• 文献检索
  • 文档翻译
  • 深度研究
  • 学术资讯
  • Suppr Zotero 插件Zotero 插件
  • 邀请有礼
  • 套餐&价格
  • 历史记录
应用&插件
Suppr Zotero 插件Zotero 插件浏览器插件Mac 客户端Windows 客户端微信小程序
定价
高级版会员购买积分包购买API积分包
服务
文献检索文档翻译深度研究API 文档MCP 服务
关于我们
关于 Suppr公司介绍联系我们用户协议隐私条款
关注我们

Suppr 超能文献

核心技术专利:CN118964589B侵权必究
粤ICP备2023148730 号-1Suppr @ 2026

文献检索

告别复杂PubMed语法,用中文像聊天一样搜索,搜遍4000万医学文献。AI智能推荐,让科研检索更轻松。

立即免费搜索

文件翻译

保留排版,准确专业,支持PDF/Word/PPT等文件格式,支持 12+语言互译。

免费翻译文档

深度研究

AI帮你快速写综述,25分钟生成高质量综述,智能提取关键信息,辅助科研写作。

立即免费体验

GOLPH2 的表达可作为精原细胞瘤的诊断标志物。

GOLPH2 expression may serve as diagnostic marker in seminomas.

机构信息

Institute of Surgical Pathology, Universitäts Spital Zürich, Zurich, Switzerland.

出版信息

BMC Urol. 2010 Feb 25;10:4. doi: 10.1186/1471-2490-10-4.

DOI:10.1186/1471-2490-10-4
PMID:20184749
原文链接:https://pmc.ncbi.nlm.nih.gov/articles/PMC2843682/
Abstract

BACKGROUND

GOLPH2 (Golgi phosphoprotein 2) is a novel Golgi membrane protein. Despite its unknown physiologic function, however, it has been proposed as a biomarker for hepatocellular and prostate carcinoma due to its upregulation in those cancer entities. Whether the overexpression of GOLPH2 is tumour specific or a generic parameter of malignancy and whether this finding is true for additional carcinomas has not been determined. In this study, we aimed to evaluate the expression pattern of GOLPH2 in testicular seminomas, the most common histologic subtype of testicular neoplasm.

METHODS

GOLPH2 protein expression was assessed by immunohistochemistry in 69 testicular seminomas and compared to the expression rates in matching normal testicular tissue and intratubular germ cell neoplasia of unclassified type (IGCNU). In addition, a subset of Leydig cell tumours was analyzed accordingly.

RESULTS

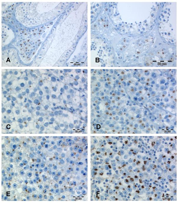
GOLPH2 was consistently overexpressed (89.9%) in seminomas. Matching non-neoplastic tissue showed weak or negative staining. The observed differences between non-neoplastic and neoplastic tissue were statistically highly significant (p < 0.001). There were no significant associations with tumour status. Interestingly, GOLPH2 was also highly expressed in the intertubular Leydig cells as well as in Leydig cell tumours.

CONCLUSIONS

GOLPH2 protein is highly expressed in seminomas and in Leydig cell tumours. This study fosters the association of GOLPH2 with malignant neoplastic processes. The staining pattern is easily assessable and consistent which is a favourable property especially in clinical settings. GOLPH2 could be a novel immunohistochemical marker for the assessment of testicular neoplasms, especially against the background that in analogy to hepatocellular carcinomas complementary GOLPH2 serum levels might be helpful in detecting metastases or recurrent tumour. Therefore serum studies and analyses of GOLPH2 expression in non-seminomatous germ cell tumours are strongly warranted.

摘要

背景

GOLPH2(高尔基磷酸蛋白 2)是一种新型的高尔基膜蛋白。尽管其生理功能未知,但由于其在肝癌和前列腺癌中的上调,它被提议作为这些癌症的生物标志物。GOLPH2 的过表达是否是肿瘤特异性的,还是恶性肿瘤的一般参数,以及这一发现是否适用于其他癌症,目前尚未确定。在这项研究中,我们旨在评估 GOLPH2 在睾丸精原细胞瘤中的表达模式,睾丸精原细胞瘤是睾丸肿瘤中最常见的组织学亚型。

方法

通过免疫组织化学法检测 69 例睾丸精原细胞瘤中的 GOLPH2 蛋白表达,并与匹配的正常睾丸组织和未分类型管内生殖细胞肿瘤(IGCNU)的表达率进行比较。此外,还相应地分析了一部分间质细胞瘤。

结果

GOLPH2 在精原细胞瘤中一致过表达(89.9%)。匹配的非肿瘤组织显示弱阳性或阴性染色。非肿瘤组织和肿瘤组织之间的差异具有统计学意义(p < 0.001)。肿瘤状态之间没有显著的相关性。有趣的是,GOLPH2 在间质细胞瘤和间质细胞瘤中也高度表达。

结论

GOLPH2 蛋白在精原细胞瘤和间质细胞瘤中高度表达。本研究促进了 GOLPH2 与恶性肿瘤过程的关联。该染色模式易于评估且一致,这是一个特别有利的特性,尤其是在临床环境中。GOLPH2 可能是一种新的用于评估睾丸肿瘤的免疫组织化学标志物,特别是在类似于肝细胞癌的情况下,互补的 GOLPH2 血清水平可能有助于检测转移或复发性肿瘤。因此,强烈需要进行血清研究,并分析非精原细胞瘤生殖细胞肿瘤中 GOLPH2 的表达。

https://cdn.ncbi.nlm.nih.gov/pmc/blobs/2582/2843682/a44f02d19817/1471-2490-10-4-2.jpg
https://cdn.ncbi.nlm.nih.gov/pmc/blobs/2582/2843682/9d1905e76009/1471-2490-10-4-1.jpg
https://cdn.ncbi.nlm.nih.gov/pmc/blobs/2582/2843682/a44f02d19817/1471-2490-10-4-2.jpg
https://cdn.ncbi.nlm.nih.gov/pmc/blobs/2582/2843682/9d1905e76009/1471-2490-10-4-1.jpg
https://cdn.ncbi.nlm.nih.gov/pmc/blobs/2582/2843682/a44f02d19817/1471-2490-10-4-2.jpg

相似文献

1
GOLPH2 expression may serve as diagnostic marker in seminomas.GOLPH2 的表达可作为精原细胞瘤的诊断标志物。
BMC Urol. 2010 Feb 25;10:4. doi: 10.1186/1471-2490-10-4.
2
CD10 is frequently expressed in classical seminomas.CD10 在经典精原细胞瘤中常表达。
Histol Histopathol. 2014 Jan;29(1):101-6. doi: 10.14670/HH-29.101. Epub 2013 Jul 16.
3
RNA-binding protein LIN28 is a marker for testicular germ cell tumors.LIN28 是一种 RNA 结合蛋白,是睾丸生殖细胞肿瘤的标志物。
Hum Pathol. 2011 May;42(5):710-8. doi: 10.1016/j.humpath.2010.09.007. Epub 2011 Feb 1.
4
Wnt suppressor and stem cell regulator TCF7L1 is a sensitive immunohistochemical marker to differentiate testicular seminoma from non-seminomatous germ cell tumor.Wnt 抑制因子和干细胞调节因子 TCF7L1 是一种敏感的免疫组织化学标志物,可用于区分睾丸精原细胞瘤与非精原细胞瘤生殖细胞肿瘤。
Exp Mol Pathol. 2019 Oct;110:104293. doi: 10.1016/j.yexmp.2019.104293. Epub 2019 Aug 2.
5
Global DNA hypomethylation in intratubular germ cell neoplasia and seminoma, but not in nonseminomatous male germ cell tumors.睾丸内生殖细胞瘤和精原细胞瘤存在全基因组DNA低甲基化,但非精原性男性生殖细胞肿瘤不存在。
Mod Pathol. 2008 Nov;21(11):1337-44. doi: 10.1038/modpathol.2008.127. Epub 2008 Jul 11.
6
Frequent PD-L1 expression in testicular germ cell tumors.睾丸生殖细胞肿瘤中PD-L1表达频繁。
Br J Cancer. 2015 Jul 28;113(3):411-3. doi: 10.1038/bjc.2015.244. Epub 2015 Jul 14.
7
c-KIT is frequently mutated in bilateral germ cell tumours and down-regulated during progression from intratubular germ cell neoplasia to seminoma.c-KIT在双侧生殖细胞肿瘤中经常发生突变,并且在从管内生殖细胞瘤发展为精原细胞瘤的过程中表达下调。
J Pathol. 2007 Nov;213(3):311-8. doi: 10.1002/path.2225.
8
MAGEC2 is a sensitive and novel marker for seminoma: a tissue microarray analysis of 325 testicular germ cell tumors.MAGEC2 是精原细胞瘤的一个敏感且新颖的标志物:325 例睾丸生殖细胞肿瘤的组织微阵列分析。
Mod Pathol. 2011 Jun;24(6):829-35. doi: 10.1038/modpathol.2011.6.
9
Nuclear lamin expression in normal testis and testicular germ cell tumours of adolescents and adults.青少年及成人正常睾丸和睾丸生殖细胞肿瘤中的核纤层蛋白表达
J Pathol. 1997 Jun;182(2):197-204. doi: 10.1002/(SICI)1096-9896(199706)182:2<197::AID-PATH823>3.0.CO;2-P.
10
Immunostaining of stage-specific embryonic antigen-4 in intratubular germ cell neoplasia unclassified and in testicular germ-cell tumors.未分类的管内生殖细胞肿瘤及睾丸生殖细胞肿瘤中阶段特异性胚胎抗原-4的免疫染色
Oncol Rep. 2003 Sep-Oct;10(5):1097-104.

引用本文的文献

1
Golgi Phosphoprotein 73: The Driver of Epithelial-Mesenchymal Transition in Cancer.高尔基体磷蛋白73:癌症上皮-间质转化的驱动因素
Front Oncol. 2021 Dec 7;11:783860. doi: 10.3389/fonc.2021.783860. eCollection 2021.
2
Golgi protein 73, hepatocellular carcinoma and other types of cancers.高尔基体蛋白73与肝细胞癌及其他类型癌症
Liver Res. 2020 Dec;4(4):161-167. doi: 10.1016/j.livres.2020.09.003. Epub 2020 Sep 25.
3
Research progress on GP73 in malignant tumors.GP73在恶性肿瘤中的研究进展

本文引用的文献

1
Recent developments in testicular germ cell tumor research.睾丸生殖细胞肿瘤研究的最新进展。
Birth Defects Res C Embryo Today. 2009 Mar;87(1):96-113. doi: 10.1002/bdrc.20140.
2
Golgi phosphoprotein 2 (GOLPH2) expression in liver tumors and its value as a serum marker in hepatocellular carcinomas.高尔基体磷蛋白2(GOLPH2)在肝脏肿瘤中的表达及其作为肝细胞癌血清标志物的价值。
Hepatology. 2009 May;49(5):1602-9. doi: 10.1002/hep.22843.
3
GOLPH2 expression in renal cell cancer.高尔基体蛋白73(GOLPH2)在肾细胞癌中的表达
Onco Targets Ther. 2018 Oct 24;11:7417-7421. doi: 10.2147/OTT.S181239. eCollection 2018.
4
Quantitative screening of serum protein biomarkers by reverse phase protein arrays.通过反相蛋白质阵列对血清蛋白质生物标志物进行定量筛选。
Oncotarget. 2018 Aug 24;9(66):32624-32641. doi: 10.18632/oncotarget.25976.
5
GP73 level determines chemotherapeutic resistance in human hepatocellular carcinoma cells.GP73水平决定人肝癌细胞的化疗耐药性。
J Cancer. 2018 Jan 1;9(2):415-423. doi: 10.7150/jca.19185. eCollection 2018.
6
Golgi-Related Proteins GOLPH2 (GP73/GOLM1) and GOLPH3 (GOPP1/MIDAS) in Cutaneous Melanoma: Patterns of Expression and Prognostic Significance.皮肤黑色素瘤中与高尔基体相关的蛋白质GOLPH2(GP73/GOLM1)和GOLPH3(GOPP1/MIDAS):表达模式及预后意义
Int J Mol Sci. 2016 Oct 1;17(10):1619. doi: 10.3390/ijms17101619.
7
Tumor markers for hepatocellular carcinoma.肝细胞癌的肿瘤标志物
Mol Clin Oncol. 2013 Jul;1(4):593-598. doi: 10.3892/mco.2013.119. Epub 2013 May 13.
8
Aberrant chimeric RNA GOLM1-MAK10 encoding a secreted fusion protein as a molecular signature for human esophageal squamous cell carcinoma.编码一种分泌性融合蛋白的异常嵌合RNA GOLM1-MAK10作为人食管鳞状细胞癌的分子标志物。
Oncotarget. 2013 Nov;4(11):2135-43. doi: 10.18632/oncotarget.1465.
9
GP73 is a potential marker for evaluating AIDS progression and antiretroviral therapy efficacy.GP73 是评估艾滋病进展和抗逆转录病毒治疗效果的潜在标志物。
Mol Biol Rep. 2013 Nov;40(11):6397-405. doi: 10.1007/s11033-013-2754-5. Epub 2013 Sep 26.
10
GP73 is down-regulated in gastric cancer and associated with tumor differentiation.GP73 在胃癌中表达下调,并与肿瘤分化相关。
World J Surg Oncol. 2013 Jun 7;11:132. doi: 10.1186/1477-7819-11-132.
BMC Urol. 2008 Nov 11;8:15. doi: 10.1186/1471-2490-8-15.
4
Decreased survival and hepato-renal pathology in mice with C-terminally truncated GP73 (GOLPH2).C末端截短的GP73(高尔基体蛋白73,GOLPH2)小鼠的存活率降低及肝肾病理改变
Int J Clin Exp Pathol. 2009;2(1):34-47. Epub 2008 Apr 24.
5
GOLPH2 protein expression as a novel tissue biomarker for prostate cancer: implications for tissue-based diagnostics.高尔基体蛋白2(GOLPH2)蛋白表达作为前列腺癌一种新的组织生物标志物:对基于组织的诊断的意义
Br J Cancer. 2008 Sep 16;99(6):939-48. doi: 10.1038/sj.bjc.6604614.
6
ADAM9 is highly expressed in renal cell cancer and is associated with tumour progression.ADAM9在肾细胞癌中高表达,并与肿瘤进展相关。
BMC Cancer. 2008 Jun 26;8:179. doi: 10.1186/1471-2407-8-179.
7
GOLPH2 and MYO6: putative prostate cancer markers localized to the Golgi apparatus.高尔基体蛋白2和肌球蛋白6:定位于高尔基体的假定前列腺癌标志物。
Prostate. 2008 Sep 15;68(13):1387-95. doi: 10.1002/pros.20806.
8
Risk factors for benign prostatic hyperplasia.良性前列腺增生的危险因素。
Curr Urol Rep. 2007 Jul;8(4):281-8. doi: 10.1007/s11934-007-0074-9.
9
A first-generation multiplex biomarker analysis of urine for the early detection of prostate cancer.用于前列腺癌早期检测的尿液第一代多重生物标志物分析。
Cancer Res. 2008 Feb 1;68(3):645-9. doi: 10.1158/0008-5472.CAN-07-3224.
10
Doubling of testicular cancer incidence rate over the last 20 years in southern France.在过去20年里,法国南部睾丸癌发病率翻了一番。
Cancer Causes Control. 2008 Mar;19(2):155-61. doi: 10.1007/s10552-007-9081-x. Epub 2007 Nov 16.