Suppr超能文献

残端复发性急性阑尾炎病例报告

Case report of recurrent acute appendicitis in a residual tip.

作者信息

O'Leary Donal P, Myers Eddie, Coyle Joe, Wilson Ian

机构信息

Department of Surgery, Saint Luke's Hospital, Kilkenny, Ireland.

出版信息

Cases J. 2010 Jan 9;3:14. doi: 10.1186/1757-1626-3-14.

Abstract

INTRODUCTION

Residual appendicitis involving the stump of the appendix has been well described in the literature in the past.

CASE REPORT

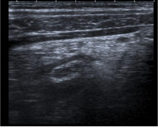
We report the case of a 43 year old male with acute onset of abdominal pain who had undergone an appendicectomy ten years previously. Ultrasound revealed the presence of an inflamed tubular structure. Subsequent laparotomy and histology confirmed that this structure was an inflamed residual appendiceal tip.

CONCLUSION

Residual tip appendicitis has not been reported in the literature previously and should be considered in the differential diagnosis of localised peritonitis in a patient with a history of a previous open appendicectomy.

摘要

引言

既往文献中已对涉及阑尾残端的残余阑尾炎进行了详尽描述。

病例报告

我们报告一例43岁男性病例,该患者急性腹痛起病,10年前曾接受阑尾切除术。超声检查显示存在一个发炎的管状结构。随后的剖腹手术及组织学检查证实该结构为发炎的残余阑尾尖端。

结论

残余阑尾尖端炎此前未见文献报道,对于有开放性阑尾切除病史的局限性腹膜炎患者进行鉴别诊断时应考虑此病。

https://cdn.ncbi.nlm.nih.gov/pmc/blobs/8063/2821303/3df9f077dd85/1757-1626-3-14-1.jpg

文献检索

告别复杂PubMed语法,用中文像聊天一样搜索,搜遍4000万医学文献。AI智能推荐,让科研检索更轻松。

立即免费搜索

文件翻译

保留排版,准确专业,支持PDF/Word/PPT等文件格式,支持 12+语言互译。

免费翻译文档

深度研究

AI帮你快速写综述,25分钟生成高质量综述,智能提取关键信息,辅助科研写作。

立即免费体验