• 文献检索
  • 文档翻译
  • 深度研究
  • 学术资讯
  • Suppr Zotero 插件Zotero 插件
  • 邀请有礼
  • 套餐&价格
  • 历史记录
应用&插件
Suppr Zotero 插件Zotero 插件浏览器插件Mac 客户端Windows 客户端微信小程序
定价
高级版会员购买积分包购买API积分包
服务
文献检索文档翻译深度研究API 文档MCP 服务
关于我们
关于 Suppr公司介绍联系我们用户协议隐私条款
关注我们

Suppr 超能文献

核心技术专利:CN118964589B侵权必究
粤ICP备2023148730 号-1Suppr @ 2026

文献检索

告别复杂PubMed语法,用中文像聊天一样搜索,搜遍4000万医学文献。AI智能推荐,让科研检索更轻松。

立即免费搜索

文件翻译

保留排版,准确专业,支持PDF/Word/PPT等文件格式,支持 12+语言互译。

免费翻译文档

深度研究

AI帮你快速写综述,25分钟生成高质量综述,智能提取关键信息,辅助科研写作。

立即免费体验

胆囊穿孔合并十二指肠乳头癌:1 例报告。

Gallbladder perforation associated with carcinoma of the duodenal papilla: a case report.

机构信息

Department of Surgery, Ome Municipal General Hospital, 16-5, Higashi Ome 4-chome, Ome-shi, Tokyo, 198-0042, Japan.

出版信息

World J Surg Oncol. 2010 May 20;8:41. doi: 10.1186/1477-7819-8-41.

DOI:10.1186/1477-7819-8-41
PMID:20487525
原文链接:https://pmc.ncbi.nlm.nih.gov/articles/PMC2887867/
Abstract

BACKGROUND

Gallbladder perforation is a rare clinical condition, which mostly occurs following acute cholecystitis associated with cholelithiasis. A tumor of the ampulla of Vater causes gradually progressive symptoms, and is rarely associated with perforation of the gallbladder.

CASE PRESENTATION

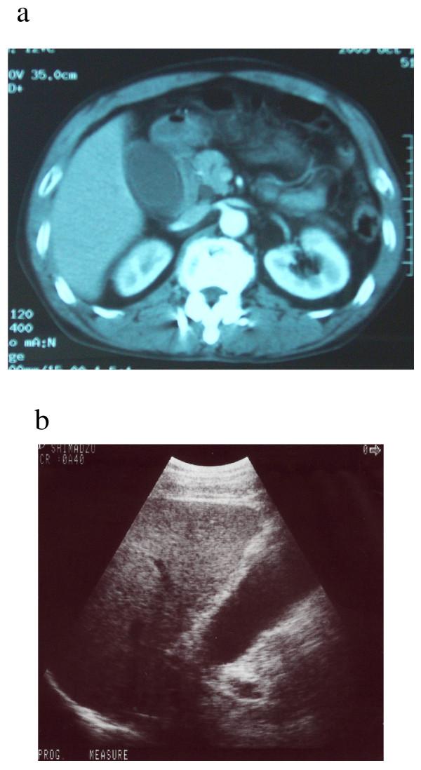
A 56-year-old man with carcinoma of the ampulla of Vater presented with spontaneous gallbladder perforation and localized bile peritonitis. He complained of right upper abdominal pain, and laparotomy revealed perforation of the gallbladder with no gallstones. Postoperative upper gastrointestinal endoscopy demonstrated a slightly enlarged duodenal papilla, and biopsy revealed adenocarcinoma of the ampulla. Pylorus-preserving pancreaticoduodenectomy was performed subsequently.

CONCLUSION

Ampullary carcinoma can be associated with gallbladder perforation and present with acute manifestations. Immediate surgical treatment is required for this condition.

摘要

背景

胆囊穿孔是一种罕见的临床情况,主要发生在伴有胆石症的急性胆囊炎之后。壶腹肿瘤引起逐渐进展的症状,很少与胆囊穿孔有关。

病例介绍

一位 56 岁男性,患有 Vater 壶腹癌,表现为自发性胆囊穿孔和局限性胆汁性腹膜炎。他主诉右上腹痛,剖腹探查发现胆囊穿孔且无胆石。术后上消化道内镜检查显示十二指肠乳头稍肿大,活检显示壶腹腺癌。随后行保留幽门的胰十二指肠切除术。

结论

壶腹癌可与胆囊穿孔相关,并表现出急性表现。这种情况需要立即进行手术治疗。

https://cdn.ncbi.nlm.nih.gov/pmc/blobs/7387/2887867/b7895805c7b3/1477-7819-8-41-2.jpg
https://cdn.ncbi.nlm.nih.gov/pmc/blobs/7387/2887867/d69e402944ab/1477-7819-8-41-1.jpg
https://cdn.ncbi.nlm.nih.gov/pmc/blobs/7387/2887867/b7895805c7b3/1477-7819-8-41-2.jpg
https://cdn.ncbi.nlm.nih.gov/pmc/blobs/7387/2887867/d69e402944ab/1477-7819-8-41-1.jpg
https://cdn.ncbi.nlm.nih.gov/pmc/blobs/7387/2887867/b7895805c7b3/1477-7819-8-41-2.jpg

相似文献

1
Gallbladder perforation associated with carcinoma of the duodenal papilla: a case report.胆囊穿孔合并十二指肠乳头癌:1 例报告。
World J Surg Oncol. 2010 May 20;8:41. doi: 10.1186/1477-7819-8-41.
2
A case report of an ampullary tumor presenting with spontaneous perforation of an aberrant bile duct and treated with total laparoscopic pancreaticoduodenectomy.一份关于壶腹肿瘤伴发异常胆管自发性穿孔的病例报告,并采用全腹腔镜胰十二指肠切除术进行治疗。
World J Surg Oncol. 2012 Jul 12;10:142. doi: 10.1186/1477-7819-10-142.
3
A collision tumor composed of cancers of the bile duct and ampulla of Vater--immunohistochemical analysis of a rare entity of double cancer.由胆管癌和 Vater 壶腹癌组成的碰撞瘤——一种罕见的双重癌实体的免疫组织化学分析
Hepatogastroenterology. 2008 May-Jun;55(84):861-4.
4
Solitary pulmonary metastasis from carcinoma of the papilla of vater.来自 Vater 壶腹癌的孤立性肺转移
Ann Thorac Cardiovasc Surg. 2011;17(4):404-7. doi: 10.5761/atcs.cr.10.01611.
5
Signet-ring-cell carcinoma of the ampulla of Vater: a case report.壶腹印戒细胞癌:一例报告
Hepatogastroenterology. 2002 Mar-Apr;49(44):561-3.
6
Signet-ring cell carcinoma co-existing with adenocarcinoma of the ampulla of vater. A case report.印戒细胞癌与壶腹腺癌并存。病例报告。
JOP. 2011 Mar 9;12(2):162-6.
7
[A case of adenoendocrine cell carcinoma on the ampulla of Vater].[一例发生于 Vater 壶腹的腺内分泌细胞癌]
Nihon Shokakibyo Gakkai Zasshi. 2013 Feb;110(2):282-9.
8
Carcinoma in adenoma of the papilla of Vater.壶腹腺瘤中的癌
Jpn J Surg. 1986 Sep;16(5):371-6. doi: 10.1007/BF02470562.
9
Mixed adenoneuroendocrine carcinoma of the ampulla of Vater: a case report and literature review.Vater壶腹混合性腺神经内分泌癌:一例报告及文献复习
Clin J Gastroenterol. 2020 Feb;13(1):37-45. doi: 10.1007/s12328-019-01009-2. Epub 2019 Jul 24.
10
[A Case of Resected Lymph Node Recurrence of Cancer of the Papilla of Vater].[一例 Vater 乳头癌切除术后淋巴结复发病例]
Gan To Kagaku Ryoho. 2015 Nov;42(12):1579-81.

引用本文的文献

1
Point of Care Contrast Enhanced Ultrasound Utility in the Diagnosis of a Gallbladder Perforation: A Case Report.床旁超声造影在胆囊穿孔诊断中的应用:一例报告
POCUS J. 2025 Apr 15;10(1):125-130. doi: 10.24908/pocusj.v10i01.18166. eCollection 2025 Apr.
2
Pyogenic Liver Abscess Complicating Acute Cholecystitis: Different Management Options.化脓性肝脓肿合并急性胆囊炎:不同的治疗选择。
Medicina (Kaunas). 2022 Jun 9;58(6):782. doi: 10.3390/medicina58060782.
3
Spontaneous acalculous gallbladder perforation in a man secondary to chemotherapy and radiation: A rare case report.

本文引用的文献

1
Clinicopathological analysis of idiopathic perforation of the gallbladder.胆囊特发性穿孔的临床病理分析
Surg Today. 2007;37(8):633-7. doi: 10.1007/s00595-006-3476-2. Epub 2007 Jul 26.
2
Status of surgical treatment of biliary tract cancer.胆管癌的外科治疗现状
Dig Surg. 2007;24(2):131-6. doi: 10.1159/000101901. Epub 2007 Apr 19.
3
Diagnosis and treatment of gallbladder perforation.胆囊穿孔的诊断与治疗。
一名男性因化疗和放疗继发自发性非结石性胆囊穿孔:一例罕见病例报告。
Medicine (Baltimore). 2018 May;97(19):e0674. doi: 10.1097/MD.0000000000010674.
4
Intrahepatic perforation of the gallbladder causing liver abscesses: case studies and literature review of a rare complication.胆囊肝内穿孔导致肝脓肿:罕见并发症的病例研究及文献综述
Ann R Coll Surg Engl. 2016 Jul;98(6):e88-91. doi: 10.1308/rcsann.2016.0115. Epub 2016 Apr 8.
World J Gastroenterol. 2006 Dec 28;12(48):7832-6. doi: 10.3748/wjg.v12.i48.7832.
4
Nodal involvement as an indicator of postoperative liver metastasis in carcinoma of the papilla of Vater.淋巴结受累作为 Vater 乳头癌术后肝转移的指标。
J Hepatobiliary Pancreat Surg. 2006;13(6):549-55. doi: 10.1007/s00534-006-1113-5. Epub 2006 Nov 30.
5
Therapeutic approach to tumors of the ampulla of Vater.壶腹肿瘤的治疗方法。
Am J Surg. 2006 Aug;192(2):161-4. doi: 10.1016/j.amjsurg.2006.05.002.
6
Clinicopathologic features of ampullary carcinoma without jaundice.无黄疸的壶腹癌的临床病理特征
J Clin Gastroenterol. 2006 Feb;40(2):162-6. doi: 10.1097/01.mcg.0000196191.42296.e0.
7
Current management of gall bladder perforations.胆囊穿孔的当前治疗方法。
ANZ J Surg. 2004 Oct;74(10):843-6. doi: 10.1111/j.1445-1433.2004.03186.x.
8
Pathogenesis and treatment of neoplastic diseases of the papilla of Vater: Kausch-Whipple procedure with lymph node dissection in cancer of the papilla of Vater.Vater壶腹肿瘤性疾病的发病机制与治疗:Vater壶腹癌行Kausch-Whipple手术并清扫淋巴结
J Hepatobiliary Pancreat Surg. 2004;11(4):232-8. doi: 10.1007/s00534-004-0895-6.
9
Clinical predictors of severe gallbladder complications in acute acalculous cholecystitis.急性非结石性胆囊炎严重胆囊并发症的临床预测因素
World J Gastroenterol. 2003 Dec;9(12):2821-3. doi: 10.3748/wjg.v9.i12.2821.
10
Carcinoma of the papilla of Vater. Diagnostic and surgical problems.Vater壶腹癌。诊断与手术问题。
Hepatogastroenterology. 2003 May-Jun;50(51):621-4.