Suppr超能文献

皮肤默克尔细胞癌回盲部复发:一例报告

Ileocaecal recurrence of Merkel cell carcinoma of the skin: a case report.

作者信息

Cheung Michelle, Lee Henry, Purkayastha Sanjay, Goldin Robert, Ziprin Paul

机构信息

Academic Surgical Unit, St Mary's Hospital, Imperial College Healthcare, Praed Street, London W2 1NY, UK.

出版信息

J Med Case Rep. 2010 Feb 8;4:43. doi: 10.1186/1752-1947-4-43.

Abstract

INTRODUCTION

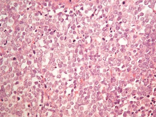
Merkel cell carcinoma is an uncommon skin malignancy that has a high propensity for metastatic spread. A systematic literature search identified 17 cases describing metastasis to the gastrointestinal tract, with 7 cases involving the small or large bowel. To the best of our knowledge, this is the only case described of Merkel cell carcinoma metastasising to the ileocaecal valve.

CASE PRESENTATION

We present a 74-year-old Filipino woman diagnosed with Merkel cell carcinoma of the skin with regional node involvement. Following excision and radiotherapy, the tumour recurred with metastasis to the ileocaecal valve. The patient died 28 months after the initial diagnosis.

CONCLUSION

The prognosis of metastatic Merkel cell carcinoma is poor. Currently the optimal management for metastatic disease is unclear and lacks a firm evidence base due to the small number of cases reported.

摘要

引言

默克尔细胞癌是一种罕见的皮肤恶性肿瘤,具有较高的转移扩散倾向。一项系统的文献检索发现了17例描述胃肠道转移的病例,其中7例累及小肠或大肠。据我们所知,这是唯一一例描述默克尔细胞癌转移至回盲瓣的病例。

病例介绍

我们报告一名74岁的菲律宾女性,被诊断为皮肤默克尔细胞癌并伴有区域淋巴结受累。在切除和放疗后,肿瘤复发并转移至回盲瓣。患者在初次诊断后28个月死亡。

结论

转移性默克尔细胞癌的预后较差。目前,由于报告的病例数量较少,转移性疾病的最佳治疗方案尚不清楚,也缺乏确凿的证据基础。

https://cdn.ncbi.nlm.nih.gov/pmc/blobs/2a87/2838912/f53998b027c8/1752-1947-4-43-1.jpg

文献检索

告别复杂PubMed语法,用中文像聊天一样搜索,搜遍4000万医学文献。AI智能推荐,让科研检索更轻松。

立即免费搜索

文件翻译

保留排版,准确专业,支持PDF/Word/PPT等文件格式,支持 12+语言互译。

免费翻译文档

深度研究

AI帮你快速写综述,25分钟生成高质量综述,智能提取关键信息,辅助科研写作。

立即免费体验