Suppr超能文献

帕金森病相关蛋白,α-突触核蛋白,在恶性黑色素瘤中。

Parkinson's disease-related protein, alpha-synuclein, in malignant melanoma.

机构信息

Department of Medicine, Center for Molecular Chaperone/Radiobiology and Cancer Virology, Cancer Center, Medical College of Georgia, Augusta, Georgia, United States of America.

出版信息

PLoS One. 2010 May 5;5(5):e10481. doi: 10.1371/journal.pone.0010481.

Abstract

BACKGROUND

Melanoma is the major cause of skin cancer death worldwide. Parkinson's disease is a neurodegenerative disorder that is caused by mutation of alpha-synuclein or other genes. Importantly, epidemiological studies have reported co-occurrence of melanoma and Parkinson's disease, suggesting that these two diseases could share common genetic components.

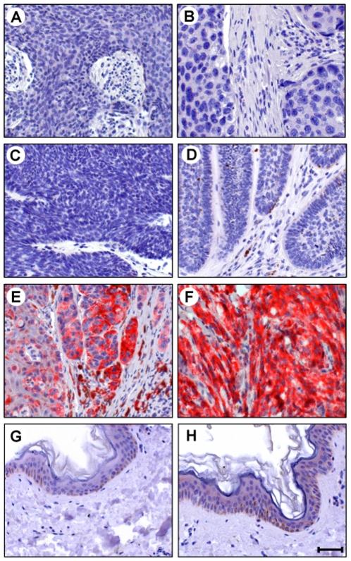
METHODOLOGY/PRINCIPAL FINDINGS: Recently, we found that human melanoma cell lines highly express alpha-synuclein, whereas the protein is undetectable in the non-melanoma cancer cell lines tested. To investigate the expression of alpha-synuclein in human melanoma tissues, we immunostained sections of melanoma, nevus, non-melanocytic cutaneous carcinoma, and normal skin. alpha-Synuclein was positively detected in 86% of the primary and 85% of the metastatic melanoma sections, as well as in 89% of nevus sections. However, alpha-synuclein was undetectable in non-melanocytic cutaneous carcinoma and normal skin.

CONCLUSIONS/SIGNIFICANCE: The Parkinson's disease-related protein, alpha-synuclein, is expressed in both malignant and benign melanocytic lesions, such as melanomas and nevi. Although alpha-synuclein cannot be used to distinguish between malignant and benign melanocytic skin lesions, it might be a useful biomarker for the diagnosis of metastatic melanoma.

摘要

背景

黑色素瘤是全球导致皮肤癌死亡的主要原因。帕金森病是一种神经退行性疾病,由α-突触核蛋白或其他基因突变引起。重要的是,流行病学研究报告了黑色素瘤和帕金森病的同时发生,这表明这两种疾病可能具有共同的遗传成分。

方法/主要发现:最近,我们发现人黑色素瘤细胞系高度表达α-突触核蛋白,而在测试的非黑色素瘤癌细胞系中则检测不到该蛋白。为了研究α-突触核蛋白在人黑色素瘤组织中的表达,我们对黑色素瘤、痣、非黑色素细胞性皮肤癌和正常皮肤的切片进行了免疫染色。α-突触核蛋白在 86%的原发性和 85%的转移性黑色素瘤切片中以及 89%的痣切片中被阳性检测到。然而,α-突触核蛋白在非黑色素细胞性皮肤癌和正常皮肤中无法检测到。

结论/意义:帕金森病相关蛋白α-突触核蛋白在恶性和良性黑色素细胞病变中均有表达,如黑色素瘤和痣。虽然α-突触核蛋白不能用于区分恶性和良性黑色素细胞皮肤病变,但它可能是诊断转移性黑色素瘤的有用生物标志物。

https://cdn.ncbi.nlm.nih.gov/pmc/blobs/fe1c/2864738/8095eaf931b6/pone.0010481.g001.jpg

文献AI研究员

20分钟写一篇综述,助力文献阅读效率提升50倍。

立即体验

用中文搜PubMed

大模型驱动的PubMed中文搜索引擎

马上搜索

文档翻译

学术文献翻译模型,支持多种主流文档格式。

立即体验