• 文献检索
  • 文档翻译
  • 深度研究
  • 学术资讯
  • Suppr Zotero 插件Zotero 插件
  • 邀请有礼
  • 套餐&价格
  • 历史记录
应用&插件
Suppr Zotero 插件Zotero 插件浏览器插件Mac 客户端Windows 客户端微信小程序
定价
高级版会员购买积分包购买API积分包
服务
文献检索文档翻译深度研究API 文档MCP 服务
关于我们
关于 Suppr公司介绍联系我们用户协议隐私条款
关注我们

Suppr 超能文献

核心技术专利:CN118964589B侵权必究
粤ICP备2023148730 号-1Suppr @ 2026

文献检索

告别复杂PubMed语法,用中文像聊天一样搜索,搜遍4000万医学文献。AI智能推荐,让科研检索更轻松。

立即免费搜索

文件翻译

保留排版,准确专业,支持PDF/Word/PPT等文件格式,支持 12+语言互译。

免费翻译文档

深度研究

AI帮你快速写综述,25分钟生成高质量综述,智能提取关键信息,辅助科研写作。

立即免费体验

膀胱肉瘤样癌:4例临床病理研究及文献复习

Sarcomatoid carcinoma of the urinary bladder: a clinicopathological study of 4 cases and a review of the literature.

作者信息

Stamatiou Konstantinos, Galariotis Nikolaos, Michailidis Ioannis, Petrakopoulou Nerantzoula, Moustou Helen, Zizi-Sermpetzoglou Adamantia

机构信息

Department of Urology, Tzaneio General Hospital of Pireas, Pireas, Greece.

出版信息

Korean J Urol. 2010 Oct;51(10):724-8. doi: 10.4111/kju.2010.51.10.724. Epub 2010 Oct 21.

DOI:10.4111/kju.2010.51.10.724
PMID:21031095
原文链接:https://pmc.ncbi.nlm.nih.gov/articles/PMC2963788/
Abstract

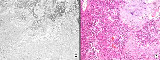
Sarcomatoid carcinoma (SC) of urinary bladder is a rare tumor exhibiting aggressive behavior. Here we are reviewing the pathologic and clinical characteristics of 4 consecutive cases of this rare tumor. Three out of 4 patients were males and one female. The median age was 72.8 years (range, 60-79 years). Patients underwent transurethral resection of bladder tumor and the diagnosis of bladder SC was established on the pathologic examination of the resected bladder tissue. Despite treatment all patients died within 22 months of the diagnosis of SC. SC of the bladder are true biphasic malignant neoplasm exhibiting morphologic and immunohistochemical evidence of epithelial and mesenchymal differentiation with the presence or absence of heterologous elements. The aggressive of the tumor precludes radical therapy whenever possible, since adjuvant therapy seems to have little effect.

摘要

膀胱肉瘤样癌(SC)是一种罕见的具有侵袭性的肿瘤。在此,我们回顾4例这种罕见肿瘤的连续病例的病理和临床特征。4例患者中3例为男性,1例为女性。中位年龄为72.8岁(范围60 - 79岁)。患者接受了经尿道膀胱肿瘤切除术,根据切除的膀胱组织病理检查确诊为膀胱SC。尽管接受了治疗,所有患者在SC诊断后的22个月内均死亡。膀胱SC是真正的双相恶性肿瘤,表现出上皮和间叶分化的形态学和免疫组化证据,有无异源性成分。肿瘤的侵袭性使得尽可能避免根治性治疗,因为辅助治疗似乎效果甚微。

https://cdn.ncbi.nlm.nih.gov/pmc/blobs/ec8c/2963788/77c120633766/kju-51-724-g004.jpg
https://cdn.ncbi.nlm.nih.gov/pmc/blobs/ec8c/2963788/6e41ba0d6b16/kju-51-724-g001.jpg
https://cdn.ncbi.nlm.nih.gov/pmc/blobs/ec8c/2963788/c75e86660d55/kju-51-724-g002.jpg
https://cdn.ncbi.nlm.nih.gov/pmc/blobs/ec8c/2963788/33d6fb1c964f/kju-51-724-g003.jpg
https://cdn.ncbi.nlm.nih.gov/pmc/blobs/ec8c/2963788/77c120633766/kju-51-724-g004.jpg
https://cdn.ncbi.nlm.nih.gov/pmc/blobs/ec8c/2963788/6e41ba0d6b16/kju-51-724-g001.jpg
https://cdn.ncbi.nlm.nih.gov/pmc/blobs/ec8c/2963788/c75e86660d55/kju-51-724-g002.jpg
https://cdn.ncbi.nlm.nih.gov/pmc/blobs/ec8c/2963788/33d6fb1c964f/kju-51-724-g003.jpg
https://cdn.ncbi.nlm.nih.gov/pmc/blobs/ec8c/2963788/77c120633766/kju-51-724-g004.jpg

相似文献

1
Sarcomatoid carcinoma of the urinary bladder: a clinicopathological study of 4 cases and a review of the literature.膀胱肉瘤样癌:4例临床病理研究及文献复习
Korean J Urol. 2010 Oct;51(10):724-8. doi: 10.4111/kju.2010.51.10.724. Epub 2010 Oct 21.
2
Sarcomatoid urothelial carcinoma of the bladder: a contemporary clinicopathologic analysis of 37 cases.膀胱肉瘤样尿路上皮癌:37例病例的当代临床病理分析
Can J Urol. 2015 Jun;22(3):7783-7.
3
Sarcomatoid Urothelial Carcinoma of the Bladder: Analysis of 28 Cases With Emphasis on Clinicopathologic Features and Markers of Epithelial-to-Mesenchymal Transition.膀胱肉瘤样尿路上皮癌:28例分析,重点关注临床病理特征及上皮-间质转化标志物
Arch Pathol Lab Med. 2016 Jun;140(6):543-51. doi: 10.5858/arpa.2015-0085-OA. Epub 2016 Mar 31.
4
Rhabdomyosarcoma of the urinary bladder in adults: predilection for alveolar morphology with anaplasia and significant morphologic overlap with small cell carcinoma.成人膀胱横纹肌肉瘤:倾向于具有间变的肺泡形态,且与小细胞癌存在显著形态学重叠。
Am J Surg Pathol. 2008 Jul;32(7):1022-8. doi: 10.1097/PAS.0b013e3181650e4a.
5
Sarcomatoid Urothelial Carcinoma of the Urinary Bladder With Chondrosarcomatous and Concurrent Divergent Squamous Cell Carcinoma Differentiation- A Rare Entity.膀胱肉瘤样尿路上皮癌伴软骨肉瘤样及同时存在的异源性鳞状细胞癌分化——一种罕见实体。
Cureus. 2022 Dec 29;14(12):e33107. doi: 10.7759/cureus.33107. eCollection 2022 Dec.
6
Biphasic and monophasic sarcomatoid carcinoma of the urinary bladder.膀胱双相和单相肉瘤样癌
Can J Urol. 2008 Jun;15(3):4106-8.
7
Sarcomatoid carcinoma with osseous differentiation in the bladder.膀胱中具有骨分化的肉瘤样癌。
Int Braz J Urol. 2006 Sep-Oct;32(5):563-5. doi: 10.1590/s1677-55382006000500010.
8
Sarcomatoid carcinoma of the urinary bladder: a clinicopathologic and immunohistochemical analysis of 14 patients.膀胱肉瘤样癌:14例患者的临床病理及免疫组化分析
Hum Pathol. 2000 Mar;31(3):332-40. doi: 10.1016/s0046-8177(00)80247-6.
9
Carcinosarcoma of the urinary bladder--an aggressive tumor with diverse histogenesis. A clinicopathologic study of 4 cases and review of the literature.膀胱癌肉瘤——一种具有多种组织发生学的侵袭性肿瘤。4例临床病理研究及文献复习
Arch Pathol Lab Med. 2000 Aug;124(8):1172-8. doi: 10.5858/2000-124-1172-COTUBA.
10
Carcinosarcoma and sarcomatoid carcinoma of the bladder: clinicopathological study of 41 cases.膀胱癌肉瘤及肉瘤样癌:41例临床病理研究
J Urol. 1998 May;159(5):1497-503. doi: 10.1097/00005392-199805000-00023.

引用本文的文献

1
Pictorial review of multiparametric MRI in bladder urothelial carcinoma with variant histology: pearls and pitfalls.多参数 MRI 对具有异型组织学的膀胱尿路上皮癌的影像学综述:要点和陷阱。
Abdom Radiol (NY). 2024 Aug;49(8):2797-2811. doi: 10.1007/s00261-024-04397-3. Epub 2024 Jun 7.
2
Sarcomatoid Urothelial Carcinoma Is Associated With Limited Response to Neoadjuvant Chemotherapy and Poor Oncologic Outcomes After Radical Cystectomy.肉瘤样尿路上皮癌与新辅助化疗的有限反应相关,并在根治性膀胱切除术后导致较差的肿瘤学结局。
Clin Genitourin Cancer. 2023 Aug;21(4):507.e1-507.e14. doi: 10.1016/j.clgc.2023.03.015. Epub 2023 Apr 4.
3

本文引用的文献

1
Sarcomatoid carcinoma of the urinary bladder treated with adjuvant radiotherapy: a case report.膀胱肉瘤样癌辅助放疗治疗:一例报告
Clin Med Case Rep. 2009 Jul 30;2:39-42. doi: 10.4137/ccrep.s3126. eCollection 2009.
2
[Case of sarcomatoid carcinoma of the urinary bladder].[膀胱肉瘤样癌病例]
Hinyokika Kiyo. 2008 Aug;54(8):561-3.
3
Histogenesis of sarcomatoid urothelial carcinoma of the urinary bladder: evidence for a common clonal origin with divergent differentiation.膀胱肉瘤样尿路上皮癌的组织发生:共同克隆起源与分化分歧的证据。
The effect of chemotherapy in sarcomatoid bladder cancer patients treated with radical cystectomy.
根治性膀胱切除术治疗的肉瘤样膀胱癌患者的化疗效果。
Can Urol Assoc J. 2023 Mar;17(3):E50-E56. doi: 10.5489/cuaj.8056.
4
First report on establishment and characterization of a carcinosarcoma tumour cell line model of the bladder.首例膀胱癌癌肉瘤肿瘤细胞系模型的建立与鉴定报告。
Sci Rep. 2021 Mar 16;11(1):6030. doi: 10.1038/s41598-021-85400-5.
5
A Case of Early Stage Bladder Carcinosarcoma in Late Recurrence of Urothelial Carcinoma after Transurethral Resection.经尿道切除术后尿路上皮癌晚期复发的早期膀胱癌肉瘤病例
Case Rep Urol. 2018 Jan 15;2018:1405108. doi: 10.1155/2018/1405108. eCollection 2018.
6
Characteristics and clinical significance of histological variants of bladder cancer.膀胱癌的组织学变异特征及临床意义。
Nat Rev Urol. 2017 Nov;14(11):651-668. doi: 10.1038/nrurol.2017.125. Epub 2017 Sep 12.
7
Extensive rhabdomyosarcomatous differentiation in recurrent low-grade urothelial carcinoma of the bladder after transurethral resection: a case report.经尿道切除术后复发性低度膀胱尿路上皮癌中广泛的横纹肌肉瘤样分化:一例报告
J Med Case Rep. 2015 Sep 10;9:199. doi: 10.1186/s13256-015-0684-7.
8
Sarcomatoid carcinoma of male urethra with bone and lung metastases presenting as urethral stricture.男性尿道肉瘤样癌伴骨和肺转移,表现为尿道狭窄。
Case Rep Urol. 2013;2013:931893. doi: 10.1155/2013/931893. Epub 2013 Oct 20.
9
Adult urinary bladder tumors with rhabdomyosarcomatous differentiation: clinical, pathological and immunohistochemical studies.成人伴横纹肌样分化的膀胱尿路上皮肿瘤:临床、病理和免疫组织化学研究。
Diagn Pathol. 2011 Jul 15;6:66. doi: 10.1186/1746-1596-6-66.
J Pathol. 2007 Mar;211(4):420-30. doi: 10.1002/path.2129.
4
Carcinosarcoma and sarcomatoid carcinoma of the bladder: clinicopathological study of 41 cases.膀胱癌肉瘤及肉瘤样癌:41例临床病理研究
J Urol. 1998 May;159(5):1497-503. doi: 10.1097/00005392-199805000-00023.
5
Carcinosarcomas: current perspectives and an historical review of nosological concepts.癌肉瘤:当前观点及疾病分类概念的历史回顾
Semin Diagn Pathol. 1993 May;10(2):118-27.
6
Carcinosarcoma of the urinary bladder.膀胱癌肉瘤
Cancer. 1972 Feb;29(2):294-304. doi: 10.1002/1097-0142(197202)29:2<294::aid-cncr2820290205>3.0.co;2-v.
7
Spindle cell lesions of the urinary bladder.膀胱梭形细胞病变
Histol Histopathol. 1990 Oct;5(4):505-12.