• 文献检索
  • 文档翻译
  • 深度研究
  • 学术资讯
  • Suppr Zotero 插件Zotero 插件
  • 邀请有礼
  • 套餐&价格
  • 历史记录
应用&插件
Suppr Zotero 插件Zotero 插件浏览器插件Mac 客户端Windows 客户端微信小程序
定价
高级版会员购买积分包购买API积分包
服务
文献检索文档翻译深度研究API 文档MCP 服务
关于我们
关于 Suppr公司介绍联系我们用户协议隐私条款
关注我们

Suppr 超能文献

核心技术专利:CN118964589B侵权必究
粤ICP备2023148730 号-1Suppr @ 2026

文献检索

告别复杂PubMed语法,用中文像聊天一样搜索,搜遍4000万医学文献。AI智能推荐,让科研检索更轻松。

立即免费搜索

文件翻译

保留排版,准确专业,支持PDF/Word/PPT等文件格式,支持 12+语言互译。

免费翻译文档

深度研究

AI帮你快速写综述,25分钟生成高质量综述,智能提取关键信息,辅助科研写作。

立即免费体验

冲击波通过后向矢量引起的刺尾鱼导致双侧黄斑裂孔形成:病例报告。

Bilateral macular hole formation secondary to sclopetaria caused by shockwaves transmitted by a posterior vector: case report.

机构信息

Retina and Vitreous Center of Southern Oregon, Ashland, Oregon, USA.

出版信息

BMC Ophthalmol. 2010 Mar 19;10:6. doi: 10.1186/1471-2415-10-6.

DOI:10.1186/1471-2415-10-6
PMID:20298610
原文链接:https://pmc.ncbi.nlm.nih.gov/articles/PMC2847549/
Abstract

BACKGROUND

Sclopetaria is a rare ophthalmic finding in trauma

CASE PRESENTATION

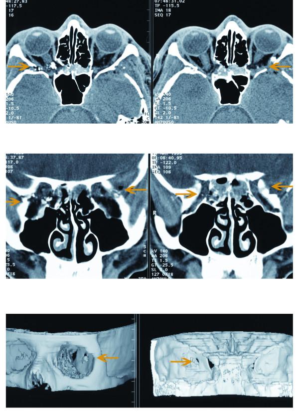
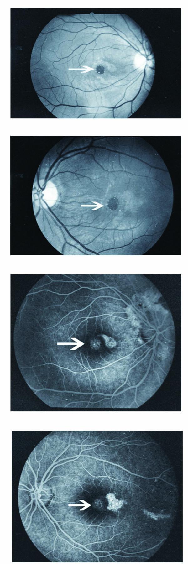
This is a report of a patient who developed macular holes from sclopetaria induced by indirect trauma. A 22-year-old male, suffered a gunshot wound that passed behind his eyes, resulting in bilateral macular hole formation

CONCLUSION

To our knowledge, this is the first reported case in which trauma posterior to the globes caused bilateral macular hole formation.

摘要

背景

Sclopetaria 是创伤性眼科的一种罕见发现

病例报告

这是一位因间接性外伤导致 Sclopetaria 从而引发黄斑裂孔的患者报告。一位 22 岁男性,遭受枪击伤,子弹从眼部后方穿过,导致双眼黄斑裂孔形成

结论

据我们所知,这是首例报道的眼球后创伤导致双侧黄斑裂孔形成的病例。

https://cdn.ncbi.nlm.nih.gov/pmc/blobs/8799/2847549/f43f966ac3f1/1471-2415-10-6-2.jpg
https://cdn.ncbi.nlm.nih.gov/pmc/blobs/8799/2847549/ecd879b8b798/1471-2415-10-6-1.jpg
https://cdn.ncbi.nlm.nih.gov/pmc/blobs/8799/2847549/f43f966ac3f1/1471-2415-10-6-2.jpg
https://cdn.ncbi.nlm.nih.gov/pmc/blobs/8799/2847549/ecd879b8b798/1471-2415-10-6-1.jpg
https://cdn.ncbi.nlm.nih.gov/pmc/blobs/8799/2847549/f43f966ac3f1/1471-2415-10-6-2.jpg

相似文献

1
Bilateral macular hole formation secondary to sclopetaria caused by shockwaves transmitted by a posterior vector: case report.冲击波通过后向矢量引起的刺尾鱼导致双侧黄斑裂孔形成:病例报告。
BMC Ophthalmol. 2010 Mar 19;10:6. doi: 10.1186/1471-2415-10-6.
2
Macular hole secondary to epiretinal membrane in a juvenile patient.一名青少年患者因视网膜前膜继发黄斑裂孔。
Am J Ophthalmol. 2005 Feb;139(2):357-9. doi: 10.1016/j.ajo.2004.07.045.
3
Surgical management of sclopetaria associated with macular hole in a young patient: long term results.一名年轻患者中与黄斑裂孔相关的巩膜葡萄肿的手术治疗:长期结果
Eye (Lond). 2009 Sep;23(9):1875-6. doi: 10.1038/eye.2008.357. Epub 2008 Dec 12.
4
Value of internal limiting membrane peeling in surgery for idiopathic macular hole and the correlation between function and retinal morphology.特发性黄斑裂孔手术中内界膜撕除的价值及功能与视网膜形态的相关性。
Acta Ophthalmol. 2009 Dec;87 Thesis 2:1-23. doi: 10.1111/j.1755-3768.2009.01777.x.
5
Management of traumatic macular holes: case report.外伤性黄斑裂孔的治疗:病例报告
Arq Bras Oftalmol. 2008 Jul-Aug;71(4):581-4. doi: 10.1590/s0004-27492008000400022.
6
Postoperative macular hole formation after vitrectomy with internal limiting membrane peeling for the treatment of epiretinal membrane.玻璃体切割联合内界膜剥除术治疗视网膜前膜术后黄斑裂孔形成
Retina. 2014 May;34(5):890-6. doi: 10.1097/IAE.0000000000000034.
7
Bilateral full thickness macular holes in association with serpiginous choroiditis.双侧全层黄斑裂孔合并匐行性脉络膜炎。
Ocul Immunol Inflamm. 2009 Sep-Oct;17(5):328-9. doi: 10.3109/09273940903105128.
8
[Atypical macular holes].[非典型黄斑裂孔]
Klin Monbl Augenheilkd. 2008 Apr;225(4):281-5. doi: 10.1055/s-2008-1027234.
9
Triamcinolone acetonide facilitates removal of the epiretinal membrane and separation of the residual vitreous cortex in highly myopic eyes with retinal detachment due to a macular hole.曲安奈德有助于在因黄斑裂孔导致视网膜脱离的高度近视眼中去除视网膜前膜并分离残留的玻璃体皮质。
Ophthalmologica. 2004 Jul-Aug;218(4):248-56. doi: 10.1159/000078615.
10
Full-Thickness Macular Hole Secondary to High-Power Handheld Blue Laser: Natural History and Management Outcomes.高功率手持式蓝色激光继发的全层黄斑裂孔:自然病程及治疗结果
Am J Ophthalmol. 2015 Jul;160(1):107-13.e1. doi: 10.1016/j.ajo.2015.04.014. Epub 2015 Apr 16.

引用本文的文献

1
Multi-layer internal limiting membrane plug technique for management of large full-thickness macular holes.多层内界膜填塞技术治疗大型全层黄斑裂孔
Int J Retina Vitreous. 2022 Nov 14;8(1):80. doi: 10.1186/s40942-022-00428-7.
2
Bilateral ocular injuries with globe perforation and retinitis sclopetaria from birdshot shotgun: A case report and review of the literature.猎枪所致双侧眼球穿孔及脉络膜视网膜炎的眼外伤:一例报告并文献复习
Trauma Case Rep. 2020 Jun 28;28:100329. doi: 10.1016/j.tcr.2020.100329. eCollection 2020 Aug.
3
Optical Coherence Tomography Morphological Features Following Modified Internal Limiting Membrane Surgical Technique In Traumatic Macular Holes.

本文引用的文献

1
Bilateral macular holes immediately following Nd:YAG laser peripheral iridotomy.钕钇铝石榴石激光周边虹膜切开术后即刻出现双侧黄斑裂孔。
Photomed Laser Surg. 2008 Dec;26(6):615-6. doi: 10.1089/pho.2008.2243.
2
Surgical management of sclopetaria associated with macular hole in a young patient: long term results.一名年轻患者中与黄斑裂孔相关的巩膜葡萄肿的手术治疗:长期结果
Eye (Lond). 2009 Sep;23(9):1875-6. doi: 10.1038/eye.2008.357. Epub 2008 Dec 12.
3
Management of traumatic macular holes: case report.外伤性黄斑裂孔的治疗:病例报告
外伤性黄斑裂孔改良内界膜手术技术后的光学相干断层扫描形态学特征
Clin Ophthalmol. 2019 Oct 9;13:1963-1972. doi: 10.2147/OPTH.S224279. eCollection 2019.
4
Comparative Study between Pars Plana Vitrectomy with Internal Limiting Membrane Peel and Pars Plana Vitrectomy with Internal Limiting Membrane Flap Technique for Management of Traumatic Full Thickness Macular Holes.玻璃体后皮质剥除术与玻璃体后皮质瓣技术治疗外伤性全层黄斑裂孔的比较研究
J Ophthalmol. 2019 Apr 21;2019:1959082. doi: 10.1155/2019/1959082. eCollection 2019.
5
Traumatic chorioretinitis sclopetaria: Risk factors, management, and prognosis.外伤性猎枪伤性脉络膜视网膜炎:危险因素、治疗及预后
Am J Ophthalmol Case Rep. 2019 Feb 16;14:39-46. doi: 10.1016/j.ajoc.2019.02.004. eCollection 2019 Jun.
6
Retained periorbital and intracranial air-gun pellets causing sclopetaria and visual loss.眶周和颅内残留气枪子弹致铅弹伤和视力丧失
Saudi J Ophthalmol. 2014 Jul;28(3):228-33. doi: 10.1016/j.sjopt.2013.07.006. Epub 2013 Jul 16.
Arq Bras Oftalmol. 2008 Jul-Aug;71(4):581-4. doi: 10.1590/s0004-27492008000400022.
4
Traumatic macular hole secondary to a Q-switch Alexandrite laser.Q开关紫翠宝石激光继发的外伤性黄斑裂孔
Retina. 2005 Jul-Aug;25(5):662-5. doi: 10.1097/00006982-200507000-00020.
5
A new model for laser-induced thermal damage in the retina.一种用于视网膜激光诱导热损伤的新模型。
Bull Math Biol. 2003 Jul;65(4):731-46. doi: 10.1016/S0092-8240(03)00028-4.
6
Spontaneous closure of traumatic macular hole.外伤性黄斑裂孔的自发闭合
Am J Ophthalmol. 2002 Sep;134(3):340-7. doi: 10.1016/s0002-9394(02)01535-0.
7
Traumatic macular hole: observations, pathogenesis, and results of vitrectomy surgery.外伤性黄斑裂孔:观察、发病机制及玻璃体切割手术结果
Ophthalmology. 2001 May;108(5):853-7. doi: 10.1016/s0161-6420(00)00650-3.
8
Long-term incidence of reopening of macular holes.黄斑裂孔 reopening 的长期发生率。 (注:这里“reopening”可能在医学语境中有更准确特定的表述,比如“再开放”等,需结合完整医学文献理解其确切含义)
Ophthalmology. 2000 Apr;107(4):760-5; discussion 766. doi: 10.1016/s0161-6420(99)00182-7.
9
Macular hole formation: new data provided by optical coherence tomography.黄斑裂孔形成:光学相干断层扫描提供的新数据
Arch Ophthalmol. 1999 Jun;117(6):744-51. doi: 10.1001/archopht.117.6.744.
10
Reopening of macular holes after initially successful repair.初次修复成功后黄斑裂孔的重新开放。
Ophthalmology. 1998 Oct;105(10):1835-8. doi: 10.1016/S0161-6420(98)91025-9.