Suppr超能文献

过敏性紫癜病例报告及文献复习。

Henoch-schonlein purpura-a case report and review of the literature.

机构信息

Gastroenterology, Montefiore Medical Center, North Division, 600, E 233rd street, Bronx, NY 10466, USA.

出版信息

Gastroenterol Res Pract. 2010;2010:597648. doi: 10.1155/2010/597648. Epub 2010 May 23.

Abstract

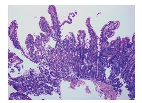
We describe a case of an adolescent male with Henoch-Schonlein purpura (HSP), presenting with cutaneous and gastrointestinal manifestations. Endoscopy revealed diffuse ulcerations in the stomach, duodenum, and right colon. Biopsies revealed a leukocytoclastic vasculitis in the skin and gastrointestinal tract. Steroid therapy led to complete resolution of the symptoms. HSP is the most common childhood vasculitis, and is characterized by the classic tetrad of nonthrombocytopenic palpable purpura, arthritis or arthralgias, gastrointestinal and renal involvement. It is a systemic disease where antigen-antibody (IgA) complexes activate the alternate complement pathway, resulting in inflammation and small vessel vasculitis. Mild disease resolves spontaneously, and symptomatic treatment alone is sufficient. Systemic steroids are recommended for moderate to severe HSP. The prognosis depends upon the extent of renal involvement, which requires close followup. Early recognition of multiorgan involvement, especially outside of the typical age group, as in our adolescent patient, and appropriate intervention can mitigate the disease and limit organ damage.

摘要

我们描述了一例青少年男性患有过敏性紫癜(HSP)的病例,表现为皮肤和胃肠道症状。内镜检查显示胃、十二指肠和右结肠弥漫性溃疡。活检显示皮肤和胃肠道的白细胞碎裂性血管炎。皮质类固醇治疗导致症状完全缓解。HSP 是最常见的儿童血管炎,其特征是典型的四联征,即非血小板减少性可触及性紫癜、关节炎或关节痛、胃肠道和肾脏受累。它是一种全身性疾病,抗原抗体(IgA)复合物激活替代补体途径,导致炎症和小血管血管炎。轻度疾病会自行缓解,仅对症治疗即可。对于中度至重度 HSP,建议使用全身性类固醇。预后取决于肾脏受累的程度,这需要密切随访。早期识别多器官受累,特别是在典型年龄组之外,如我们的青少年患者,以及适当的干预可以减轻疾病并限制器官损伤。

https://cdn.ncbi.nlm.nih.gov/pmc/blobs/d619/2874920/7af698e13b6f/GRP2010-597648.001.jpg

文献AI研究员

20分钟写一篇综述,助力文献阅读效率提升50倍。

立即体验

用中文搜PubMed

大模型驱动的PubMed中文搜索引擎

马上搜索

文档翻译

学术文献翻译模型,支持多种主流文档格式。

立即体验