• 文献检索
  • 文档翻译
  • 深度研究
  • 学术资讯
  • Suppr Zotero 插件Zotero 插件
  • 邀请有礼
  • 套餐&价格
  • 历史记录
应用&插件
Suppr Zotero 插件Zotero 插件浏览器插件Mac 客户端Windows 客户端微信小程序
定价
高级版会员购买积分包购买API积分包
服务
文献检索文档翻译深度研究API 文档MCP 服务
关于我们
关于 Suppr公司介绍联系我们用户协议隐私条款
关注我们

Suppr 超能文献

核心技术专利:CN118964589B侵权必究
粤ICP备2023148730 号-1Suppr @ 2026

文献检索

告别复杂PubMed语法,用中文像聊天一样搜索,搜遍4000万医学文献。AI智能推荐,让科研检索更轻松。

立即免费搜索

文件翻译

保留排版,准确专业,支持PDF/Word/PPT等文件格式,支持 12+语言互译。

免费翻译文档

深度研究

AI帮你快速写综述,25分钟生成高质量综述,智能提取关键信息,辅助科研写作。

立即免费体验

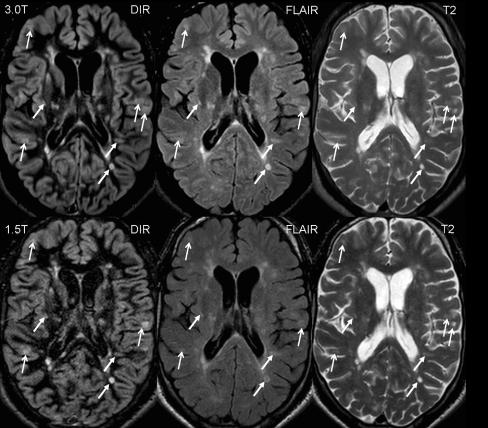
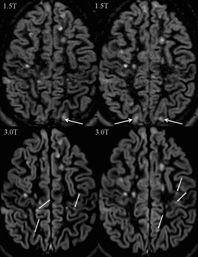
使用 3T 双反转恢复磁共振成像技术提高多发性硬化症皮质病变的体内检测。

Improved in vivo detection of cortical lesions in multiple sclerosis using double inversion recovery MR imaging at 3 Tesla.

机构信息

Department of Radiology, University Hospital of Bonn, Bonn, Germany.

出版信息

Eur Radiol. 2010 Jul;20(7):1675-83. doi: 10.1007/s00330-009-1705-y. Epub 2010 Jan 22.

DOI:10.1007/s00330-009-1705-y
PMID:20094887
原文链接:https://pmc.ncbi.nlm.nih.gov/articles/PMC2882050/
Abstract

OBJECTIVE

To investigate the impact of a higher magnetic field strength of 3 Tesla (T) on the detection rate of cortical lesions in multiple sclerosis (MS) patients, in particular using a dedicated double inversion recovery (DIR) pulse sequence.

METHODS

Thirty-four patients with clinically isolated syndromes or definite MS were included. All patients underwent magnetic resonance imaging (MRI) at 1.5 T and 3 T, including T2-weighted turbo spin echo (TSE), fluid-attenuated inversion recovery (FLAIR) and DIR sequences. All images were analysed for focal lesions categorised according to their anatomical location.

RESULTS

The total number of detected lesions was higher at 3 T across all pulse sequences. We observed significantly higher numbers of lesions involving the cortex at 3 T using a DIR sequence. DIR at 3 T showed 192% more pure intracortical (p < 0.001) and 30% more mixed grey matter-white matter lesions (p = 0.008). No significant increase in cortical lesions could be detected on the FLAIR and T2-weighted images. Using the T2-weighted and FLAIR sequences, significantly more lesions could be detected at 3 T in the infratentorial, periventricular and juxtacortical white matter.

CONCLUSION

DIR brain MR imaging at 3 T substantially improves the sensitivity of the detection of cortical lesions compared with the standard magnetic field strength of 1.5 T.

摘要

目的

研究磁场强度为 3 特斯拉(T)对多发性硬化症(MS)患者皮质病变检出率的影响,特别是使用专用双反转恢复(DIR)脉冲序列。

方法

纳入 34 例临床孤立综合征或明确 MS 患者。所有患者均在 1.5T 和 3T 行磁共振成像(MRI)检查,包括 T2 加权快速自旋回波(TSE)、液体衰减反转恢复(FLAIR)和 DIR 序列。所有图像均根据解剖位置进行局灶性病变分类分析。

结果

在所有脉冲序列中,3T 检测到的病变总数均较高。使用 DIR 序列时,我们观察到 3T 时皮质病变数量显著增加。3T 下的 DIR 序列显示,单纯皮质内病变增加了 192%(p<0.001),灰质-白质混合病变增加了 30%(p=0.008)。FLAIR 和 T2 加权图像上未检测到皮质病变的显著增加。在使用 T2 加权和 FLAIR 序列时,3T 下后颅窝、脑室周围和皮质下白质的病变数量显著增加。

结论

与标准磁场强度 1.5T 相比,3T 的 DIR 脑 MRI 可显著提高皮质病变的检出敏感性。

https://cdn.ncbi.nlm.nih.gov/pmc/blobs/322f/2882050/b07df7f8f609/330_2009_1705_Fig4_HTML.jpg
https://cdn.ncbi.nlm.nih.gov/pmc/blobs/322f/2882050/b5a2ad8e9aab/330_2009_1705_Fig1_HTML.jpg
https://cdn.ncbi.nlm.nih.gov/pmc/blobs/322f/2882050/700561903418/330_2009_1705_Fig2_HTML.jpg
https://cdn.ncbi.nlm.nih.gov/pmc/blobs/322f/2882050/a546811f203d/330_2009_1705_Fig3_HTML.jpg
https://cdn.ncbi.nlm.nih.gov/pmc/blobs/322f/2882050/b07df7f8f609/330_2009_1705_Fig4_HTML.jpg
https://cdn.ncbi.nlm.nih.gov/pmc/blobs/322f/2882050/b5a2ad8e9aab/330_2009_1705_Fig1_HTML.jpg
https://cdn.ncbi.nlm.nih.gov/pmc/blobs/322f/2882050/700561903418/330_2009_1705_Fig2_HTML.jpg
https://cdn.ncbi.nlm.nih.gov/pmc/blobs/322f/2882050/a546811f203d/330_2009_1705_Fig3_HTML.jpg
https://cdn.ncbi.nlm.nih.gov/pmc/blobs/322f/2882050/b07df7f8f609/330_2009_1705_Fig4_HTML.jpg

相似文献

1
Improved in vivo detection of cortical lesions in multiple sclerosis using double inversion recovery MR imaging at 3 Tesla.使用 3T 双反转恢复磁共振成像技术提高多发性硬化症皮质病变的体内检测。
Eur Radiol. 2010 Jul;20(7):1675-83. doi: 10.1007/s00330-009-1705-y. Epub 2010 Jan 22.
2
Intracortical lesions in multiple sclerosis: improved detection with 3D double inversion-recovery MR imaging.多发性硬化症的皮质内病变:通过三维双反转恢复磁共振成像提高检测率。
Radiology. 2005 Jul;236(1):254-60. doi: 10.1148/radiol.2361040450.
3
Double inversion recovery brain imaging at 3T: diagnostic value in the detection of multiple sclerosis lesions.3T下的双反转恢复脑成像:在检测多发性硬化症病变中的诊断价值
AJNR Am J Neuroradiol. 2007 Jan;28(1):54-9.
4
Lesion detection at seven Tesla in multiple sclerosis using magnetisation prepared 3D-FLAIR and 3D-DIR.在 7T 磁共振使用磁化准备 3D-FLAIR 和 3D-DIR 检测多发性硬化病变。
Eur Radiol. 2012 Jan;22(1):221-31. doi: 10.1007/s00330-011-2242-z. Epub 2011 Aug 27.
5
Increased cortical grey matter lesion detection in multiple sclerosis with 7 T MRI: a post-mortem verification study.7T MRI 检测多发性硬化症皮质灰质病变的增加:一项死后验证研究。
Brain. 2016 May;139(Pt 5):1472-81. doi: 10.1093/brain/aww037. Epub 2016 Mar 8.
6
Comparison of double inversion recovery and conventional magnetic resonance brain imaging in patients with multiple sclerosis and relations with disease disability.多发性硬化症患者的双反转恢复序列与传统磁共振脑成像的比较及其与疾病残疾的关系
Neuroradiol J. 2013 Apr;26(2):133-42. doi: 10.1177/197140091302600201. Epub 2013 May 10.
7
3 Tesla and 7 Tesla MRI of multiple sclerosis cortical lesions.3T 和 7T MRI 对多发性硬化皮质病变的研究。
J Magn Reson Imaging. 2010 Oct;32(4):971-7. doi: 10.1002/jmri.22115.
8
Histopathology-validated recommendations for cortical lesion imaging in multiple sclerosis.组织病理学验证的多发性硬化皮质病变影像学推荐。
Brain. 2020 Oct 1;143(10):2988-2997. doi: 10.1093/brain/awaa233.
9
Improved identification of intracortical lesions in multiple sclerosis with phase-sensitive inversion recovery in combination with fast double inversion recovery MR imaging.通过相位敏感反转恢复序列联合快速双反转恢复磁共振成像改善多发性硬化症皮质内病变的识别。
AJNR Am J Neuroradiol. 2007 Oct;28(9):1645-9. doi: 10.3174/ajnr.A0645. Epub 2007 Sep 20.
10
Detection of Cortical and Deep Gray Matter Lesions in Multiple Sclerosis Using DIR and FLAIR at 3T.使用 3T 的 DIR 和 FLAIR 检测多发性硬化症的皮质和深部灰质病变。
J Neuroimaging. 2021 Mar;31(2):408-414. doi: 10.1111/jon.12822. Epub 2020 Dec 22.

引用本文的文献

1
The corticospinal tract in multiple sclerosis: correlation between cortical excitability and magnetic resonance imaging measures.多发性硬化症中的皮质脊髓束:皮质兴奋性与磁共振成像测量之间的相关性。
J Neural Transm (Vienna). 2025 Feb;132(2):265-273. doi: 10.1007/s00702-024-02849-0. Epub 2024 Oct 17.
2
A Review of Compartmentalised Inflammation and Tertiary Lymphoid Structures in the Pathophysiology of Multiple Sclerosis.多发性硬化症病理生理学中分隔性炎症和三级淋巴结构综述
Biomedicines. 2022 Oct 17;10(10):2604. doi: 10.3390/biomedicines10102604.
3
Neuroimaging at 7 Tesla: a pictorial narrative review.

本文引用的文献

1
In vivo imaging of cortical pathology in multiple sclerosis using ultra-high field MRI.利用超高场磁共振成像对多发性硬化症皮质病理进行活体成像。
Neurology. 2009 Sep 22;73(12):941-8. doi: 10.1212/WNL.0b013e3181b64bf7. Epub 2009 Jul 29.
2
The histopathology of grey matter demyelination in multiple sclerosis.多发性硬化症中灰质脱髓鞘的组织病理学
Acta Neurol Scand Suppl. 2009(189):51-7. doi: 10.1111/j.1600-0404.2009.01216.x.
3
Signal abnormalities on 1.5 and 3 Tesla brain MRI in multiple sclerosis patients and healthy controls. A morphological and spatial quantitative comparison study.
7特斯拉的神经成像:图文并茂的综述
Quant Imaging Med Surg. 2022 Jun;12(6):3406-3435. doi: 10.21037/qims-21-969.
4
Detection of multiple sclerosis lesions in the cervical cord: which of the MAGNIMS 'mandatory' non-gadolinium enhanced sagittal sequences is optimal at 3T?颈髓多发性硬化病变的检测:在 3T 下,MAGNIMS“强制性”非钆增强矢状序列中哪一种是最佳的?
Neuroradiol J. 2021 Dec;34(6):600-606. doi: 10.1177/19714009211017787. Epub 2021 May 20.
5
Neural Underpinnings of Proactive Interference in Working Memory: Evidence From Patients With Unilateral Lesions.工作记忆中主动干扰的神经基础:来自单侧病变患者的证据。
Front Neurol. 2021 Feb 10;12:607273. doi: 10.3389/fneur.2021.607273. eCollection 2021.
6
Development of Cortical Lesion Volumes on Double Inversion Recovery MRI in Patients With Relapse-Onset Multiple Sclerosis.复发型多发性硬化症患者双反转恢复磁共振成像上皮质病变体积的发展
Front Neurol. 2019 Feb 22;10:133. doi: 10.3389/fneur.2019.00133. eCollection 2019.
7
Voxel-based morphometry analysis of double inversion-recovery magnetic resonance imaging for detecting microscopic lesions: a simulation study.用于检测微观病变的双反转恢复磁共振成像的基于体素的形态测量分析:一项模拟研究
Radiol Phys Technol. 2019 Jun;12(2):149-155. doi: 10.1007/s12194-019-00501-1. Epub 2019 Feb 22.
8
Post-Mortem MRI and Histopathology in Neurologic Disease: A Translational Approach.神经病学疾病中的死后 MRI 和组织病理学:转化方法。
Neurosci Bull. 2019 Apr;35(2):229-243. doi: 10.1007/s12264-019-00342-3. Epub 2019 Feb 21.
9
MRI of cortical lesions and its use in studying their role in MS pathogenesis and disease course.MRI 对皮质病变的研究及其在 MS 发病机制和病程中的作用。
Brain Pathol. 2018 Sep;28(5):735-742. doi: 10.1111/bpa.12642.
10
Three-Tesla MRI does not improve the diagnosis of multiple sclerosis: A multicenter study.3.0T MRI 并不改善多发性硬化症的诊断:一项多中心研究。
Neurology. 2018 Jul 17;91(3):e249-e257. doi: 10.1212/WNL.0000000000005825. Epub 2018 Jun 20.
多发性硬化症患者和健康对照者1.5和3特斯拉脑部磁共振成像的信号异常。一项形态学和空间定量比较研究。
Neuroimage. 2009 Oct 1;47(4):1352-62. doi: 10.1016/j.neuroimage.2009.04.019. Epub 2009 Apr 14.
4
Cortical lesions in primary progressive multiple sclerosis: a 2-year longitudinal MR study.原发性进行性多发性硬化症的皮质病变:一项为期2年的纵向磁共振研究。
Neurology. 2009 Apr 14;72(15):1330-6. doi: 10.1212/WNL.0b013e3181a0fee5.
5
High field MRI in the diagnosis of multiple sclerosis: high field-high yield?高场强磁共振成像在多发性硬化症诊断中的应用:高场强——高诊断率?
Neuroradiology. 2009 May;51(5):279-92. doi: 10.1007/s00234-009-0512-0. Epub 2009 Mar 11.
6
First clinical study on ultra-high-field MR imaging in patients with multiple sclerosis: comparison of 1.5T and 7T.多发性硬化症患者超高场磁共振成像的首次临床研究:1.5T与7T的比较
AJNR Am J Neuroradiol. 2009 Apr;30(4):699-702. doi: 10.3174/ajnr.A1434. Epub 2009 Jan 15.
7
Quantitative in vivo magnetic resonance imaging of multiple sclerosis at 7 Tesla with sensitivity to iron.7特斯拉下对铁敏感的多发性硬化症的定量体内磁共振成像
Ann Neurol. 2008 Dec;64(6):707-13. doi: 10.1002/ana.21582.
8
Triple-layer appearance of Brodmann area 4 at thin-section double inversion-recovery MR imaging.薄层双反转恢复磁共振成像中布罗德曼4区的三层表现。
Radiology. 2009 Feb;250(2):515-22. doi: 10.1148/radiol.2502080266. Epub 2008 Dec 19.
9
Double Inversion Recovery MRI with fat suppression at 7 tesla: initial experience.7 特斯拉下的双反转恢复抑脂 MRI:初步经验。
J Neuroimaging. 2010 Jan;20(1):87-92. doi: 10.1111/j.1552-6569.2008.00331.x.
10
Grey matter pathology in multiple sclerosis.多发性硬化症中的灰质病理学
Lancet Neurol. 2008 Sep;7(9):841-51. doi: 10.1016/S1474-4422(08)70191-1.