Suppr超能文献

Coronin-1C 是一种通过蛋白质组学分析和临床验证鉴定的新型肝癌侵袭进展的生物标志物。

Coronin-1C is a novel biomarker for hepatocellular carcinoma invasive progression identified by proteomics analysis and clinical validation.

机构信息

Department of Oncology, Zhongnan Hospital of Wuhan University and Hubei Key Laboratory of Tumor Biological Behaviors, Wuchang District, 430071 Wuhan, PR China.

出版信息

J Exp Clin Cancer Res. 2010 Feb 24;29(1):17. doi: 10.1186/1756-9966-29-17.

Abstract

BACKGROUND

To better search for potential markers for hepatocellular carcinoma (HCC) invasion and metastasis, proteomic approach was applied to identify potential metastasis biomarkers associated with HCC.

METHODS

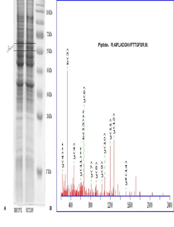
Membrane proteins were extracted from MHCC97L and HCCLM9 cells, with a similar genetic background and remarkably different metastasis potential, and compared by SDS-PAGE and identified by ESI-MS/MS. The results were further validated by western blot analysis, immunohistochemistry (IHC) of tumor tissues from HCCLM9- and MHCC97L-nude mice, and clinical specimens.

RESULTS

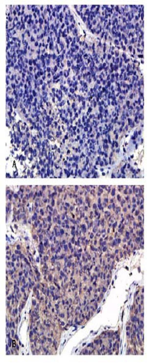
Membrane proteins were extracted from MHCC97L and HCCLM9 cell and compared by SDS-PAGE analyses. A total of 14 differentially expressed proteins were identified by ESI-MS/MS. Coronin-1C, a promising candidate, was found to be overexpressed in HCCLM9 cells as compared with MHCC97L cells, and validated by western blot and IHC from both nude mice tumor tissues and clinical specimens. Coronin-1C level showed an abrupt upsurge when pulmonary metastasis occurred. Increasing coronin-1C expression was found in liver cancer tissues of HCCLM9-nude mice with spontaneous pulmonary metastasis. IHC study on human HCC specimens revealed that more patients in the higher coronin-1C group had overt larger tumor and more advanced stage.

CONCLUSIONS

Coronin-1C could be a candidate biomarker to predict HCC invasive behavior.

摘要

背景

为了更好地寻找肝癌(HCC)侵袭和转移的潜在标志物,采用蛋白质组学方法来鉴定与 HCC 相关的潜在转移标志物。

方法

从具有相似遗传背景但转移潜能明显不同的 MHCC97L 和 HCCLM9 细胞中提取膜蛋白,通过 SDS-PAGE 进行比较,并通过 ESI-MS/MS 进行鉴定。Western blot 分析、HCCLM9 和 MHCC97L-裸鼠肿瘤组织的免疫组化(IHC)以及临床标本进一步验证了这些结果。

结果

从 MHCC97L 和 HCCLM9 细胞中提取膜蛋白,并通过 SDS-PAGE 分析进行比较。通过 ESI-MS/MS 鉴定出 14 种差异表达的蛋白质。发现微丝相关蛋白 1C(Coronin-1C)在 HCCLM9 细胞中过表达,与 MHCC97L 细胞相比,Western blot 和来自裸鼠肿瘤组织和临床标本的 IHC 均验证了这一点。当发生肺转移时,Coronin-1C 水平急剧上升。在 HCCLM9 裸鼠自发性肺转移的肝癌组织中发现 Coronin-1C 表达增加。对人类 HCC 标本的免疫组化研究表明,Coronin-1C 水平较高的患者肿瘤更大、分期更晚。

结论

Coronin-1C 可能是预测 HCC 侵袭行为的候选生物标志物。

https://cdn.ncbi.nlm.nih.gov/pmc/blobs/a55a/2845108/213fc7571ffe/1756-9966-29-17-1.jpg

文献检索

告别复杂PubMed语法,用中文像聊天一样搜索,搜遍4000万医学文献。AI智能推荐,让科研检索更轻松。

立即免费搜索

文件翻译

保留排版,准确专业,支持PDF/Word/PPT等文件格式,支持 12+语言互译。

免费翻译文档

深度研究

AI帮你快速写综述,25分钟生成高质量综述,智能提取关键信息,辅助科研写作。

立即免费体验