• 文献检索
  • 文档翻译
  • 深度研究
  • 学术资讯
  • Suppr Zotero 插件Zotero 插件
  • 邀请有礼
  • 套餐&价格
  • 历史记录
应用&插件
Suppr Zotero 插件Zotero 插件浏览器插件Mac 客户端Windows 客户端微信小程序
定价
高级版会员购买积分包购买API积分包
服务
文献检索文档翻译深度研究API 文档MCP 服务
关于我们
关于 Suppr公司介绍联系我们用户协议隐私条款
关注我们

Suppr 超能文献

核心技术专利:CN118964589B侵权必究
粤ICP备2023148730 号-1Suppr @ 2026

文献检索

告别复杂PubMed语法,用中文像聊天一样搜索,搜遍4000万医学文献。AI智能推荐,让科研检索更轻松。

立即免费搜索

文件翻译

保留排版,准确专业,支持PDF/Word/PPT等文件格式,支持 12+语言互译。

免费翻译文档

深度研究

AI帮你快速写综述,25分钟生成高质量综述,智能提取关键信息,辅助科研写作。

立即免费体验

儿童新型甲型 H1N1 流感病毒感染:胸部 X 线摄影与 CT 评估。

Novel influenza A (H1N1) virus infection in children: chest radiographic and CT evaluation.

机构信息

Department of Diagnostic Radiology, Dankook University College of Medicine, Dankook University Hospital, Chungnam, Korea.

出版信息

Korean J Radiol. 2010 Nov-Dec;11(6):656-64. doi: 10.3348/kjr.2010.11.6.656. Epub 2010 Oct 29.

DOI:10.3348/kjr.2010.11.6.656
PMID:21076592
原文链接:https://pmc.ncbi.nlm.nih.gov/articles/PMC2974228/
Abstract

OBJECTIVE

The purpose of this study was to evaluate the chest radiographic and CT findings of novel influenza A (H1N1) virus infection in children, the population that is more vulnerable to respiratory infection than adults.

MATERIALS AND METHODS

The study population comprised 410 children who were diagnosed with an H1N1 infection from August 24, 2009 to November 11, 2009 and underwent chest radiography at Dankook University Hospital in Korea. Six of these patients also underwent chest CT. The initial chest radiographs were classified as normal or abnormal. The abnormal chest radiographs and high resolution CT scans were assessed for the pattern and distribution of parenchymal lesions, and the presence of complications such as atelectasis, pleural effusion, and pneumomediastinum.

RESULTS

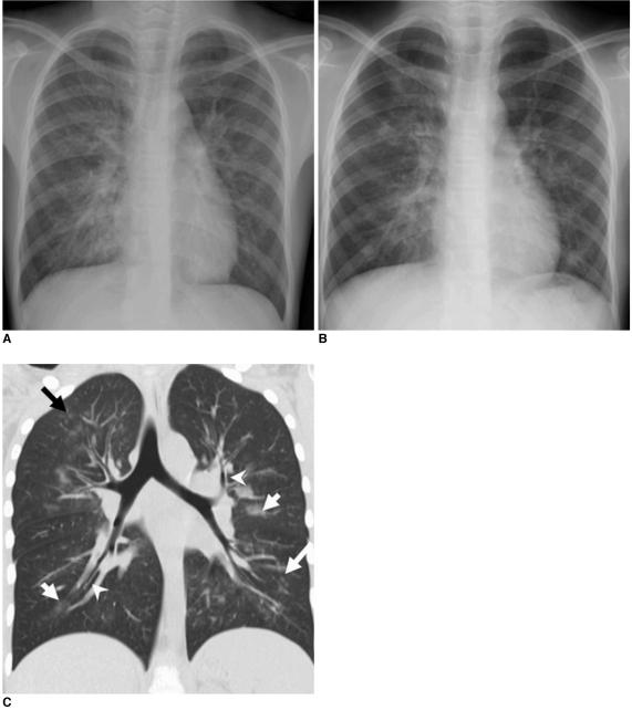
The initial chest radiograph was normal in 384 of 410 (94%) patients and abnormal in 26 of 410 (6%) patients. Parenchymal abnormalities seen on the initial chest radiographs included prominent peribronchial marking (25 of 26, 96%), consolidation (22 of 26, 85%), and ground-glass opacities without consolidation (2 of 26, 8%). The involvement was usually bilateral (19 of 26, 73%) with the lower lung zone predominance (22 of 26, 85%). Atelectasis was observed in 12 (46%) and pleural effusion in 11 (42%) patients. CT (n = 6) scans showed peribronchovascular interstitial thickening (n = 6), ground-glass opacities (n = 5), centrilobular nodules (n = 4), consolidation (n = 3), mediastinal lymph node enlargement (n = 5), pleural effusion (n = 3), and pneumomediastinum (n = 3).

CONCLUSION

Abnormal chest radiographs were uncommon in children with a swine-origin influenza A (H1N1) virus (S-OIV) infection. In children, H1N1 virus infection can be included in the differential diagnosis, when chest radiographs and CT scans show prominent peribronchial markings and ill-defined patchy consolidation with mediastinal lymph node enlargement, pleural effusion and pneumomediastinum.

摘要

目的

本研究旨在评估儿童新型甲型流感(H1N1)病毒感染的胸部 X 线和 CT 表现,儿童比成人更容易受到呼吸道感染。

材料和方法

研究人群包括 2009 年 8 月 24 日至 2009 年 11 月 11 日期间在韩国 Dankook 大学医院诊断为 H1N1 感染的 410 名儿童,其中 6 名患儿还接受了胸部 CT 检查。最初的胸部 X 射线被分为正常或异常。异常的胸部 X 射线和高分辨率 CT 扫描评估了实质病变的模式和分布,以及是否存在并发症,如肺不张、胸腔积液和气胸。

结果

410 名患儿中,384 名(94%)患儿的初始胸部 X 射线正常,26 名(6%)患儿异常。最初的胸部 X 射线显示的实质异常包括明显的支气管周围标记(26 例中的 25 例,96%)、实变(26 例中的 22 例,85%)和无实变的磨玻璃样混浊(26 例中的 2 例,8%)。病变通常是双侧的(26 例中的 19 例,73%),下肺区为主(26 例中的 22 例,85%)。12 例(46%)患儿出现肺不张,11 例(42%)患儿出现胸腔积液。CT(n=6)扫描显示支气管血管周围间质增厚(n=6)、磨玻璃样混浊(n=5)、小叶中心结节(n=4)、实变(n=3)、纵隔淋巴结肿大(n=5)、胸腔积液(n=3)和气胸(n=3)。

结论

儿童感染猪源甲型流感(H1N1)病毒(S-OIV)时,异常胸部 X 射线并不常见。当胸部 X 射线和 CT 扫描显示明显的支气管周围标记和边界不清的斑片状实变,伴纵隔淋巴结肿大、胸腔积液和气胸时,可将 H1N1 病毒感染纳入鉴别诊断。

https://cdn.ncbi.nlm.nih.gov/pmc/blobs/0b05/2974228/10c9f2c11d41/kjr-11-656-g004.jpg
https://cdn.ncbi.nlm.nih.gov/pmc/blobs/0b05/2974228/f7a5707fd409/kjr-11-656-g001.jpg
https://cdn.ncbi.nlm.nih.gov/pmc/blobs/0b05/2974228/bd664ad9aeff/kjr-11-656-g002.jpg
https://cdn.ncbi.nlm.nih.gov/pmc/blobs/0b05/2974228/c88a8fc4c590/kjr-11-656-g003.jpg
https://cdn.ncbi.nlm.nih.gov/pmc/blobs/0b05/2974228/10c9f2c11d41/kjr-11-656-g004.jpg
https://cdn.ncbi.nlm.nih.gov/pmc/blobs/0b05/2974228/f7a5707fd409/kjr-11-656-g001.jpg
https://cdn.ncbi.nlm.nih.gov/pmc/blobs/0b05/2974228/bd664ad9aeff/kjr-11-656-g002.jpg
https://cdn.ncbi.nlm.nih.gov/pmc/blobs/0b05/2974228/c88a8fc4c590/kjr-11-656-g003.jpg
https://cdn.ncbi.nlm.nih.gov/pmc/blobs/0b05/2974228/10c9f2c11d41/kjr-11-656-g004.jpg

相似文献

1
Novel influenza A (H1N1) virus infection in children: chest radiographic and CT evaluation.儿童新型甲型 H1N1 流感病毒感染:胸部 X 线摄影与 CT 评估。
Korean J Radiol. 2010 Nov-Dec;11(6):656-64. doi: 10.3348/kjr.2010.11.6.656. Epub 2010 Oct 29.
2
Swine-origin influenza a (H1N1) viral infection in children: initial chest radiographic findings.儿童感染猪源甲型 H1N1 流感病毒:初始胸部 X 线摄影表现。
Radiology. 2010 Mar;254(3):934-41. doi: 10.1148/radiol.09092083. Epub 2009 Dec 23.
3
Chest radiographic and CT findings in novel swine-origin influenza A (H1N1) virus (S-OIV) infection.新型猪源甲型 H1N1 流感病毒(S-OIV)感染的胸部 X 线和 CT 表现。
AJR Am J Roentgenol. 2009 Dec;193(6):1488-93. doi: 10.2214/AJR.09.3599.
4
Pneumonia in novel swine-origin influenza A (H1N1) virus infection: high-resolution CT findings.新型猪源甲型 H1N1 流感病毒感染所致肺炎:高分辨率 CT 表现。
Eur J Radiol. 2011 Nov;80(2):e146-52. doi: 10.1016/j.ejrad.2010.05.029. Epub 2010 Jun 20.
5
Chest Radiological Findings of Patients With Severe H1N1 Pneumonia Requiring Intensive Care.需要重症监护的重症甲型H1N1肺炎患者的胸部放射学表现
J Intensive Care Med. 2016 Jan;31(1):51-60. doi: 10.1177/0885066614538753. Epub 2014 Jun 12.
6
High-resolution computed tomography findings of swine-origin influenza A (H1N1) virus (S-OIV) infection: comparison with scrub typhus.甲型H1N1流感病毒(S-OIV)感染的高分辨率计算机断层扫描结果:与恙虫病的比较。
Acta Radiol. 2012 Jul;53(6):657-61. doi: 10.1258/ar.2012.120012. Epub 2012 May 27.
7
Swine-origin influenza A viral (H1N1) infection in children: chest computed tomography findings.儿童感染猪源甲型 H1N1 流感病毒:胸部计算机断层扫描结果。
Jpn J Radiol. 2011 Dec;29(10):707-11. doi: 10.1007/s11604-011-0619-1. Epub 2011 Oct 19.
8
Chest imaging findings in hospitalized patients with H1N1 influenza.甲型H1N1流感住院患者的胸部影像学表现
Acta Radiol. 2011 Apr 1;52(3):297-304. doi: 10.1258/ar.2010.100379. Epub 2011 Mar 3.
9
Novel influenza A (H1N1) infection: chest CT findings from 21 cases in Seoul, Korea.新型甲型 H1N1 流感感染:来自韩国首尔的 21 例病例的胸部 CT 表现。
Clin Radiol. 2011 Feb;66(2):118-24. doi: 10.1016/j.crad.2010.07.011. Epub 2010 Nov 27.
10
Re: novel influenza A (H1N1) virus infection in children: chest radiographic and CT evaluation.回复:儿童新型甲型H1N1流感病毒感染:胸部X线和CT评估
Korean J Radiol. 2011 Mar-Apr;12(2):266. doi: 10.3348/kjr.2011.12.2.266. Epub 2011 Mar 3.

引用本文的文献

1
Metagenomic next-generation sequencing for pleural effusions induced by viral pleurisy: A case report.宏基因组下一代测序在病毒性胸膜炎所致胸腔积液中的应用:一例报告
World J Clin Cases. 2023 Feb 6;11(4):844-851. doi: 10.12998/wjcc.v11.i4.844.
2
Clinical Characteristics and CT Findings in 148 Non-COVID-19 Influenza-Like Illness Cases: A Retrospective Control Study.148 例非 COVID-19 流感样病例的临床特征和 CT 表现:一项回顾性对照研究。
Front Public Health. 2021 Feb 9;9:616963. doi: 10.3389/fpubh.2021.616963. eCollection 2021.
3
COVID-19 or non-COVID viral pneumonia: How to differentiate based on the radiologic findings?

本文引用的文献

1
Radiological and clinical characteristics of a military outbreak of pandemic H1N1 2009 influenza virus infection.军事暴发的大流行性 H1N1 2009 流感病毒感染的放射学和临床特征。
Korean J Radiol. 2010 Jul-Aug;11(4):417-24. doi: 10.3348/kjr.2010.11.4.417. Epub 2010 Jun 21.
2
Swine-origin influenza a (H1N1) viral infection in children: initial chest radiographic findings.儿童感染猪源甲型 H1N1 流感病毒:初始胸部 X 线摄影表现。
Radiology. 2010 Mar;254(3):934-41. doi: 10.1148/radiol.09092083. Epub 2009 Dec 23.
3
Imaging findings in a fatal case of pandemic swine-origin influenza A (H1N1).
新型冠状病毒肺炎(COVID-19)还是非新型冠状病毒病毒性肺炎:如何根据影像学表现进行鉴别?
World J Radiol. 2020 Dec 28;12(12):289-301. doi: 10.4329/wjr.v12.i12.289.
4
Chest Computed Tomography Findings in COVID-19 and Influenza: A Narrative Review.新型冠状病毒肺炎与流感的胸部计算机断层扫描表现:一项叙述性综述。
Biomed Res Int. 2020 Jun 5;2020:6928368. doi: 10.1155/2020/6928368. eCollection 2020.
5
Practical guide for pediatric pulmonologists on imaging management of pediatric patients with COVID-19.儿科肺病专家 COVID-19 患儿影像学管理实用指南。
Pediatr Pulmonol. 2020 Sep;55(9):2213-2224. doi: 10.1002/ppul.24870. Epub 2020 Jul 1.
6
A paediatric influenza update 100 years after the Skyros island Spanish flu outbreak.斯凯罗斯岛西班牙流感爆发100年后的儿科流感最新情况。
Exp Ther Med. 2019 Jun;17(6):4327-4336. doi: 10.3892/etm.2019.7515. Epub 2019 Apr 22.
7
The value of radiographic findings for the progression of pandemic 2009 influenza A/H1N1 virus infection.2009年甲型H1N1大流行性流感病毒感染进展的影像学表现价值
BMC Infect Dis. 2013 Nov 4;13:516. doi: 10.1186/1471-2334-13-516.
8
Re: novel influenza A (H1N1) virus infection in children: chest radiographic and CT evaluation.回复:儿童新型甲型H1N1流感病毒感染:胸部X线和CT评估
Korean J Radiol. 2011 Mar-Apr;12(2):266. doi: 10.3348/kjr.2011.12.2.266. Epub 2011 Mar 3.
甲型 H1N1 流感大流行致死病例的影像学表现。
AJR Am J Roentgenol. 2009 Dec;193(6):1500-3. doi: 10.2214/AJR.09.3365.
4
Swine-origin influenza A (H1N1) viral infection: radiographic and CT findings.猪源甲型 H1N1 流感病毒感染:影像学和 CT 表现。
AJR Am J Roentgenol. 2009 Dec;193(6):1494-9. doi: 10.2214/AJR.09.3625.
5
Chest radiographic and CT findings in novel swine-origin influenza A (H1N1) virus (S-OIV) infection.新型猪源甲型 H1N1 流感病毒(S-OIV)感染的胸部 X 线和 CT 表现。
AJR Am J Roentgenol. 2009 Dec;193(6):1488-93. doi: 10.2214/AJR.09.3599.
6
Pulmonary complication of novel influenza A (H1N1) infection: imaging features in two patients.新型甲型 H1N1 流感感染的肺部并发症:两例患者的影像学特征。
Korean J Radiol. 2009 Nov-Dec;10(6):531-4. doi: 10.3348/kjr.2009.10.6.531.
7
Pneumonia and respiratory failure from swine-origin influenza A (H1N1) in Mexico.墨西哥出现的源自猪的甲型H1N1流感所致肺炎及呼吸衰竭
N Engl J Med. 2009 Aug 13;361(7):680-9. doi: 10.1056/NEJMoa0904252. Epub 2009 Jun 29.
8
Emergence and pandemic potential of swine-origin H1N1 influenza virus.猪源H1N1流感病毒的出现及大流行潜力
Nature. 2009 Jun 18;459(7249):931-9. doi: 10.1038/nature08157.
9
Update: swine influenza A (H1N1) infections--California and Texas, April 2009.更新:2009年4月加利福尼亚州和得克萨斯州甲型H1N1猪流感感染情况
MMWR Morb Mortal Wkly Rep. 2009 May 1;58(16):435-7.
10
Update: infections with a swine-origin influenza A (H1N1) virus--United States and other countries, April 28, 2009.最新消息:猪源甲型H1N1流感病毒感染情况——美国及其他国家,2009年4月28日
MMWR Morb Mortal Wkly Rep. 2009 May 1;58(16):431-3.