• 文献检索
  • 文档翻译
  • 深度研究
  • 学术资讯
  • Suppr Zotero 插件Zotero 插件
  • 邀请有礼
  • 套餐&价格
  • 历史记录
应用&插件
Suppr Zotero 插件Zotero 插件浏览器插件Mac 客户端Windows 客户端微信小程序
定价
高级版会员购买积分包购买API积分包
服务
文献检索文档翻译深度研究API 文档MCP 服务
关于我们
关于 Suppr公司介绍联系我们用户协议隐私条款
关注我们

Suppr 超能文献

核心技术专利:CN118964589B侵权必究
粤ICP备2023148730 号-1Suppr @ 2026

文献检索

告别复杂PubMed语法,用中文像聊天一样搜索,搜遍4000万医学文献。AI智能推荐,让科研检索更轻松。

立即免费搜索

文件翻译

保留排版,准确专业,支持PDF/Word/PPT等文件格式,支持 12+语言互译。

免费翻译文档

深度研究

AI帮你快速写综述,25分钟生成高质量综述,智能提取关键信息,辅助科研写作。

立即免费体验

下腔静脉平滑肌肉瘤:一例病例报告并文献复习

Leiomyosarcoma of the inferior vena cava: a case report and review of the literature.

作者信息

Reddy Venkataprasanth P, Vanveldhuizen Peter J, Muehlebach Gregory F, Dusing Reginald W, Birkbeck James P, Williamson Stephen K, Krishnan Leela, Meyers David G

机构信息

Department of Cardiology, The University of Kansas Medical Center, 3901 Rainbow Blvd, Kansas City, KS, 66160, USA.

出版信息

Cases J. 2010 Feb 23;3:71. doi: 10.1186/1757-1626-3-71.

DOI:10.1186/1757-1626-3-71
PMID:20178598
原文链接:https://pmc.ncbi.nlm.nih.gov/articles/PMC2838855/
Abstract

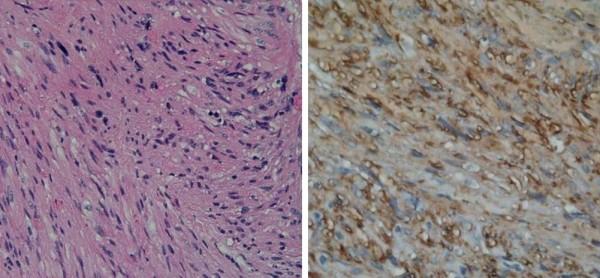
A 68-year-old white female presented with two years of progressively worsening dyspnea. Echocardiography revealed a large right atrial mass and partial obstruction of the inferior vena cava. Further imaging revealed a cystic dense mass in the inferior vena cava and right atrium. Immunohistochemical stains were consistent with leiomyosarcoma. Intraoperatively, the tumor was noted to originate from the posterior aspect of the inferior vena cava. The patient underwent successful resection of the mass. Adjuvant radiation therapy was completed. The patient's dyspnea gradually improved and she continues to remain disease free five years post-resection.

摘要

一名68岁的白人女性因进行性加重的呼吸困难两年前来就诊。超声心动图显示右心房有一个大肿块,下腔静脉部分梗阻。进一步的影像学检查显示下腔静脉和右心房有一个囊性致密肿块。免疫组化染色结果符合平滑肌肉瘤。术中发现肿瘤起源于下腔静脉后壁。患者成功切除了肿块。完成了辅助放疗。患者的呼吸困难逐渐改善,术后五年仍无疾病复发。

https://cdn.ncbi.nlm.nih.gov/pmc/blobs/1bd8/2838855/a9573be4be0e/1757-1626-3-71-3.jpg
https://cdn.ncbi.nlm.nih.gov/pmc/blobs/1bd8/2838855/9f6b2eb01851/1757-1626-3-71-1.jpg
https://cdn.ncbi.nlm.nih.gov/pmc/blobs/1bd8/2838855/be1ff5d2d9c1/1757-1626-3-71-2.jpg
https://cdn.ncbi.nlm.nih.gov/pmc/blobs/1bd8/2838855/a9573be4be0e/1757-1626-3-71-3.jpg
https://cdn.ncbi.nlm.nih.gov/pmc/blobs/1bd8/2838855/9f6b2eb01851/1757-1626-3-71-1.jpg
https://cdn.ncbi.nlm.nih.gov/pmc/blobs/1bd8/2838855/be1ff5d2d9c1/1757-1626-3-71-2.jpg
https://cdn.ncbi.nlm.nih.gov/pmc/blobs/1bd8/2838855/a9573be4be0e/1757-1626-3-71-3.jpg

相似文献

1
Leiomyosarcoma of the inferior vena cava: a case report and review of the literature.下腔静脉平滑肌肉瘤:一例病例报告并文献复习
Cases J. 2010 Feb 23;3:71. doi: 10.1186/1757-1626-3-71.
2
Primary Leiomyosarcoma in the Inferior Vena Cava Extended to the Right Atrium: A Case Report and Review of the Literature.下腔静脉原发性平滑肌肉瘤侵犯至右心房:一例报告并文献复习
Case Rep Oncol. 2016 Oct 12;9(3):599-609. doi: 10.1159/000450598. eCollection 2016 Sep-Dec.
3
Leiomyosarcoma of the inferior vena cava.下腔静脉平滑肌肉瘤
Asian Cardiovasc Thorac Ann. 2016 Jan;24(1):72-4. doi: 10.1177/0218492314543930. Epub 2014 Jul 17.
4
An unusual case of leiomyosarcoma of the inferior vena cava in a patient with a duplicated inferior vena cava.一名下腔静脉重复畸形患者发生下腔静脉平滑肌肉瘤的罕见病例。
Ann Vasc Surg. 2009 Mar;23(2):256.e13-8. doi: 10.1016/j.avsg.2008.08.014. Epub 2008 Sep 21.
5
[Resection of Recurrent Leiomyosarcoma of the Inferior Vena Cava with Extention into the Right Atrium and Z stent implantation;Report of a Case].[下腔静脉复发性平滑肌肉瘤侵犯右心房并植入Z型支架切除术;病例报告]
Kyobu Geka. 2015 Dec;68(13):1093-5.
6
Leiomyosarcoma of the inferior vena cava presenting as a cardiac mass.表现为心脏肿物的下腔静脉平滑肌肉瘤
J Clin Ultrasound. 2018 Jul;46(6):430-433. doi: 10.1002/jcu.22558. Epub 2017 Nov 13.
7
[A case of primary leiomyosarcoma of the inferior vena cava treated by surgical resection and reconstruction with synthetic graft replacement].[1例下腔静脉原发性平滑肌肉瘤行手术切除并用人工血管置换重建治疗]
Korean J Gastroenterol. 2003 Sep;42(3):249-54.
8
Leiomyosarcoma of the inferior vena cava: analysis and search of world literature on 141 patients and report of three new cases.下腔静脉平滑肌肉瘤:对141例患者的分析及世界文献检索并报告3例新病例
J Vasc Surg. 1991 Nov;14(5):688-99. doi: 10.1067/mva.1991.30426.
9
[Leiomyosarcoma of the inferior vena cava. Case report and literature review].[下腔静脉平滑肌肉瘤。病例报告及文献复习]
Cir Cir. 2017 Jul-Aug;85(4):361-365. doi: 10.1016/j.circir.2016.05.002. Epub 2016 Jun 16.
10
Leiomyosarcoma of the inferior vena cava: report of a case.下腔静脉平滑肌肉瘤:一例报告
Surg Today. 2004;34(4):370-3. doi: 10.1007/s00595-003-2706-0.

引用本文的文献

1
Inferior vena cava leiomyosarcoma in a young woman with autosomal dominant polycystic kidney disease.一名患有常染色体显性多囊肾病的年轻女性的下腔静脉平滑肌肉瘤。
Indian J Thorac Cardiovasc Surg. 2025 Apr;41(4):452-455. doi: 10.1007/s12055-024-01820-8. Epub 2024 Sep 6.
2
Incidentally Diagnosed Extraluminal Leiomyosarcoma of Infrarenal Inferior Vena Cava: A Case Report and Literature Review from a Radiologist's Perspective.偶然诊断的肾下腔静脉腔外平滑肌肉瘤:从放射科医生角度的病例报告及文献综述
Acta Med Litu. 2022;29(2):258-270. doi: 10.15388/Amed.2022.29.2.12. Epub 2022 Jun 29.
3
PET/MR: primary inferior vena cava leiomyosarcoma.

本文引用的文献

1
Leiomyosarcoma of the inferior vena cava: experience in 22 cases.下腔静脉平滑肌肉瘤:22例经验
Ann Surg. 2006 Aug;244(2):289-95. doi: 10.1097/01.sla.0000229964.71743.db.
2
Dumbbell-shaped leiomyosarcoma of the inferior vena cava with foci of rhabdoid changes and osteoclast-type giant cells.下腔静脉哑铃形平滑肌肉瘤,伴有横纹肌样改变灶及破骨细胞型巨细胞。
Pathol Int. 2004 Apr;54(4):256-60. doi: 10.1111/j.1440-1827.2004.01616.x.
3
Right atrial extension of primary venous leiomyosarcoma: pulmonary embolism and Budd-Chiari syndrome at presentation-a case report.
正电子发射断层扫描/磁共振成像:原发性下腔静脉平滑肌肉瘤
Eur J Hybrid Imaging. 2022 Nov 1;6(1):24. doi: 10.1186/s41824-022-00144-3.
4
Dyspnea due to an uncommon vascular tumor: leiomyosarcoma of the infrahepatic vena cava inferior.罕见血管肿瘤导致的呼吸困难:肝下下腔静脉平滑肌肉瘤
Surg Case Rep. 2020 Jun 16;6(1):136. doi: 10.1186/s40792-020-00896-9.
5
Leiomyosarcoma of the Inferior Venacava: A Case Report.下腔静脉平滑肌肉瘤:一例报告
JNMA J Nepal Med Assoc. 2019 May-Jun;57(217):202-205. doi: 10.31729/jnma.4455.
6
A Leiomyosarcoma of Inferior Vena Cava Presenting as a Liver Metastasis Mass in a Patient with History of Transitional Cell Carcinoma.一名有移行细胞癌病史的患者,下腔静脉平滑肌肉瘤表现为肝脏转移瘤。
Indian J Surg Oncol. 2019 Jun;10(2):382-384. doi: 10.1007/s13193-019-00886-w. Epub 2019 Feb 5.
7
A Rare Case of Vascular Leiomyosarcoma Originating from a Branch Vessel of the External Iliac Vein.一例罕见的起源于髂外静脉分支血管的血管平滑肌肉瘤
Case Rep Med. 2018 Jul 15;2018:5160591. doi: 10.1155/2018/5160591. eCollection 2018.
8
Leiomyosarcoma of the Inferior Vena Cava - Radical Resection, Vascular Reconstruction and Challenges: A Case Report and Review of Relevant Literature.下腔静脉平滑肌肉瘤——根治性切除、血管重建及挑战:1例病例报告并文献复习
World J Oncol. 2013 Apr;4(2):107-113. doi: 10.4021/wjon471w. Epub 2013 May 6.
9
Primary Leiomyosarcoma in the Inferior Vena Cava Extended to the Right Atrium: A Case Report and Review of the Literature.下腔静脉原发性平滑肌肉瘤侵犯至右心房:一例报告并文献复习
Case Rep Oncol. 2016 Oct 12;9(3):599-609. doi: 10.1159/000450598. eCollection 2016 Sep-Dec.
10
Rare case of primary inferior vena cava leiomyosarcoma on F-18 fluorodeoxyglucose positron emission tomography-computed tomography scan: Differentiation from nontumor thrombus in a background of procoagulant state.F-18氟脱氧葡萄糖正电子发射断层扫描-计算机断层扫描发现的原发性下腔静脉平滑肌肉瘤罕见病例:在促凝状态背景下与非肿瘤性血栓的鉴别
Indian J Nucl Med. 2014 Oct;29(4):246-8. doi: 10.4103/0972-3919.142629.
原发性静脉平滑肌肉瘤的右心房扩展:呈现肺栓塞和布加综合征——病例报告
Angiology. 2004 Mar-Apr;55(2):213-6. doi: 10.1177/000331970405500215.
4
Surgical treatment and outcomes of patients with primary inferior vena cava leiomyosarcoma.原发性下腔静脉平滑肌肉瘤患者的外科治疗及预后
J Am Coll Surg. 2003 Oct;197(4):575-9. doi: 10.1016/S1072-7515(03)00433-2.
5
Primary leiomyosarcoma of inferior vena cava, a rare entity: Imaging features.下腔静脉原发性平滑肌肉瘤,一种罕见疾病:影像学特征
Australas Radiol. 2001 Nov;45(4):448-51. doi: 10.1046/j.1440-1673.2001.00955.x.
6
Leiomyosarcoma of the inferior vena cava: prognosis and comparison with leiomyosarcoma of other anatomic sites.下腔静脉平滑肌肉瘤:预后及与其他解剖部位平滑肌肉瘤的比较。
Cancer. 1999 Mar 1;85(5):1077-83.
7
[Leiomyosarcoma of the heart and great vessels].[心脏和大血管平滑肌肉瘤]
Ann Cardiol Angeiol (Paris). 1998 Jul-Sep;47(7):451-8.
8
Prosthetic replacement of the inferior vena cava for malignancy.恶性肿瘤下腔静脉的人工置换
J Vasc Surg. 1998 Jul;28(1):75-81; discussion 82-3. doi: 10.1016/s0741-5214(98)70202-2.
9
International registry of inferior vena cava leiomyosarcoma: analysis of a world series on 218 patients.国际下腔静脉平滑肌肉瘤登记处:对218例患者的全球系列分析。
Anticancer Res. 1996 Sep-Oct;16(5B):3201-5.
10
Primary leiomyosarcoma of the inferior vena cava: a case report and review of the literature.下腔静脉原发性平滑肌肉瘤:一例报告并文献复习
J Surg Oncol. 1987 Jan;34(1):53-60. doi: 10.1002/jso.2930340114.