Suppr超能文献

桡骨远端骨巨细胞瘤的切除重建关节成形术

Resection-reconstruction arthroplasty for giant cell tumor of distal radius.

作者信息

Saikia Kabul C, Borgohain Munin, Bhuyan Sanjeev K, Goswami Sanjiv, Bora Anjan, Ahmed Firoz

机构信息

Department of Orthopedics, Gauhati Medical College, Guwahati, India.

出版信息

Indian J Orthop. 2010 Jul;44(3):327-32. doi: 10.4103/0019-5413.65134.

Abstract

BACKGROUND

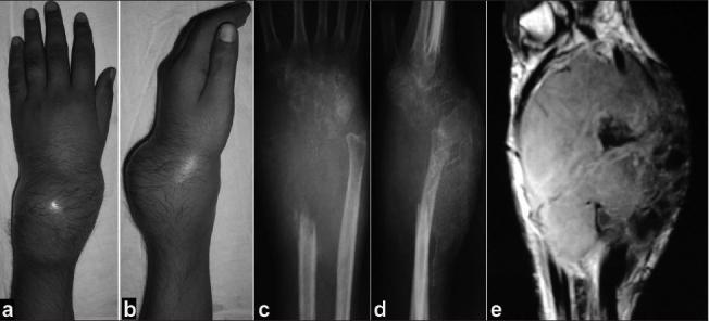
Giant cell tumor (GCT) of the distal radius poses problems for reconstruction after resection. Several reconstructive procedures like vascularized and non-vascularized fibular graft, osteo-articular allograft, ceramic prosthesis and megaprosthesis are in use for substitution of the defect in the distal radius following resection. Most authors advocate wrist arthrodesis following resection of distal radius and non vascularized fibular graft. Here we have analyzed the results of aggressive benign GCTs of the distal radius treated by resection and reconstruction arthroplasty using autogenous non-vascularized fibular graft.

MATERIALS AND METHODS

Twenty-four cases of giant cell tumor of the distal radius (mean age 32 years, mean follow-up 6.6 years) treated by en-bloc resection and reconstruction arthroplasty using autogenous non-vascularized ipsilateral fibular graft with a minimum followup of two years have been included in this retrospective study. Nineteen cases were of Campanacci grade III and five were of Grade II recurrence. The mean resected length of the radius was 9.5 (8-12) cm. Routine radiographs and clinical assessments regarding pain, instability, recurrence, hand grip strength and functional status were done at regular intervals and functional results were assessed using (musculoskeletal tumor society) MSTS-87 scoring.

RESULTS

Early radiological union at host-graft junction was achieved at mean 12.5 weeks, (range 12-14 weeks) and solid incorporation with callus formation was observed in mean 29 weeks (range 28-32 weeks) in all the cases. Satisfactory range of motion (mean 63%, range 52-78%) of the wrist was achieved in 18 cases. Grip strength compared to the contralateral hand was found to be 67% (range 58-74%). Functional results were excellent in six cases (25%), good in 14 cases (58.3%) and four (16.7%) cases had fair results. Soft tissue recurrence was seen in one patient. The most commonly encountered complication was fibulo-carpal subluxation (10 cases, 41.7%).

CONCLUSION

Resection of the distal radius and reconstruction arthroplasty with non-vascularized proximal fibular graft is useful in preserving the functional movement and stability of the wrist as well as achieving satisfactory range of movement and grip strength.

摘要

背景

桡骨远端骨巨细胞瘤切除术后的重建存在难题。目前有多种重建手术方式,如带血管和不带血管的腓骨移植、骨关节异体移植、陶瓷假体和大型假体,用于替代桡骨远端切除后的缺损。大多数作者主张在桡骨远端切除及非血管化腓骨移植后进行腕关节融合术。在此,我们分析了采用自体非血管化腓骨移植进行切除及重建关节成形术治疗桡骨远端侵袭性良性骨巨细胞瘤的结果。

材料与方法

本回顾性研究纳入了24例桡骨远端骨巨细胞瘤患者(平均年龄32岁,平均随访6.6年),均接受了整块切除及使用同侧自体非血管化腓骨移植的重建关节成形术,且随访时间最短为两年。其中19例为坎帕纳奇III级,5例为II级复发。桡骨平均切除长度为9.5(8 - 12)厘米。定期进行常规X线检查及关于疼痛、不稳定、复发、握力和功能状态的临床评估,并使用肌肉骨骼肿瘤学会(MSTS)- 87评分评估功能结果。

结果

所有病例中,宿主 - 移植物连接处平均在12.5周(范围12 - 14周)实现早期放射学愈合,平均在29周(范围28 - 32周)观察到有骨痂形成的牢固融合。18例患者腕关节获得了满意的活动范围(平均63%,范围52 - 78%)。与对侧手相比,握力为67%(范围58 - 74%)。6例(25%)患者功能结果优秀,14例(58.3%)良好,4例(16.7%)结果一般。1例患者出现软组织复发。最常见的并发症是腓腕半脱位(10例,41.7%)。

结论

桡骨远端切除及非血管化近端腓骨移植重建关节成形术有助于保留腕关节的功能活动和稳定性,同时获得满意的活动范围和握力。

https://cdn.ncbi.nlm.nih.gov/pmc/blobs/11af/2911935/3e6bdccef408/IJOrtho-44-327-g001.jpg

文献检索

告别复杂PubMed语法,用中文像聊天一样搜索,搜遍4000万医学文献。AI智能推荐,让科研检索更轻松。

立即免费搜索

文件翻译

保留排版,准确专业,支持PDF/Word/PPT等文件格式,支持 12+语言互译。

免费翻译文档

深度研究

AI帮你快速写综述,25分钟生成高质量综述,智能提取关键信息,辅助科研写作。

立即免费体验