Suppr超能文献

颅内血管外皮细胞瘤治疗 8 年后转移复发 1 例并重点探讨 PET/CT 在随访中的作用

Metastatic recurrence of an intracranial hemangiopericytoma 8 years after treatment: report of a case with emphasis on the role of PET/CT in follow-up.

机构信息

Bioimaging Unit, Tata Memorial Hospital, Parel, Mumbai, Maharshtra 400012, India.

出版信息

Cancer Imaging. 2010 May 8;10(1):117-20. doi: 10.1102/1470-7330.2010.0017.

Abstract

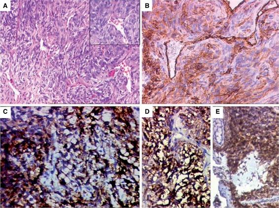
Intracranial meningeal hemangiopericytomas are rare tumors that can mimic meningioma on imaging and on histopathology. However, these tumors are more aggressive with a tendency for local and metastatic recurrence, sometimes after a prolonged symptom-free interval. We report an unusual metastatic recurrence of an intracranial hemangiopericytoma, 8 years after surgery for the primary tumor and discuss the role of positron emission tomography/computed tomography in the follow-up of these patients.

摘要

颅内脑膜血管外皮细胞瘤是一种罕见的肿瘤,在影像学和组织病理学上可类似于脑膜瘤。然而,这些肿瘤具有更强的侵袭性,倾向于局部和转移性复发,有时在无症状间隔期延长后。我们报告了一例颅内血管外皮细胞瘤的罕见转移性复发,距原发性肿瘤手术后 8 年,并讨论了正电子发射断层扫描/计算机断层扫描在这些患者随访中的作用。

https://cdn.ncbi.nlm.nih.gov/pmc/blobs/7adf/2883783/f4cdab019915/ci10001701.jpg

文献AI研究员

20分钟写一篇综述,助力文献阅读效率提升50倍。

立即体验

用中文搜PubMed

大模型驱动的PubMed中文搜索引擎

马上搜索

文档翻译

学术文献翻译模型,支持多种主流文档格式。

立即体验