Department of Pathology, Tianjin Cancer Hospital and Institute, Tianjin Medical University, Tianjin 300060, China.
J Exp Clin Cancer Res. 2010 Jan 22;29(1):6. doi: 10.1186/1756-9966-29-6.
The Tientsin Albino 2 (TA2) mouse is an inbred strain originating from the Kunming strain. It has a high incidence of spontaneous breast cancer without the need for external inducers or carcinogens. Until now, the mechanism of carcinogenesis has remained unclear. In this study, we investigate differential gene expression, especially the expression of decorin, EGFR and cyclin D1, during mammary gland epithelial cell carcinogenesis in TA2 mice.
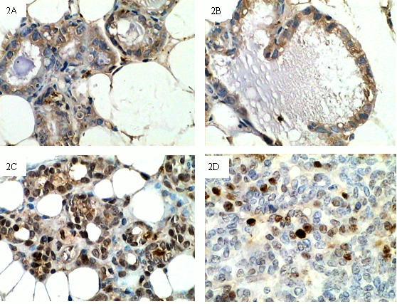
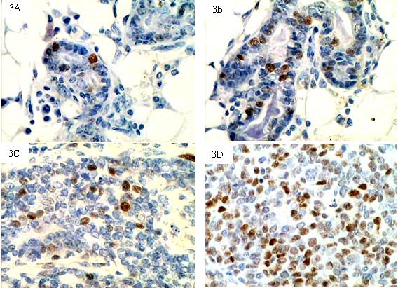
Gene expression profiles of spontaneous breast cancer and matched normal mammary gland tissues in TA2 mice were ascertained using an Affymetrix Mouse 430 2.0 array. Twelve mammary tissue samples from five month-old female TA2 mice (Group A), as well as 28 samples from mammary (Group B) and cancer tissues (Group C) of spontaneous breast cancer-bearing TA2 mice, were subsequently used to detect the expression of decorin, EGFR and cyclin D1 by real-time PCR and immunohistochemical methods.
Several imprinted genes, oncogenes and tumor suppressor genes were differentially expressed between normal mammary gland tissues and breast cancer tissues of TA2 mice. The imprinted gene decorin and the oncogene EGFR were down-regulated in tumor tissues, while the oncogene cyclin D1 was up-regulated. Immunohistochemistry showed that samples in Group A showed high decorin expression more frequently than those in Group B (P < 0.05). More tissue samples in Group B than Group A were positive for nuclear EGFR, and tissue samples in Group B more frequently showed high nuclear EGFR expression than those in Group A or Group C (P < 0.05). The labeling index for cyclin D1 in Group C was significantly higher than in Group B. Mammary tissues of Group A expressed the highest level of decorin mRNA (P < 0.05), and mammary tissues of Group B expressed the highest level of EGFR mRNA (P < 0.05), while cancer tissues expressed the highest level of cyclin D1 mRNA (P < 0.05).
The expression of decorin, EGFR and cyclin D1 in mammary epithelial cells changes with increasing age. The abnormal expression of them may partly contribute to the genesis of spontaneous breast cancer in TA2 mice.
天津白化 2 号(TA2)鼠是源自昆明品系的近交系。它具有自发乳腺癌的高发病率,而无需外部诱导剂或致癌物。到目前为止,其致癌机制仍不清楚。在这项研究中,我们研究了 TA2 小鼠乳腺上皮细胞癌变过程中的差异基因表达,特别是核心蛋白聚糖、表皮生长因子受体(EGFR)和细胞周期蛋白 D1 的表达。
使用 Affymetrix Mouse 430 2.0 阵列确定 TA2 小鼠自发乳腺癌和匹配正常乳腺组织的基因表达谱。随后,使用实时 PCR 和免疫组织化学方法检测 5 月龄雌性 TA2 小鼠的 12 个乳腺组织样本(A 组),以及自发乳腺癌荷瘤 TA2 小鼠的乳腺(B 组)和癌症组织(C 组)的 28 个样本中核心蛋白聚糖、EGFR 和细胞周期蛋白 D1 的表达。
正常乳腺组织和 TA2 小鼠乳腺癌组织之间的一些印迹基因、癌基因和肿瘤抑制基因表达存在差异。印迹基因核心蛋白聚糖和癌基因 EGFR 在肿瘤组织中下调,而癌基因细胞周期蛋白 D1 上调。免疫组织化学显示 A 组样本中核心蛋白聚糖表达较高的频率高于 B 组(P < 0.05)。B 组样本中核 EGFR 阳性的组织样本多于 A 组,B 组样本中核 EGFR 高表达的组织样本多于 A 组或 C 组(P < 0.05)。C 组的细胞周期蛋白 D1 标记指数明显高于 B 组。A 组的乳腺组织表达最高水平的核心蛋白聚糖 mRNA(P < 0.05),B 组的乳腺组织表达最高水平的 EGFR mRNA(P < 0.05),而癌症组织表达最高水平的细胞周期蛋白 D1 mRNA(P < 0.05)。
乳腺上皮细胞中核心蛋白聚糖、EGFR 和细胞周期蛋白 D1 的表达随年龄增长而变化。它们的异常表达可能部分促成 TA2 小鼠自发乳腺癌的发生。