Suppr超能文献

泌尿生殖系统磁共振弥散加权成像:在肿瘤学中的应用。

DW-MRI of the urogenital tract: applications in oncology.

机构信息

Institute of Diagnostic, Pediatric and Interventional Radiology, University Hospital of Bern, Inselspital, Freiburgstrasse 10, Bern, Switzerland.

出版信息

Cancer Imaging. 2010 Oct 4;10 Spec no A(1A):S112-23. doi: 10.1102/1470-7330.2010.9030.

Abstract

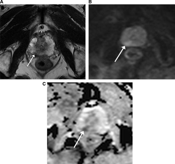
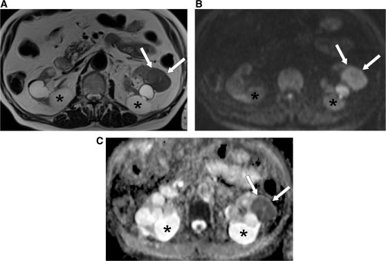
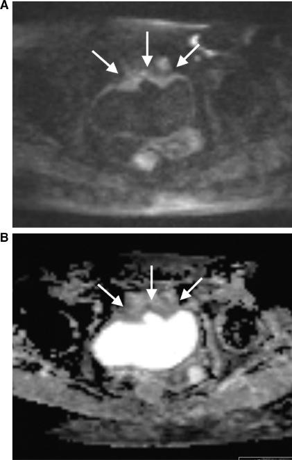
Diffusion-weighted magnetic resonance imaging (DW-MRI) appears to hold promise as a non-invasive imaging modality in the detection of early microstructural and functional changes of different organs. DW-MRI is an imaging technique with a high sensitivity for the detection of a large variety of diseases in the urogenital tract. In kidneys, DW-MRI has shown promise for the characterization of solid lesions. Also in focal T1 hyperintense lesions DW-MRI was able to differentiate hemorrhagic cysts from tumours according to the lower apparent diffusion coefficient (ADC) values reported for renal cell carcinomas. Promising results were also published for the detection of prostate cancer. DW-MRI applied in addition to conventional T2-weighted imaging has been found to improve tumour detection. On a 3 T magnetic resonance unit ADC values were reported to be lower for tumours compared with the normal-appearing peripheral zone. The combined approach of T2-weighted imaging and DW-MRI also showed promising results for the detection of recurrent tumour in patients after radiation therapy. DW-MRI may improve the performance of conventional T2-weighted and contrast-enhanced MRI in the preoperative work-up of bladder cancer, as it may help in distinguishing superficial from muscle invasive bladder cancer, which is critical for patient management. Another challenging application of DW-MRI in the urogenital tract is the detection of pelvic lymph node metastases. As the ADC is generally reduced in malignant tumours and increased under inflammatory conditions, reduced ADC values were expected in patients with lymph node metastases.

摘要

弥散加权磁共振成像(DW-MRI)似乎有望成为一种非侵入性的成像方式,用于检测不同器官的早期微观结构和功能变化。DW-MRI 是一种对泌尿生殖系统多种疾病具有高灵敏度的成像技术。在肾脏中,DW-MRI 已显示出对实体病变进行特征描述的潜力。在局灶性 T1 高信号病变中,DW-MRI 也能够根据报告的肾细胞癌较低的表观扩散系数(ADC)值,将出血性囊肿与肿瘤区分开来。在前列腺癌的检测中也取得了有前途的结果。DW-MRI 与常规 T2 加权成像联合应用已被发现可提高肿瘤检测的灵敏度。在 3T 磁共振仪上,与正常外观的外周带相比,肿瘤的 ADC 值较低。T2 加权成像和 DW-MRI 的联合应用也显示出在放射治疗后检测复发性肿瘤方面有很好的效果。DW-MRI 可能会改善常规 T2 加权和对比增强 MRI 在膀胱癌术前评估中的性能,因为它可能有助于区分表浅性和肌层浸润性膀胱癌,这对患者管理至关重要。DW-MRI 在泌尿生殖系统中的另一个具有挑战性的应用是检测盆腔淋巴结转移。由于 ADC 通常在恶性肿瘤中降低,而在炎症条件下升高,因此预计淋巴结转移患者的 ADC 值会降低。

https://cdn.ncbi.nlm.nih.gov/pmc/blobs/87d2/2967148/2b46dc379f5a/ci10903001.jpg

文献AI研究员

20分钟写一篇综述,助力文献阅读效率提升50倍。

立即体验

用中文搜PubMed

大模型驱动的PubMed中文搜索引擎

马上搜索

文档翻译

学术文献翻译模型,支持多种主流文档格式。

立即体验