Suppr超能文献

评估一种商用自动形变配准系统。

Assessment of a commercially available automatic deformable registration system.

机构信息

Department of Physics, University of Alberta, Edmonton, Alberta, Canada.

出版信息

J Appl Clin Med Phys. 2010 Jun 9;11(3):3175. doi: 10.1120/jacmp.v11i3.3175.

Abstract

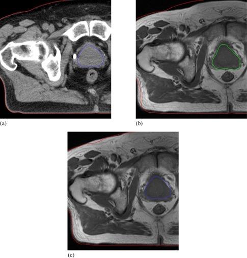
In recent years, a number of approaches have been applied to the problem of deformable registration validation. However, the challenge of assessing a commercial deformable registration system - in particular, an automatic registration system in which the deformable transformation is not readily accessible - has not been addressed. Using a collection of novel and established methods, we have developed a comprehensive, four-component protocol for the validation of automatic deformable image registration systems over a range of IGRT applications. The protocol, which was applied to the Reveal-MVS system, initially consists of a phantom study for determination of the system's general tendencies, while relative comparison of different registration settings is achieved through postregistration similarity measure evaluation. Synthetic transformations and contour-based metrics are used for absolute verification of the system's intra-modality and inter-modality capabilities, respectively. Results suggest that the commercial system is more apt to account for global deformations than local variations when performing deform-able image registration. Although the protocol was used to assess the capabilities of the Reveal-MVS system, it can readily be applied to other commercial systems. The protocol is by no means static or definitive, and can be further expanded to investigate other potential deformable registration applications.

摘要

近年来,已经有许多方法应用于可变形配准验证的问题。然而,评估商业可变形配准系统(特别是难以访问可变形变换的自动配准系统)的挑战尚未得到解决。我们使用一系列新颖和成熟的方法,为一系列 IGRT 应用开发了一种全面的、由四个组件组成的自动变形图像配准系统验证协议。该协议最初应用于 Reveal-MVS 系统,通过对不同注册设置的相对比较,通过后注册相似性度量评估来确定系统的一般趋势。通过基于合成变换和轮廓的度量,分别对系统的同模态和异模态能力进行绝对验证。结果表明,当执行可变形图像配准时,商业系统更倾向于全局变形而不是局部变化。虽然该协议用于评估 Reveal-MVS 系统的功能,但它可以很容易地应用于其他商业系统。该协议绝不是静态或确定的,并且可以进一步扩展以研究其他潜在的可变形配准应用。

https://cdn.ncbi.nlm.nih.gov/pmc/blobs/ada6/5720444/3cbb065d8d32/ACM2-11-101-g001.jpg

文献AI研究员

20分钟写一篇综述,助力文献阅读效率提升50倍。

立即体验

用中文搜PubMed

大模型驱动的PubMed中文搜索引擎

马上搜索

文档翻译

学术文献翻译模型,支持多种主流文档格式。

立即体验