• 文献检索
  • 文档翻译
  • 深度研究
  • 学术资讯
  • Suppr Zotero 插件Zotero 插件
  • 邀请有礼
  • 套餐&价格
  • 历史记录
应用&插件
Suppr Zotero 插件Zotero 插件浏览器插件Mac 客户端Windows 客户端微信小程序
定价
高级版会员购买积分包购买API积分包
服务
文献检索文档翻译深度研究API 文档MCP 服务
关于我们
关于 Suppr公司介绍联系我们用户协议隐私条款
关注我们

Suppr 超能文献

核心技术专利:CN118964589B侵权必究
粤ICP备2023148730 号-1Suppr @ 2026

文献检索

告别复杂PubMed语法,用中文像聊天一样搜索,搜遍4000万医学文献。AI智能推荐,让科研检索更轻松。

立即免费搜索

文件翻译

保留排版,准确专业,支持PDF/Word/PPT等文件格式,支持 12+语言互译。

免费翻译文档

深度研究

AI帮你快速写综述,25分钟生成高质量综述,智能提取关键信息,辅助科研写作。

立即免费体验

小学年龄段腰椎间盘突出症的手术切除

Surgical excision of the lumbar disc herniation in elementary school age.

作者信息

Kim Youn-Soo, Park Il-Jung, Rhyu Kee-Won, Lee Sang-Uk, Jeong Changhoon

机构信息

Department of Orthopedic Surgery, Holy Family Hospital, The Catholic University of Korea, Bucheon, Korea.

出版信息

Asian Spine J. 2009 Jun;3(1):10-5. doi: 10.4184/asj.2009.3.1.10. Epub 2009 Jun 30.

DOI:10.4184/asj.2009.3.1.10
PMID:20404940
原文链接:https://pmc.ncbi.nlm.nih.gov/articles/PMC2852041/
Abstract

STUDY DESIGN

A retrospective study.

PURPOSE

To assess the radiological, clinical features and surgical outcomes of six patients of elementary school age with lumbar disc herniation (LDH).

OVERVIEW OF LITERATURE

LDH is common in people in their fourth and fifth decades. However, the condition is extremely rare in children of elementary school age. Moreover, the clinical symptoms and treatments are different from those of adults.

METHODS

We reviewed a series of 6 patients under the age of 12 years, who underwent surgery for LDH at our institution between 1992-2002. Initially, all patients were treated conservatively. The indications for surgery were failure of conservative treatment for 3 months, intractable pain and/or progressive neurological impairment.

RESULTS

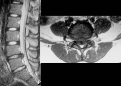
The surgical findings revealed a protruding disc in five cases and a ruptured disc in one. In addition, separation of the vertebral ring apophysis was observed in 3 cases. The symptoms had disappeared completely at the last follow-up. At the last follow-up, the Japanese Orthopaedic Association score was 10 points in 5 cases and 9 points in 1, and the Kirkaldy-Willis criteria was excellent in all patients. No intervertebral disc space narrowing was observed in any patient at last follow up. In addition, there were no degenerative changes in the vertebral endplate and facet joint.

CONCLUSIONS

Patients with symptoms that persist for more than 3 months or those with a progressive neurological deficit must be considered for surgical discectomy.

摘要

研究设计

一项回顾性研究。

目的

评估6例小学年龄腰椎间盘突出症(LDH)患者的影像学、临床特征及手术疗效。

文献综述

腰椎间盘突出症在40至50岁人群中较为常见。然而,在小学年龄儿童中极为罕见。此外,其临床症状和治疗方法与成人不同。

方法

我们回顾了1992年至2002年间在我院接受LDH手术的6例12岁以下患者。最初,所有患者均接受保守治疗。手术指征为保守治疗3个月无效、顽固性疼痛和/或进行性神经功能损害。

结果

手术发现5例为椎间盘突出,1例为椎间盘破裂。此外,3例观察到椎环骨骺分离。末次随访时症状已完全消失。末次随访时,日本骨科协会评分为5例10分,1例9分,所有患者的Kirkaldy-Willis标准均为优。末次随访时所有患者均未观察到椎间盘间隙变窄。此外,椎体终板和小关节无退变改变。

结论

对于症状持续超过3个月或有进行性神经功能缺损的患者,必须考虑行手术椎间盘切除术。

https://cdn.ncbi.nlm.nih.gov/pmc/blobs/e1c3/2852041/88c99a41d64c/asj-3-10-g002.jpg
https://cdn.ncbi.nlm.nih.gov/pmc/blobs/e1c3/2852041/6ada180356cc/asj-3-10-g001.jpg
https://cdn.ncbi.nlm.nih.gov/pmc/blobs/e1c3/2852041/88c99a41d64c/asj-3-10-g002.jpg
https://cdn.ncbi.nlm.nih.gov/pmc/blobs/e1c3/2852041/6ada180356cc/asj-3-10-g001.jpg
https://cdn.ncbi.nlm.nih.gov/pmc/blobs/e1c3/2852041/88c99a41d64c/asj-3-10-g002.jpg

相似文献

1
Surgical excision of the lumbar disc herniation in elementary school age.小学年龄段腰椎间盘突出症的手术切除
Asian Spine J. 2009 Jun;3(1):10-5. doi: 10.4184/asj.2009.3.1.10. Epub 2009 Jun 30.
2
Posterior ring apophysis separation combined with lumbar disc herniation in adults: a 10-year experience in the surgical management of 87 cases.成人后纵韧带骨化合并腰椎间盘突出症:87 例手术治疗 10 年经验。
J Neurosurg Spine. 2011 Apr;14(4):475-83. doi: 10.3171/2010.11.SPINE10392. Epub 2011 Feb 4.
3
Mid- to long-term outcome of disc excision in adolescent disc herniation.青少年椎间盘突出症椎间盘切除术的中长期疗效
Spine J. 2006 Jul-Aug;6(4):380-4. doi: 10.1016/j.spinee.2005.10.015.
4
Lumbar intervertebral disc herniation in children less than 16 years of age. Long-term follow-up study of surgically managed cases.16岁以下儿童腰椎间盘突出症。手术治疗病例的长期随访研究。
Spine (Phila Pa 1976). 1997 Sep 1;22(17):2044-9. doi: 10.1097/00007632-199709010-00022.
5
Percutaneous Endoscopic Lumbar Discectomy via Transforaminal Approach Combined with Interlaminar Approach for L4/5 and L5/S1 Two-Level Disc Herniation.经皮椎间孔镜下腰椎间盘切除术联合经椎间孔入路与经椎板间入路治疗 L4/5 和 L5/S1 双节段椎间盘突出症
Orthop Surg. 2021 May;13(3):979-988. doi: 10.1111/os.12862. Epub 2021 Apr 5.
6
Comparison of percutaneous endoscopic transforaminal discectomy, microendoscopic discectomy, and microdiscectomy for symptomatic lumbar disc herniation: minimum 2-year follow-up results.经皮内镜下经椎间孔椎间盘切除术、显微内镜下椎间盘切除术和显微椎间盘切除术治疗症状性腰椎间盘突出症的比较:至少2年的随访结果
J Neurosurg Spine. 2018 Mar;28(3):317-325. doi: 10.3171/2017.6.SPINE172. Epub 2018 Jan 5.
7
Adolescent lumbar disc herniation: Impact, diagnosis, and treatment.青少年腰椎间盘突出症:影响、诊断与治疗
J Back Musculoskelet Rehabil. 2017;30(2):347-352. doi: 10.3233/BMR-160572.
8
Percutaneous Endoscopic Lumbar Discectomy for All Types of Lumbar Disc Herniations (LDH) Including Severely Difficult and Extremely Difficult LDH Cases.经皮内窥镜下腰椎间盘切除术治疗各种类型的腰椎间盘突出症(LDH),包括极困难和极其困难的 LDH 病例。
Pain Physician. 2018 Jul;21(4):E401-E408.
9
Retrolisthesis and lumbar disc herniation: a preoperative assessment of patient function.腰椎椎体后移与腰椎间盘突出症:患者功能的术前评估
Spine J. 2007 Jul-Aug;7(4):406-13. doi: 10.1016/j.spinee.2006.08.011. Epub 2007 Jan 2.
10
Conservative Treatment for Giant Lumbar Disc Herniation: Clinical Study in 409 Cases.保守治疗巨大型腰椎间盘突出症 409 例临床研究。
Pain Physician. 2021 Aug;24(5):E639-E648.

引用本文的文献

1
Clinical efficacy of percutaneous transforaminal endoscopic discectomy in treating adolescent lumbar disc herniation.经皮椎间孔镜下椎间盘切除术治疗青少年腰椎间盘突出症的临床疗效
Medicine (Baltimore). 2019 Mar;98(9):e14682. doi: 10.1097/MD.0000000000014682.

本文引用的文献

1
Herniated nucleus pulposus in a child of twelve years.一名12岁儿童的髓核突出。
Acta Orthop Scand. 1945;16(1):40-2. doi: 10.3109/17453674508988913.
2
Adolescent lumbar disc herniation and hamstring tightness: review of 16 cases.青少年腰椎间盘突出症与腘绳肌紧张:16例病例回顾
Spine (Phila Pa 1976). 2006 Jul 15;31(16):1810-4. doi: 10.1097/01.brs.0000226047.83475.e4.
3
Mid- to long-term outcome of disc excision in adolescent disc herniation.青少年椎间盘突出症椎间盘切除术的中长期疗效
Spine J. 2006 Jul-Aug;6(4):380-4. doi: 10.1016/j.spinee.2005.10.015.
4
Intervertebral-disc lesions in children and adolescents.儿童和青少年的椎间盘病变
J Bone Joint Surg Am. 1950 Jan;32A(1):97-102.
5
HERNIATED LUMBAR INTERVERTEBRAL DISCS IN TEEN-AGE CHILDREN.青少年腰椎间盘突出症
J Neurosurg. 1964 Dec;21:1070-5. doi: 10.3171/jns.1964.21.12.1070.
6
Lumbar disc excision in children and adolescents.
Spine (Phila Pa 1976). 2001 Sep 15;26(18):1997-2000. doi: 10.1097/00007632-200109150-00011.
7
Lumbar intervertebral disc herniation in children less than 16 years of age. Long-term follow-up study of surgically managed cases.16岁以下儿童腰椎间盘突出症。手术治疗病例的长期随访研究。
Spine (Phila Pa 1976). 1997 Sep 1;22(17):2044-9. doi: 10.1097/00007632-199709010-00022.
8
Treatment of lumbar disc herniation in the second decade of life.20岁年龄段腰椎间盘突出症的治疗
Eur Spine J. 1996;5(4):220-4. doi: 10.1007/BF00301323.
9
Pediatric lumbar disc surgery: 20 patients under 15 years of age.
Surg Neurol. 1996 Jul;46(1):14-8. doi: 10.1016/0090-3019(96)00035-3.
10
Herniation of the lumbar disc in children and adolescents.儿童和青少年腰椎间盘突出症
J Pediatr Orthop. 1982;2(5):528-33. doi: 10.1097/01241398-198212000-00012.