Suppr超能文献

两例收容所猫由马链球菌兽疫亚种引起的鼻炎和脑膜炎

Rhinitis and meningitis in two shelter cats caused by Streptococcus equi subspecies zooepidemicus.

作者信息

Britton A P, Davies J L

机构信息

Animal Health Centre, British Columbia Ministry of Agriculture and Lands, 1767 Angus Campbell Road, Abbotsford, British Columbia V3G 2M3, Canada.

出版信息

J Comp Pathol. 2010 Jul;143(1):70-4. doi: 10.1016/j.jcpa.2009.12.007. Epub 2010 Jan 27.

Abstract

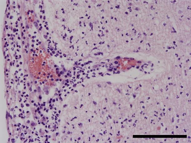
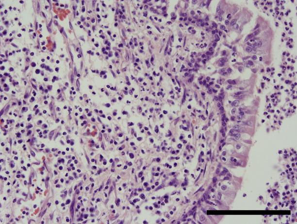
In the past 6 years there have been increasing reports describing outbreaks of a severe fatal respiratory disease associated with Streptococcus equi subspecies zooepidemicus (SEZ) in dogs maintained in shelters, research facilities and kennels. Although SEZ appears to be an emerging pathogen of dogs kept in intensively housed environments, this bacterium has not been reported as a cause of death in intensively housed cats. This report describes fatal SEZ infection in two adult cats housed in separate animal shelter facilities. Both cats had acute onset of illness, which progressed to death in less than 24h. Post-mortem examination revealed rhinitis and meningitis and SEZ was demonstrated in the nasal cavity and brain. Polymerase chain reaction and sequence analysis of a 500 base pair region of the 16S rRNA gene confirmed the identity of the bacterium.

摘要

在过去6年里,越来越多的报告描述了在收容所、研究机构和犬舍饲养的犬只中,出现了与马链球菌兽疫亚种(SEZ)相关的严重致命呼吸道疾病疫情。虽然SEZ似乎是密集饲养环境中犬只的一种新兴病原体,但该细菌尚未被报道为密集饲养猫死亡的原因。本报告描述了在两个独立动物收容所设施中饲养的两只成年猫发生的致命SEZ感染。两只猫均急性发病,在不到24小时内病情进展至死亡。尸检显示鼻炎和脑膜炎,在鼻腔和大脑中发现了SEZ。对16S rRNA基因500个碱基对区域进行聚合酶链反应和序列分析,证实了该细菌的身份。

https://cdn.ncbi.nlm.nih.gov/pmc/blobs/55be/7094740/b99258e7a46e/gr1_lrg.jpg

文献AI研究员

20分钟写一篇综述,助力文献阅读效率提升50倍。

立即体验

用中文搜PubMed

大模型驱动的PubMed中文搜索引擎

马上搜索

文档翻译

学术文献翻译模型,支持多种主流文档格式。

立即体验