Suppr超能文献

Cervical neurofibromatosis with quadriparesis: Management by fibular strut graft.

作者信息

Laohacharoensombat Wichien, Wajanavisit Wiwat, Woratanarat Patarawan

机构信息

Department of Orthopaedics, Ramathibodi Hospital, Mahidol University, Bangkok 10400, Thailand.

出版信息

Indian J Orthop. 2010 Jan;44(1):95-7. doi: 10.4103/0019-5413.54968.

Abstract

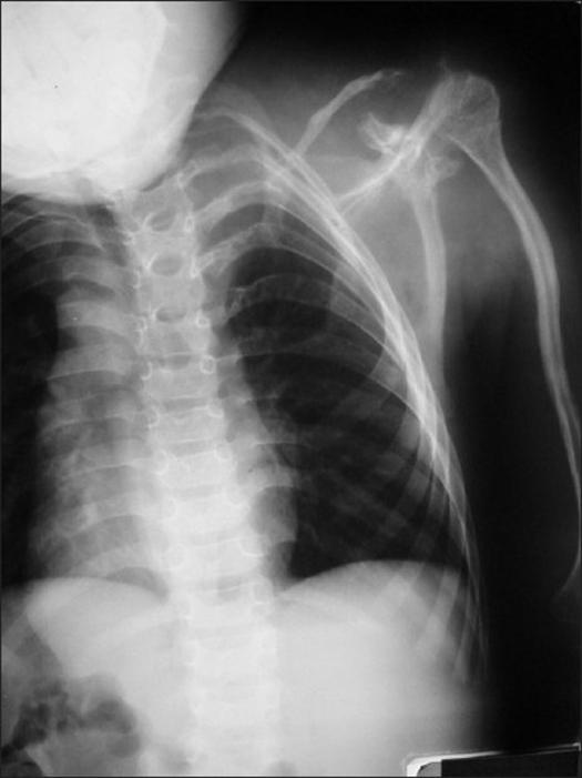
This is a case report of an eight-year old boy with neurofibromatosis and a 120 degrees dystrophic kyphosis of the cervical spine. He presented with progressive quadriparesis caused by spondyloptosis of the C2/C3, and was successfully treated by skull traction and one-stage anterior fibular strut graft lying between the tubercle of the atlas through the C2 body slot and lower vertebrae. At seven years follow-up there was, loosening of lower vertebral screws which allowed growth and residual mobility of lower vertebral joints while the fusion of upper cervical spines was still solid.

摘要
https://cdn.ncbi.nlm.nih.gov/pmc/blobs/628c/2822428/386cf2fc9ea1/IJOrtho-44-95-g001.jpg

文献AI研究员

20分钟写一篇综述,助力文献阅读效率提升50倍。

立即体验

用中文搜PubMed

大模型驱动的PubMed中文搜索引擎

马上搜索

文档翻译

学术文献翻译模型,支持多种主流文档格式。

立即体验