Suppr超能文献

梭菌属肉毒梭菌中的结合型肉毒神经毒素编码质粒。

Conjugative botulinum neurotoxin-encoding plasmids in Clostridium botulinum.

机构信息

Department of Bacteriology, College of Agriculture and Life Sciences, University of Wisconsin, Madison, Wisconsin, USA.

出版信息

PLoS One. 2010 Jun 11;5(6):e11087. doi: 10.1371/journal.pone.0011087.

Abstract

BACKGROUND

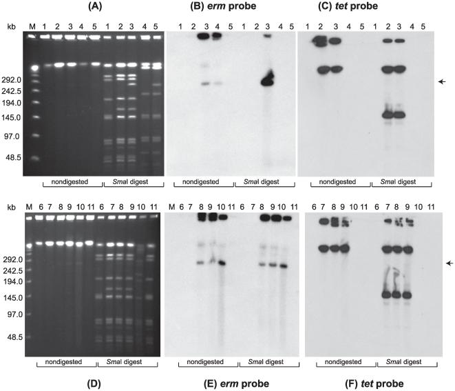
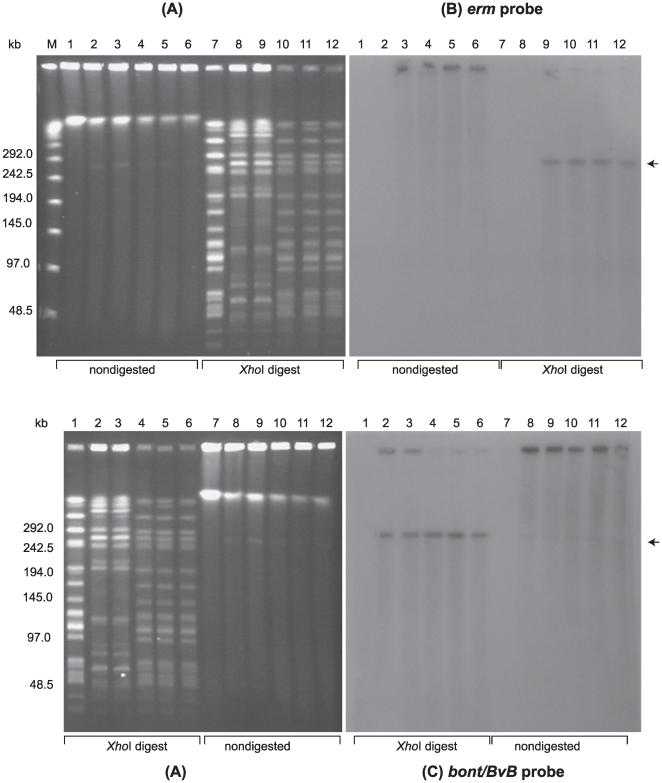
Clostridium botulinum produces seven distinct serotypes of botulinum neurotoxins (BoNTs). The genes encoding different subtype neurotoxins of serotypes A, B, F and several dual neurotoxin-producing strains have been shown to reside on plasmids, suggesting that intra- and interspecies transfer of BoNT-encoding plasmids may occur. The objective of the present study was to determine whether these C. botulinum BoNT-encoding plasmids are conjugative.

METHODOLOGY/PRINCIPAL FINDINGS: C. botulinum BoNT-encoding plasmids pBotCDC-A3 (strain CDC-A3), pCLJ (strain 657Ba) and pCLL (strain Eklund 17B) were tagged with the erythromycin resistance marker (Erm) using the ClosTron mutagenesis system by inserting a group II intron into the neurotoxin genes carried on these plasmids. Transfer of the tagged plasmids from the donor strains CDC-A3, 657Ba and Eklund 17B to tetracycline-resistant recipient C. botulinum strains was evaluated in mating experiments. Erythromycin and tetracycline resistant transconjugants were isolated from donor:recipient mating pairs tested. Transfer of the plasmids to the transconjugants was confirmed by pulsed-field gel electrophoresis (PFGE) and Southern hybridizations. Transfer required cell-to-cell contact and was DNase resistant. This indicates that transfer of these plasmids occurs via a conjugation mechanism.

CONCLUSIONS/SIGNIFICANCE: This is the first evidence supporting conjugal transfer of native botulinum neurotoxin-encoding plasmids in C. botulinum, and provides a probable mechanism for the lateral distribution of BoNT-encoding plasmids to other C. botulinum strains. The potential transfer of C. botulinum BoNT-encoding plasmids to other bacterial hosts in the environment or within the human intestine is of great concern for human pathogenicity and necessitates further characterization of these plasmids.

摘要

背景

肉毒梭菌产生七种不同的肉毒神经毒素(BoNTs)血清型。已经表明,编码 A、B、F 血清型和几种双重神经毒素产生菌株的不同亚型神经毒素的基因位于质粒上,这表明 BoNT 编码质粒可能在种内和种间转移。本研究的目的是确定这些肉毒梭菌 BoNT 编码质粒是否具有接合性。

方法/主要发现:使用 ClosTron 诱变系统,通过将 II 组内含子插入这些质粒上携带的神经毒素基因中,将肉毒梭菌 BoNT 编码质粒 pBotCDC-A3(菌株 CDC-A3)、pCLJ(菌株 657Ba)和 pCLL(菌株 Eklund 17B)标记上红霉素抗性标记(Erm)。从供体菌株 CDC-A3、657Ba 和 Eklund 17B 到四环素抗性受体肉毒梭菌菌株的标记质粒的转移在交配实验中进行了评估。从测试的供体:受体交配对中分离出红霉素和四环素抗性转导子。通过脉冲场凝胶电泳(PFGE)和 Southern 杂交证实了质粒向转导子的转移。转移需要细胞间接触并且对 DNase 有抗性。这表明这些质粒的转移是通过接合机制发生的。

结论/意义:这是首次支持肉毒梭菌中天然肉毒神经毒素编码质粒的接合转移的证据,并为 BoNT 编码质粒向其他肉毒梭菌菌株的侧向分布提供了可能的机制。环境中或人类肠道内肉毒梭菌 BoNT 编码质粒向其他细菌宿主的潜在转移对人类致病性非常关注,需要进一步表征这些质粒。

https://cdn.ncbi.nlm.nih.gov/pmc/blobs/17bc/2884020/6e208db04e6f/pone.0011087.g001.jpg

文献检索

告别复杂PubMed语法,用中文像聊天一样搜索,搜遍4000万医学文献。AI智能推荐,让科研检索更轻松。

立即免费搜索

文件翻译

保留排版,准确专业,支持PDF/Word/PPT等文件格式,支持 12+语言互译。

免费翻译文档

深度研究

AI帮你快速写综述,25分钟生成高质量综述,智能提取关键信息,辅助科研写作。

立即免费体验