Bull World Health Organ. 1959;21(1):51-144.
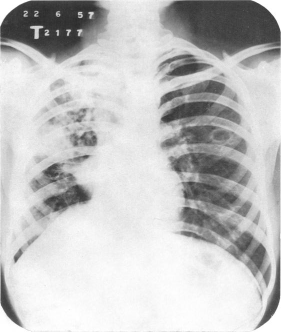
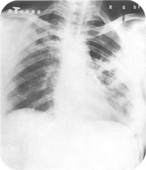
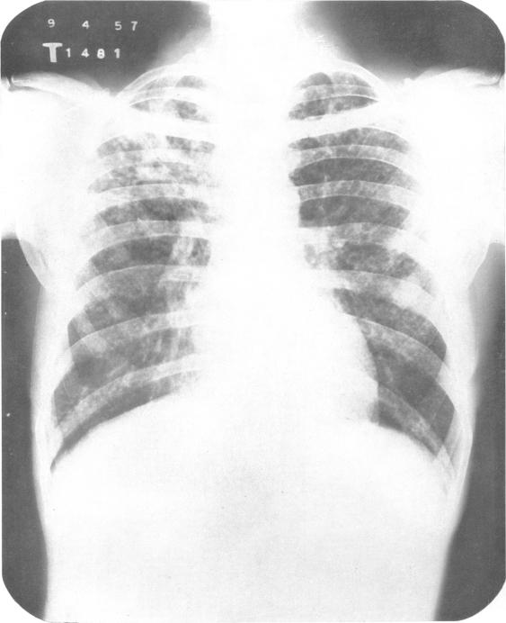
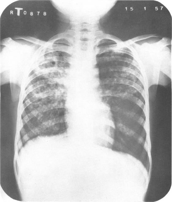
In India, as in most under-development countries, the tuberculosis problem is aggravated by an acute shortage of sanatorium beds. The number of active cases of tuberculosis in the country has been estimated at 2 (1/2) million, but only 23 000 tuberculosis beds are available. In these circumstances great importance attaches to the possibility of applying mass domiciliary chemotherapy as a substitute for sanatorium treatment in cases of pulmonary tuberculosis. The findings of the present study, based on a comparison of the two types of treatment over a period of 12 months, show that despite the manifest advantages of sanatorium care-rest, adequate diet, nursing and supervised medicine-taking-the merits of domiciliary chemotherapy are comparable to those of sanatorium treatment, and that it would therefore be appropriate to treat the majority of patients at home, provided an adequate service were established.
在印度,与大多数欠发达国家一样,疗养院床位严重短缺,使结核病问题更加严重。据估计,该国活动性肺结核病例数为 250 万,但仅有 23000 张结核病床位。在这种情况下,将大规模家庭化疗作为肺结核疗养院治疗的替代方法具有重要意义。本研究通过比较两种治疗方法 12 个月的结果表明,尽管疗养院治疗有明显的优势,如休息、充足的饮食、护理和监督服药,但家庭化疗的优点与疗养院治疗相当,因此,只要建立了适当的服务体系,就可以将大多数患者安排在家中进行治疗。