Suppr超能文献

牙科汞合金的时代即将结束?一项批判性综述。

Is it the end of the road for dental amalgam? A critical review.

作者信息

Shenoy Arvind

机构信息

Department of Conservative Dentistry, Bapuji Dental College, Davangere, Karnataka, India.

出版信息

J Conserv Dent. 2008 Jul;11(3):99-107. doi: 10.4103/0972-0707.45247.

Abstract

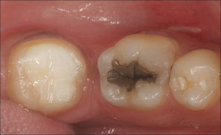
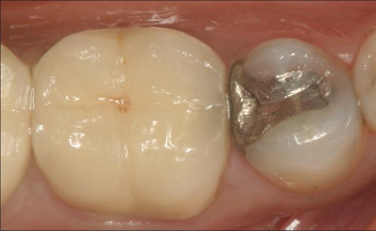
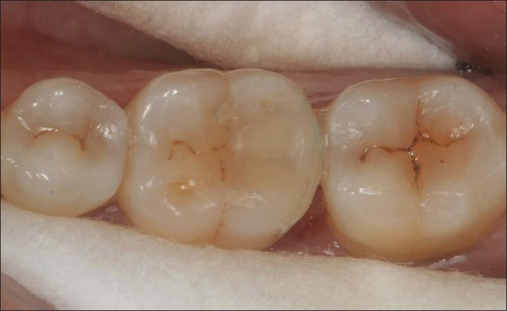
The longevity of dental restorations is dependent on many factors, including those related to materials, the dentist, and the patient. Dental amalgams have successfully served the profession for over a century. The main reasons for restoration failure are secondary caries, fracture of the bulk of the restoration or of the tooth, and marginal deficiencies and wear. The importance of direct-placement, aesthetic, tooth-colored restorative materials is still increasing. Amalgam restorations are being replaced because of alleged adverse health effects and inferior aesthetic appearance. All alternative restorative materials and procedures, however, have certain limitations. This article will attempt to critically analyse both amalgams and resin based composites, through an evaluation of scientific literature.

摘要

牙科修复体的使用寿命取决于许多因素,包括与材料、牙医和患者相关的因素。牙科汞合金已经成功地为该行业服务了一个多世纪。修复失败的主要原因是继发龋、修复体主体或牙齿的折断,以及边缘缺陷和磨损。直接放置的、美观的、牙齿颜色的修复材料的重要性仍在不断增加。由于所谓的健康不良影响和较差的美观外观,汞合金修复体正在被取代。然而,所有替代修复材料和程序都有一定的局限性。本文将试图通过对科学文献的评估,对汞合金和树脂基复合材料进行批判性分析。

https://cdn.ncbi.nlm.nih.gov/pmc/blobs/61f6/2813106/a0591145092f/JCD-11-99-g001.jpg

文献检索

告别复杂PubMed语法,用中文像聊天一样搜索,搜遍4000万医学文献。AI智能推荐,让科研检索更轻松。

立即免费搜索

文件翻译

保留排版,准确专业,支持PDF/Word/PPT等文件格式,支持 12+语言互译。

免费翻译文档

深度研究

AI帮你快速写综述,25分钟生成高质量综述,智能提取关键信息,辅助科研写作。

立即免费体验