• 文献检索
  • 文档翻译
  • 深度研究
  • 学术资讯
  • Suppr Zotero 插件Zotero 插件
  • 邀请有礼
  • 套餐&价格
  • 历史记录
应用&插件
Suppr Zotero 插件Zotero 插件浏览器插件Mac 客户端Windows 客户端微信小程序
定价
高级版会员购买积分包购买API积分包
服务
文献检索文档翻译深度研究API 文档MCP 服务
关于我们
关于 Suppr公司介绍联系我们用户协议隐私条款
关注我们

Suppr 超能文献

核心技术专利:CN118964589B侵权必究
粤ICP备2023148730 号-1Suppr @ 2026

文献检索

告别复杂PubMed语法,用中文像聊天一样搜索,搜遍4000万医学文献。AI智能推荐,让科研检索更轻松。

立即免费搜索

文件翻译

保留排版,准确专业,支持PDF/Word/PPT等文件格式,支持 12+语言互译。

免费翻译文档

深度研究

AI帮你快速写综述,25分钟生成高质量综述,智能提取关键信息,辅助科研写作。

立即免费体验

菊池古氏病合并隐源性机化性肺炎:病例报告及文献复习。

Kikuchi Fujimoto disease associated with cryptogenic organizing pneumonia: case report and literature review.

机构信息

Department of Pulmonary Medicine, Zhongshan Hospital, Fudan University, 180 Feng Lin Road, Shanghai, 200032, PR China.

出版信息

BMC Infect Dis. 2010 Mar 11;10:64. doi: 10.1186/1471-2334-10-64.

DOI:10.1186/1471-2334-10-64
PMID:20222953
原文链接:https://pmc.ncbi.nlm.nih.gov/articles/PMC2842275/
Abstract

BACKGROUND

The association of Kikuchi Fujimoto disease (KFD) with cryptogenic organizing pneumonia (COP) is extremely rare. We report a case of simultaneous diagnosis of KFD and COP.

CASE PRESENTATION

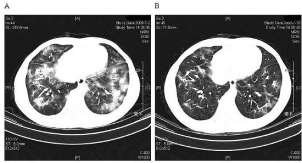
A 33-year-old male presented with a 1-month cough illness and fever lasting for 5 days. The chest radiograph revealed double lower lobe infiltrate, which was unresponsive to antibiotics. A cervical lymph node was first found in the development of this disease. Bronchoscopy, bronchoalveolar lavage and lung biopsy established the diagnosis of COP, while a lymph node biopsy was consistent with KFD. The patient improved on steroids.

CONCLUSIONS

KFD and COP are possible part of a disease continuum, rather than separate entities.

摘要

背景

Kikuchi Fujimoto 病(KFD)与隐源性机化性肺炎(COP)的关联极为罕见。我们报告了一例同时诊断 KFD 和 COP 的病例。

病例介绍

一名 33 岁男性因 1 个月的咳嗽病和持续 5 天的发热就诊。胸部 X 线片显示双下叶浸润,对抗生素无反应。该病发展过程中首先发现颈部淋巴结。支气管镜检查、肺泡灌洗和肺活检确立了 COP 的诊断,而淋巴结活检与 KFD 一致。患者在类固醇治疗后好转。

结论

KFD 和 COP 可能是同一疾病连续体的一部分,而不是独立的实体。

https://cdn.ncbi.nlm.nih.gov/pmc/blobs/646b/2842275/05d81dc5f41b/1471-2334-10-64-2.jpg
https://cdn.ncbi.nlm.nih.gov/pmc/blobs/646b/2842275/ccd77eeeac99/1471-2334-10-64-1.jpg
https://cdn.ncbi.nlm.nih.gov/pmc/blobs/646b/2842275/05d81dc5f41b/1471-2334-10-64-2.jpg
https://cdn.ncbi.nlm.nih.gov/pmc/blobs/646b/2842275/ccd77eeeac99/1471-2334-10-64-1.jpg
https://cdn.ncbi.nlm.nih.gov/pmc/blobs/646b/2842275/05d81dc5f41b/1471-2334-10-64-2.jpg

相似文献

1
Kikuchi Fujimoto disease associated with cryptogenic organizing pneumonia: case report and literature review.菊池古氏病合并隐源性机化性肺炎:病例报告及文献复习。
BMC Infect Dis. 2010 Mar 11;10:64. doi: 10.1186/1471-2334-10-64.
2
Histiocytic necrotising lymphadenitis (Kikuchi-Fujimoto disease) of axillary lymph nodes.腋窝淋巴结组织细胞性坏死性淋巴结炎(菊池-藤本病)
BMJ Case Rep. 2015 Jan 5;2015:bcr2014203776. doi: 10.1136/bcr-2014-203776.
3
Kikuchi-Fujimoto disease: A case report and review of literature.菊池-藤本病:一例病例报告及文献综述
Conn Med. 2006 Sep;70(8):491-4.
4
Kikuchi-Fujimoto disease: a rare cause of cervical lymphadenopathy and fever.菊池-藤本病:颈部淋巴结病和发热的罕见病因。
BMJ Case Rep. 2018 Aug 10;2018:bcr-2018-225210. doi: 10.1136/bcr-2018-225210.
5
Kikuchi-Fujimoto disease as a rare cause of lymphadenopathy--two cases report and review of current literature.菊池-藤本病作为淋巴结病的罕见病因——两例报告及当前文献综述
Otolaryngol Pol. 2013 Jan-Feb;67(1):1-5. doi: 10.1016/j.otpol.2012.05.001. Epub 2012 May 4.
6
A case of haemophagocytic syndrome and Kikuchi-Fujimoto disease occurring concurrently in a 17-year-old female.一名17岁女性同时发生噬血细胞综合征和菊池-藤本病1例。
Int J Clin Pract. 2000 Oct;54(8):547-9.
7
Cryptogenic organizing pneumonia associated with primary Sjogren's syndrome.与原发性干燥综合征相关的隐源性机化性肺炎。
Rheumatol Int. 2008 Aug;28(10):1053-5. doi: 10.1007/s00296-008-0568-x. Epub 2008 Apr 1.
8
Unilateral gluteal myositis as a unique presentation in mesenteric Kikuchi-Fujimoto disease.单侧臀肌肌炎作为肠系膜菊池古川病的一种独特表现。
Mod Rheumatol Case Rep. 2024 Jul 8;8(2):357-360. doi: 10.1093/mrcr/rxad068.
9
Skin manifestations of Kikuchi-Fujimoto disease: case report and review.菊池-藤本病的皮肤表现:病例报告及文献复习
Eur J Pediatr. 2004 Apr;163(4-5):210-3. doi: 10.1007/s00431-003-1364-y. Epub 2004 Feb 20.
10
A familial case of Kikuchi-Fujimoto disease in dizygotic twins.家族性二卵双生双胞胎中的奇库基-富古蒙病病例。
Pediatr Rheumatol Online J. 2020 Aug 10;18(1):62. doi: 10.1186/s12969-020-00457-2.

引用本文的文献

1
Serum Alkaline Phosphatase Levels in Pediatric Kikuchi-Fujimoto Disease: A Retrospective Observational Analysis.儿童菊池-藤本病的血清碱性磷酸酶水平:一项回顾性观察分析。
Immun Inflamm Dis. 2025 Jan;13(1):e70129. doi: 10.1002/iid3.70129.
2
Kikuchi-Fujimoto disease: A comprehensive review.菊池-藤本病:全面综述
World J Clin Cases. 2023 Jun 6;11(16):3664-3679. doi: 10.12998/wjcc.v11.i16.3664.
3
Kikuchi-Fujimoto disease associated with community acquired pneumonia showing intrathoratic lymphadenopathy without cervical lesions.

本文引用的文献

1
Cryptogenic organizing pneumonia.隐源性机化性肺炎
Semin Respir Crit Care Med. 2001 Aug;22(4):449-60. doi: 10.1055/s-2001-17387.
2
Organizing pneumonia: cryptogenic and disease associated.机化性肺炎:隐源性和疾病相关性。
Semin Respir Crit Care Med. 2003 Oct;24(5):595-606. doi: 10.1055/s-2004-815607.
3
Kikuchi-Fujimoto disease associated with mixed connective tissue disease.
Scand J Rheumatol. 2004;33(6):434-6. doi: 10.1080/03009740410006204.
与社区获得性肺炎相关的菊池-藤本病,表现为胸腔内淋巴结肿大而无颈部病变。
Springerplus. 2015 Nov 11;4:693. doi: 10.1186/s40064-015-1500-y. eCollection 2015.
4
Cryptogenic organizing pneumonia associated with invasive pulmonary aspergillosis: a case report and review of the literature.隐源性机化性肺炎合并侵袭性肺曲霉病:一例报告并文献复习
Int J Clin Exp Pathol. 2014 Dec 1;7(12):8637-46. eCollection 2014.
5
Kikuchi-Fujimoto disease: retrospective study of 91 cases and review of the literature.菊池-藤本病:91例回顾性研究及文献复习
Medicine (Baltimore). 2014 Nov;93(24):372-382. doi: 10.1097/MD.0000000000000220.
6
Bilateral pleural effusion and interstitial lung disease as unusual manifestations of Kikuchi-Fujimoto disease: case report and literature review.双侧胸腔积液和间质性肺病作为奇金氏病的不常见表现:病例报告及文献复习。
BMC Pulm Med. 2010 Nov 5;10:54. doi: 10.1186/1471-2466-10-54.
4
Lack of human herpesvirus 8 and Epstein-Barr virus in Kikuchi's histiocytic necrotizing lymphadenitis.菊池氏组织细胞坏死性淋巴结炎中缺乏人类疱疹病毒8型和爱泼斯坦-巴尔病毒。
Hum Pathol. 2003 Feb;34(2):130-5. doi: 10.1053/hupa.2003.11.
5
American Thoracic Society/European Respiratory Society International Multidisciplinary Consensus Classification of the Idiopathic Interstitial Pneumonias. This joint statement of the American Thoracic Society (ATS), and the European Respiratory Society (ERS) was adopted by the ATS board of directors, June 2001 and by the ERS Executive Committee, June 2001.美国胸科学会/欧洲呼吸学会特发性间质性肺炎国际多学科共识分类。本美国胸科学会(ATS)和欧洲呼吸学会(ERS)的联合声明于2001年6月获ATS董事会通过,并于2001年6月获ERS执行委员会通过。
Am J Respir Crit Care Med. 2002 Jan 15;165(2):277-304. doi: 10.1164/ajrccm.165.2.ats01.
6
Bronchiolitis obliterans organizing pneumonia.闭塞性细支气管炎并机化性肺炎
Arch Intern Med. 2001 Jan 22;161(2):158-64. doi: 10.1001/archinte.161.2.158.
7
Kikuchi-Fujimoto disease associated with polymyositis.
Rheumatology (Oxford). 2000 Nov;39(11):1302-4. doi: 10.1093/rheumatology/39.11.1302.
8
Kikuchi disease associated with Still disease.
Int J Dermatol. 1999 Jun;38(6):464-7. doi: 10.1046/j.1365-4362.1999.00679.x.
9
Histiocytic necrotizing lymphadenitis (Kikuchi-Fujimoto disease): continuing diagnostic difficulties.组织细胞坏死性淋巴结炎(菊池-藤本病):持续存在的诊断难题。
Histopathology. 1998 Sep;33(3):248-54. doi: 10.1046/j.1365-2559.1998.00469.x.
10
Organizing pneumonia. Features and prognosis of cryptogenic, secondary, and focal variants.机化性肺炎。特发性、继发性和局灶性变体的特征与预后
Arch Intern Med. 1997 Jun 23;157(12):1323-9. doi: 10.1001/archinte.157.12.1323.