Suppr超能文献

肺良性肌上皮瘤——病例报告及文献复习

Benign myoepithelioma of the lung - a case report and review of the literature.

作者信息

Kourda Jihene, Ismail Olfa, Smati Bel Hssan, Ayadi Aida, Kilani Tarek, El Mezni Faouzi

机构信息

Department of Pathology, Abderrahman Mami Hospital, Ariana, Tunisia.

出版信息

Cases J. 2010 Jan 13;3(1):25. doi: 10.1186/1757-1626-3-25.

Abstract

INTRODUCTION

Benign myoepithelioma is extremely rare in the lung, to the best of our knowledge; only five cases have been reported in the literature.

CASE REPORT

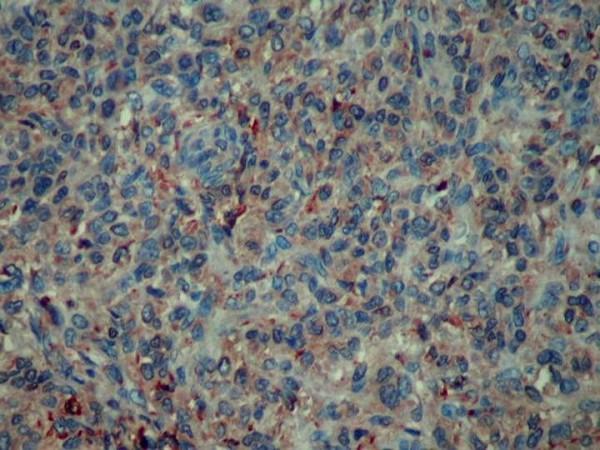
An 18-years woman complained from tiredness and fever during four months. Laboratory findings and fibroscopies were normal. CT of the thorax demonstrated a nodule in the left segment of the Fowler. Left inferior lobectomy was performed comporting a firm nodule of 25 mm, lifting the bronchial mucous membrane. Histologically, there was a proliferation of small cells of a plasmocytoid-type, with a predominantly whorled pattern. No mitotic activity or necrosis was seen in the tumor. Immuhistochemically, the tumor cells positive for smooth muscle actin, vimentine, and S100 protein. They were negatives for cytokeratine, chromogranine and HMB45. The diagnosis of benign myoepithelioma of the lung is so confirmed. The patient recovered well at 6 months follow-up.

CONCLUSION

Benign myoepithelioma is a rare pulmonary neoplasm distinct from pleomorphic adenoma, which should be considered in the differential diagnosis of lung nodules.

摘要

引言

据我们所知,良性肌上皮瘤在肺部极为罕见;文献中仅报道过5例。

病例报告

一名18岁女性在四个月内出现疲劳和发热症状。实验室检查结果和纤维镜检查均正常。胸部CT显示福勒左段有一个结节。进行了左下叶切除术,术中发现一个25毫米的实性结节,该结节隆起支气管黏膜。组织学检查显示,有浆细胞样小细胞增生,主要呈漩涡状排列。肿瘤中未见有丝分裂活动或坏死。免疫组化检查显示,肿瘤细胞平滑肌肌动蛋白、波形蛋白和S100蛋白呈阳性。细胞角蛋白、嗜铬粒蛋白和HMB45呈阴性。由此确诊为肺部良性肌上皮瘤。患者在6个月的随访中恢复良好。

结论

良性肌上皮瘤是一种罕见的肺肿瘤,与多形性腺瘤不同,在肺结节的鉴别诊断中应予以考虑。

https://cdn.ncbi.nlm.nih.gov/pmc/blobs/1f47/2828429/d3fae2be5422/1757-1626-3-25-1.jpg

文献检索

告别复杂PubMed语法,用中文像聊天一样搜索,搜遍4000万医学文献。AI智能推荐,让科研检索更轻松。

立即免费搜索

文件翻译

保留排版,准确专业,支持PDF/Word/PPT等文件格式,支持 12+语言互译。

免费翻译文档

深度研究

AI帮你快速写综述,25分钟生成高质量综述,智能提取关键信息,辅助科研写作。

立即免费体验