaging of the temporal bone is useful for making the diagnosis of myeloid sarcoma, and especially to evaluate the extent of disease. High-dose radio- or chemotherapies are the first-line approaches and possibly the only approaches to achieve complete remission and to cure the disease. With the aim of improving our understanding of myeloid sarcoma in the temporal bone, the present report describes our experience with 5 such cases and we compare the clinical features of these 5 patients with those clinical features of patients who have metastatic lesions.

摘要

骨髓肉瘤是一种罕见的病症,由白血病患者中未成熟髓细胞的聚集引起。发生在颞骨的骨髓肉瘤比非系统性恶性肿瘤转移病变更常累及乳突骨。当疾病表现出类似于乳突炎的症状时,诊断较为困难。然而,早期诊断对于实现疾病的完全缓解非常重要。颞骨磁共振成像有助于诊断骨髓肉瘤,特别是评估疾病的范围。高剂量的放化疗是一线治疗方法,可能是实现完全缓解和治愈疾病的唯一方法。为了提高我们对颞骨骨髓肉瘤的认识,本报告描述了我们对 5 例此类病例的经验,并将这 5 例患者的临床特征与患有转移病变的患者的临床特征进行了比较。

https://cdn.ncbi.nlm.nih.gov/pmc/blobs/ef2d/2804096/1ff393d241fd/ceo-2-198-g002.jpg
https://cdn.ncbi.nlm.nih.gov/pmc/blobs/ef2d/2804096/5caac4441d9f/ceo-2-198-g001.jpg
https://cdn.ncbi.nlm.nih.gov/pmc/blobs/ef2d/2804096/1ff393d241fd/ceo-2-198-g002.jpg
https://cdn.ncbi.nlm.nih.gov/pmc/blobs/ef2d/2804096/5caac4441d9f/ceo-2-198-g001.jpg
https://cdn.ncbi.nlm.nih.gov/pmc/blobs/ef2d/2804096/1ff393d241fd/ceo-2-198-g002.jpg

相似文献

1
Temporal bone myeloid sarcoma.颞骨髓肉瘤。
Clin Exp Otorhinolaryngol. 2009 Dec;2(4):198-202. doi: 10.3342/ceo.2009.2.4.198. Epub 2009 Dec 31.
2
Isolated recurrence of intracranial and temporal bone myeloid sarcoma--case report.颅内及颞骨髓系肉瘤孤立性复发——病例报告
Neurol Med Chir (Tokyo). 2011;51(12):850-4. doi: 10.2176/nmc.51.850.
3
[Isolated myeloid sarcoma involving the mediastinum].[孤立性髓系肉瘤累及纵隔]
Acta Med Croatica. 2011 Sep;65 Suppl 1:133-8.
4
Isolated myeloid sarcoma of the temporal bone: As the first clinical manifestation of acute myeloid leukemia in a patient of down's syndrome.颞骨孤立性髓系肉瘤:作为唐氏综合征患者急性髓系白血病的首发临床表现。
Int J Surg Case Rep. 2019;58:77-80. doi: 10.1016/j.ijscr.2019.03.027. Epub 2019 Mar 28.
5
A case of relapsed acute myeloid leukemia mimicking acute otomastoiditis.一例酷似急性耳乳突炎的复发性急性髓系白血病病例。
Clin Case Rep. 2024 Mar 26;12(4):e8717. doi: 10.1002/ccr3.8717. eCollection 2024 Apr.
6
Extramedullary blastic transformation of primary myelofibrosis in the form of disseminated myeloid sarcoma: a case report and review of the literature.原发性骨髓纤维化中骨髓外原始细胞样转化为髓样肉瘤:病例报告及文献复习。
Clin Exp Med. 2020 May;20(2):313-320. doi: 10.1007/s10238-020-00616-5. Epub 2020 Feb 17.
7
A Lateral Neck Myeloid Sarcoma Presenting as Acute Otitis Externa.以急性外耳道炎为表现的侧颈部髓系肉瘤。
Arch Iran Med. 2018 Nov 1;21(11):544-546.
8
Brachial Plexus Involvement of Myeloid Sarcoma Detected by Reconstruction Magnetic Resonance Neurography.通过重建磁共振神经造影术检测到的髓系肉瘤臂丛神经受累情况。
Intern Med. 2015;54(17):2251-3. doi: 10.2169/internalmedicine.54.5095. Epub 2015 Sep 1.
9
Granulocytic sarcoma in a patient with chronic myeloid leukaemia in complete haematological, cytogenetic and molecular remission.一名慢性髓性白血病患者处于血液学、细胞遗传学和分子学完全缓解状态时发生的粒细胞肉瘤。
BMJ Case Rep. 2014 Dec 23;2014:bcr2014207466. doi: 10.1136/bcr-2014-207466.
10
Isolated myeloid sarcoma of lumbar spine without bone marrow involvement: a rare case report and treatment dilemma.无骨髓受累的孤立性腰椎髓系肉瘤:一例罕见病例报告及治疗困境
AME Case Rep. 2021 Jul 25;5:27. doi: 10.21037/acr-20-110. eCollection 2021.

引用本文的文献

1
Myeloid Sarcoma of Temporal Bone: A Rare Manifestation of Relapse Acute Myeloid Leukemia.颞骨髓样肉瘤:复发急性髓系白血病的罕见表现
Indian J Otolaryngol Head Neck Surg. 2019 Nov;71(Suppl 2):1023-1026. doi: 10.1007/s12070-015-0930-8. Epub 2015 Dec 12.
2
Acute myeloid leucaemia presenting as a rapidly progressive polyradiculoneuropathy.急性髓系白血病表现为快速进展性多发性神经根神经病。
BMJ Case Rep. 2015 Nov 18;2015:bcr2015209556. doi: 10.1136/bcr-2015-209556.
3
Multiple isolated extramedullary relapse of acute promyelocytic leukemia after allogeneic hematopoietic stem cell transplant: a case report and review of literature.

本文引用的文献

1
Granulocytic Sarcoma in the Head and Neck: CT and MR Imaging Findings.头颈部粒细胞肉瘤:CT 和 MR 成像表现。
Clin Exp Otorhinolaryngol. 2009 Jun;2(2):66-71. doi: 10.3342/ceo.2009.2.2.66. Epub 2009 Jun 27.
2
Myeloid sarcoma is associated with superior event-free survival and overall survival compared with acute myeloid leukemia.与急性髓系白血病相比,髓系肉瘤的无事件生存期和总生存期更长。
Cancer. 2008 Sep 15;113(6):1370-8. doi: 10.1002/cncr.23691.
3
Myeloid sarcoma: clinico-pathologic, phenotypic and cytogenetic analysis of 92 adult patients.
异基因造血干细胞移植后急性早幼粒细胞白血病的多次孤立性髓外复发:一例报告并文献复习
Springerplus. 2013 Dec;2(1):49. doi: 10.1186/2193-1801-2-49. Epub 2013 Feb 12.
髓系肉瘤:92例成年患者的临床病理、表型及细胞遗传学分析
Leukemia. 2007 Feb;21(2):340-50. doi: 10.1038/sj.leu.2404491. Epub 2006 Dec 14.
4
Granulocytic sarcoma: 32 cases and review of the literature.粒细胞肉瘤:32例病例及文献复习
Leuk Lymphoma. 2006 Dec;47(12):2527-41. doi: 10.1080/10428190600967196.
5
Tumours of the external ear and temporal bone.外耳和颞骨肿瘤。
Lancet Oncol. 2005 Jun;6(6):411-20. doi: 10.1016/S1470-2045(05)70208-4.
6
Otologic manifestations of metastatic tumors to the temporal bone.颞骨转移性肿瘤的耳科表现。
Acta Otolaryngol. 2004 Dec;124(10):1117-23. doi: 10.1080/00016480410018052.
7
Otological manifestations of acute leukaemia: report of two cases and review of literature.急性白血病的耳部表现:两例报告并文献复习
Clin Lab Haematol. 2001 Feb;23(1):57-60. doi: 10.1046/j.1365-2257.2001.00358.x.
8
Metastases to temporal bones from primary nonsystemic malignant neoplasms.原发性非系统性恶性肿瘤转移至颞骨。
Arch Otolaryngol Head Neck Surg. 2000 Feb;126(2):209-14. doi: 10.1001/archotol.126.2.209.
9
Facial nerve paralysis in acute otomastoiditis as presenting symptom of FAB M2, T8;21 leukemic relapse. Case report and review of the literature.急性耳乳突炎所致面神经麻痹作为FAB M2、T8;21白血病复发的首发症状。病例报告及文献复习。
Int J Pediatr Otorhinolaryngol. 1996 Jun;36(1):45-52. doi: 10.1016/0165-5876(95)01323-7.
10
Patterns of involvement of the temporal bone in metastatic and systemic malignancy.颞骨在转移性和全身性恶性肿瘤中的受累模式。
Laryngoscope. 1980 Apr;90(4):619-27. doi: 10.1288/00005537-198004000-00008.