• 文献检索
  • 文档翻译
  • 深度研究
  • 学术资讯
  • Suppr Zotero 插件Zotero 插件
  • 邀请有礼
  • 套餐&价格
  • 历史记录
应用&插件
Suppr Zotero 插件Zotero 插件浏览器插件Mac 客户端Windows 客户端微信小程序
定价
高级版会员购买积分包购买API积分包
服务
文献检索文档翻译深度研究API 文档MCP 服务
关于我们
关于 Suppr公司介绍联系我们用户协议隐私条款
关注我们

Suppr 超能文献

核心技术专利:CN118964589B侵权必究
粤ICP备2023148730 号-1Suppr @ 2026

文献检索

告别复杂PubMed语法,用中文像聊天一样搜索,搜遍4000万医学文献。AI智能推荐,让科研检索更轻松。

立即免费搜索

文件翻译

保留排版,准确专业,支持PDF/Word/PPT等文件格式,支持 12+语言互译。

免费翻译文档

深度研究

AI帮你快速写综述,25分钟生成高质量综述,智能提取关键信息,辅助科研写作。

立即免费体验

白细胞中 CD40-TRAF6 信号转导缺陷通过将免疫反应偏向抗炎表型来预防动脉粥样硬化。

Deficient CD40-TRAF6 signaling in leukocytes prevents atherosclerosis by skewing the immune response toward an antiinflammatory profile.

机构信息

Department of Pathology, Cardiovascular Research Institute Maastricht, University of Maastricht, Maastricht 6200 MD, Netherlands.

出版信息

J Exp Med. 2010 Feb 15;207(2):391-404. doi: 10.1084/jem.20091293. Epub 2010 Jan 25.

DOI:10.1084/jem.20091293
PMID:20100871
原文链接:https://pmc.ncbi.nlm.nih.gov/articles/PMC2822598/
Abstract

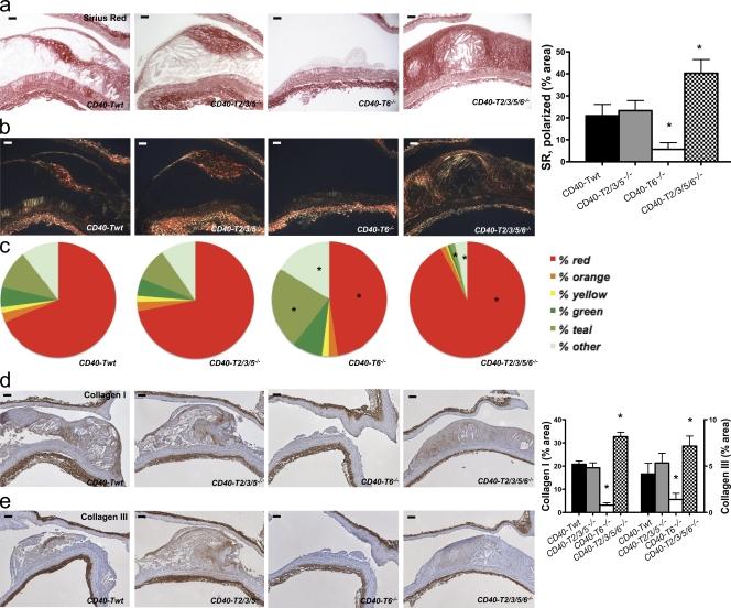
The CD40-CD40 ligand (CD40L) signaling axis plays an important role in immunological pathways. Consequently, this dyad is involved in chronic inflammatory diseases, including atherosclerosis. Inhibition of CD40L in apolipoprotein E (Apoe)-deficient (Apoe(-/-)) mice not only reduced atherosclerosis but also conferred a clinically favorable plaque phenotype that was low in inflammation and high in fibrosis. Blockade of CD40L may not be therapeutically feasible, as long-term inhibition will compromise systemic immune responses. Conceivably, more targeted intervention strategies in CD40 signaling will have less deleterious side effects. We report that deficiency in hematopoietic CD40 reduces atherosclerosis and induces features of plaque stability. To elucidate the role of CD40-tumor necrosis factor receptor-associated factor (TRAF) signaling in atherosclerosis, we examined disease progression in mice deficient in CD40 and its associated signaling intermediates. Absence of CD40-TRAF6 but not CD40-TRAF2/3/5 signaling abolishes atherosclerosis and confers plaque fibrosis in Apoe(-/-) mice. Mice with defective CD40-TRAF6 signaling display a reduced blood count of Ly6C(high) monocytes, an impaired recruitment of Ly6C(+) monocytes to the arterial wall, and polarization of macrophages toward an antiinflammatory regulatory M2 signature. These data unveil a role for CD40-TRAF6, but not CD40-TRAF2/3/5, interactions in atherosclerosis and establish that targeting specific components of the CD40-CD40L pathway harbors the potential to achieve therapeutic effects in atherosclerosis.

摘要

CD40-CD40 配体(CD40L)信号轴在免疫途径中起着重要作用。因此,这一对在包括动脉粥样硬化在内的慢性炎症性疾病中发挥作用。在载脂蛋白 E(Apoe)缺陷(Apoe(-/-))小鼠中抑制 CD40L 不仅减少了动脉粥样硬化,而且赋予了一种临床上有利的斑块表型,其炎症水平低,纤维化水平高。由于长期抑制 CD40L 会损害全身免疫反应,因此抑制 CD40L 可能不是一种可行的治疗方法。可以想象,在 CD40 信号中采用更有针对性的干预策略将产生较少的有害副作用。我们报告称,造血细胞 CD40 的缺乏可减少动脉粥样硬化并诱导斑块稳定的特征。为了阐明 CD40-肿瘤坏死因子受体相关因子(TRAF)信号在动脉粥样硬化中的作用,我们检查了 CD40 及其相关信号中间物缺陷的小鼠中疾病的进展情况。缺乏 CD40-TRAF6 但不缺乏 CD40-TRAF2/3/5 信号会消除动脉粥样硬化并赋予 Apoe(-/-)小鼠斑块纤维化。具有缺陷 CD40-TRAF6 信号的小鼠显示 Ly6C(高)单核细胞的血液计数减少,Ly6C(+)单核细胞向动脉壁的募集受损,以及巨噬细胞向抗炎调节 M2 特征的极化。这些数据揭示了 CD40-TRAF6 而不是 CD40-TRAF2/3/5 相互作用在动脉粥样硬化中的作用,并确立了靶向 CD40-CD40L 途径的特定成分具有在动脉粥样硬化中实现治疗效果的潜力。

https://cdn.ncbi.nlm.nih.gov/pmc/blobs/69a9/2822598/6324dbfd1da4/JEM_20091293_GS_Fig8.jpg
https://cdn.ncbi.nlm.nih.gov/pmc/blobs/69a9/2822598/471ffea70f88/JEM_20091293_RGB_Fig1.jpg
https://cdn.ncbi.nlm.nih.gov/pmc/blobs/69a9/2822598/9bbeebeb3525/JEM_20091293_RGB_Fig2.jpg
https://cdn.ncbi.nlm.nih.gov/pmc/blobs/69a9/2822598/2af7f59698ba/JEM_20091293_RGB_Fig3.jpg
https://cdn.ncbi.nlm.nih.gov/pmc/blobs/69a9/2822598/6acd2e15db37/JEM_20091293_LW_Fig4.jpg
https://cdn.ncbi.nlm.nih.gov/pmc/blobs/69a9/2822598/17f2b38775ac/JEM_20091293_RGB_Fig5.jpg
https://cdn.ncbi.nlm.nih.gov/pmc/blobs/69a9/2822598/2043c6d50efa/JEM_20091293_RGB_Fig6.jpg
https://cdn.ncbi.nlm.nih.gov/pmc/blobs/69a9/2822598/1d9e686d6f47/JEM_20091293_GS_Fig7.jpg
https://cdn.ncbi.nlm.nih.gov/pmc/blobs/69a9/2822598/6324dbfd1da4/JEM_20091293_GS_Fig8.jpg
https://cdn.ncbi.nlm.nih.gov/pmc/blobs/69a9/2822598/471ffea70f88/JEM_20091293_RGB_Fig1.jpg
https://cdn.ncbi.nlm.nih.gov/pmc/blobs/69a9/2822598/9bbeebeb3525/JEM_20091293_RGB_Fig2.jpg
https://cdn.ncbi.nlm.nih.gov/pmc/blobs/69a9/2822598/2af7f59698ba/JEM_20091293_RGB_Fig3.jpg
https://cdn.ncbi.nlm.nih.gov/pmc/blobs/69a9/2822598/6acd2e15db37/JEM_20091293_LW_Fig4.jpg
https://cdn.ncbi.nlm.nih.gov/pmc/blobs/69a9/2822598/17f2b38775ac/JEM_20091293_RGB_Fig5.jpg
https://cdn.ncbi.nlm.nih.gov/pmc/blobs/69a9/2822598/2043c6d50efa/JEM_20091293_RGB_Fig6.jpg
https://cdn.ncbi.nlm.nih.gov/pmc/blobs/69a9/2822598/1d9e686d6f47/JEM_20091293_GS_Fig7.jpg
https://cdn.ncbi.nlm.nih.gov/pmc/blobs/69a9/2822598/6324dbfd1da4/JEM_20091293_GS_Fig8.jpg

相似文献

1
Deficient CD40-TRAF6 signaling in leukocytes prevents atherosclerosis by skewing the immune response toward an antiinflammatory profile.白细胞中 CD40-TRAF6 信号转导缺陷通过将免疫反应偏向抗炎表型来预防动脉粥样硬化。
J Exp Med. 2010 Feb 15;207(2):391-404. doi: 10.1084/jem.20091293. Epub 2010 Jan 25.
2
TRAF-1, -2, -3, -5, and -6 are induced in atherosclerotic plaques and differentially mediate proinflammatory functions of CD40L in endothelial cells.TRAF-1、-2、-3、-5和-6在动脉粥样硬化斑块中被诱导表达,并在内皮细胞中差异介导CD40L的促炎功能。
Arterioscler Thromb Vasc Biol. 2007 May;27(5):1101-7. doi: 10.1161/ATVBAHA.107.140566. Epub 2007 Mar 1.
3
Blockade of CD40-TRAF2,3 or CD40-TRAF6 is sufficient to inhibit pro-inflammatory responses in non-haematopoietic cells.阻断CD40-TRAF2、3或CD40-TRAF6足以抑制非造血细胞中的促炎反应。
Immunology. 2015 Jan;144(1):21-33. doi: 10.1111/imm.12361.
4
TNF receptor-associated factor 6 is an essential mediator of CD40-activated proinflammatory pathways in monocytes and macrophages.肿瘤坏死因子受体相关因子6是单核细胞和巨噬细胞中CD40激活的促炎途径的重要介质。
J Immunol. 2005 Jan 15;174(2):1081-90. doi: 10.4049/jimmunol.174.2.1081.
5
Targeting CD40-Induced TRAF6 Signaling in Macrophages Reduces Atherosclerosis.靶向巨噬细胞中 CD40 诱导的 TRAF6 信号转导可减少动脉粥样硬化。
J Am Coll Cardiol. 2018 Feb 6;71(5):527-542. doi: 10.1016/j.jacc.2017.11.055.
6
A novel mechanism for TNFR-associated factor 6-dependent CD40 signaling.肿瘤坏死因子受体相关因子6依赖性CD40信号传导的一种新机制。
J Immunol. 2007 Oct 1;179(7):4645-53. doi: 10.4049/jimmunol.179.7.4645.
7
CD40-TRAF6 inhibition suppresses cardiovascular inflammation, oxidative stress and functional complications in a mouse model of arterial hypertension.CD40-TRAF6抑制可抑制动脉高血压小鼠模型中的心血管炎症、氧化应激和功能并发症。
Redox Biol. 2025 Mar;80:103520. doi: 10.1016/j.redox.2025.103520. Epub 2025 Jan 29.
8
Role of inflammatory signaling pathways involving the CD40-CD40L-TRAF cascade in diabetes and hypertension-insights from animal and human studies.涉及 CD40-CD40L-TRAF 级联的炎症信号通路在糖尿病和高血压中的作用:来自动物和人类研究的见解。
Basic Res Cardiol. 2024 Aug;119(4):1-18. doi: 10.1007/s00395-024-01045-1. Epub 2024 Mar 30.
9
Inhibition of CD40-TRAF6 interactions by the small molecule inhibitor 6877002 reduces neuroinflammation.小分子抑制剂6877002对CD40-TRAF6相互作用的抑制作用可减轻神经炎症。
J Neuroinflammation. 2017 May 12;14(1):105. doi: 10.1186/s12974-017-0875-9.
10
Efficacy and safety assessment of a TRAF6-targeted nanoimmunotherapy in atherosclerotic mice and non-human primates.靶向TRAF6的纳米免疫疗法在动脉粥样硬化小鼠和非人灵长类动物中的疗效和安全性评估。
Nat Biomed Eng. 2018 May;2(5):279-292. doi: 10.1038/s41551-018-0221-2. Epub 2018 Apr 16.

引用本文的文献

1
Integrative bioinformatics frameworks for abdominal aortic aneurysm using GWAS meta-analysis, biological network construction, and structural modeling.使用全基因组关联研究荟萃分析、生物网络构建和结构建模的腹主动脉瘤综合生物信息学框架。
Sci Rep. 2025 Jul 1;15(1):22331. doi: 10.1038/s41598-025-07989-1.
2
Structural bioinformatics for rational drug design.用于合理药物设计的结构生物信息学。
Res Pract Thromb Haemost. 2025 Jan 23;9(1):102691. doi: 10.1016/j.rpth.2025.102691. eCollection 2025 Jan.
3
CD40-TRAF6 inhibition suppresses cardiovascular inflammation, oxidative stress and functional complications in a mouse model of arterial hypertension.

本文引用的文献

1
Macrophage diversity and polarization in atherosclerosis: a question of balance.动脉粥样硬化中的巨噬细胞多样性与极化:一个平衡问题。
Arterioscler Thromb Vasc Biol. 2009 Oct;29(10):1419-23. doi: 10.1161/ATVBAHA.108.180497. Epub 2009 Aug 20.
2
The multi-functionality of CD40L and its receptor CD40 in atherosclerosis.CD40L及其受体CD40在动脉粥样硬化中的多功能性。
Thromb Haemost. 2009 Aug;102(2):206-14. doi: 10.1160/TH09-01-0029.
3
The immunobiology of CD154-CD40-TRAF interactions in atherosclerosis.动脉粥样硬化中CD154-CD40-TRAF相互作用的免疫生物学
CD40-TRAF6抑制可抑制动脉高血压小鼠模型中的心血管炎症、氧化应激和功能并发症。
Redox Biol. 2025 Mar;80:103520. doi: 10.1016/j.redox.2025.103520. Epub 2025 Jan 29.
4
T cells in cardiac health and disease.心脏健康与疾病中的T细胞。
J Clin Invest. 2025 Jan 16;135(2):e185218. doi: 10.1172/JCI185218.
5
Macrophage-based pathogenesis and theranostics of vulnerable plaques.基于巨噬细胞的易损斑块发病机制与诊疗学
Theranostics. 2025 Jan 2;15(4):1570-1588. doi: 10.7150/thno.105256. eCollection 2025.
6
Impact of statin therapy on CD40:CD40L signaling: mechanistic insights and therapeutic opportunities.他汀类药物治疗对CD40:CD40L信号传导的影响:机制见解与治疗机会
Pharmacol Rep. 2025 Feb;77(1):43-71. doi: 10.1007/s43440-024-00678-2. Epub 2024 Dec 16.
7
Non-rodent Models of Atherosclerosis: Repurposing of Existing Drugs and Search for Novel Treatment Strategies.动脉粥样硬化的非啮齿动物模型:现有药物的重新利用及新型治疗策略的探索
Curr Cardiol Rev. 2025;21(1):e1573403X316529. doi: 10.2174/011573403X316529240919103119.
8
Costimulatory and Coinhibitory Immune Checkpoints in Atherosclerosis: Therapeutic Targets in Atherosclerosis?动脉粥样硬化中的共刺激和共抑制免疫检查点:动脉粥样硬化的治疗靶点?
JACC Basic Transl Sci. 2024 Mar 13;9(6):827-843. doi: 10.1016/j.jacbts.2023.12.007. eCollection 2024 Jun.
9
Peritoneal Dialysis Aggravates and Accelerates Atherosclerosis in Uremic Mice.腹膜透析加重和加速尿毒症小鼠的动脉粥样硬化。
J Am Heart Assoc. 2024 Jul 16;13(14):e034066. doi: 10.1161/JAHA.123.034066. Epub 2024 Jul 9.
10
Targeting macrophages with multifunctional nanoparticles to detect and prevent atherosclerotic cardiovascular disease.利用多功能纳米颗粒靶向巨噬细胞检测和预防动脉粥样硬化性心血管疾病。
Cardiovasc Res. 2024 Jul 2;120(8):819-838. doi: 10.1093/cvr/cvae099.
Semin Immunol. 2009 Oct;21(5):308-12. doi: 10.1016/j.smim.2009.06.004. Epub 2009 Jul 17.
4
Heterogeneous in vivo behavior of monocyte subsets in atherosclerosis.动脉粥样硬化中单核细胞亚群的体内异质性行为。
Arterioscler Thromb Vasc Biol. 2009 Oct;29(10):1424-32. doi: 10.1161/ATVBAHA.108.180521. Epub 2009 Apr 16.
5
Blood monocytes: development, heterogeneity, and relationship with dendritic cells.血液单核细胞:发育、异质性及其与树突状细胞的关系
Annu Rev Immunol. 2009;27:669-92. doi: 10.1146/annurev.immunol.021908.132557.
6
Disrupting functional interactions between platelet chemokines inhibits atherosclerosis in hyperlipidemic mice.破坏血小板趋化因子之间的功能相互作用可抑制高脂血症小鼠的动脉粥样硬化。
Nat Med. 2009 Jan;15(1):97-103. doi: 10.1038/nm.1898. Epub 2009 Jan 4.
7
Alternative activation of macrophages: an immunologic functional perspective.巨噬细胞的替代性激活:免疫学功能视角
Annu Rev Immunol. 2009;27:451-83. doi: 10.1146/annurev.immunol.021908.132532.
8
Exploring the full spectrum of macrophage activation.探索巨噬细胞激活的全谱。
Nat Rev Immunol. 2008 Dec;8(12):958-69. doi: 10.1038/nri2448.
9
Nonredundant and complementary functions of TRAF2 and TRAF3 in a ubiquitination cascade that activates NIK-dependent alternative NF-kappaB signaling.TRAF2和TRAF3在激活NIK依赖的替代性NF-κB信号传导的泛素化级联反应中的非冗余和互补功能。
Nat Immunol. 2008 Dec;9(12):1364-70. doi: 10.1038/ni.1678. Epub 2008 Nov 9.
10
The multifaceted contributions of leukocyte subsets to atherosclerosis: lessons from mouse models.白细胞亚群对动脉粥样硬化的多方面贡献:来自小鼠模型的经验教训。
Nat Rev Immunol. 2008 Oct;8(10):802-15. doi: 10.1038/nri2415.