• 文献检索
  • 文档翻译
  • 深度研究
  • 学术资讯
  • Suppr Zotero 插件Zotero 插件
  • 邀请有礼
  • 套餐&价格
  • 历史记录
应用&插件
Suppr Zotero 插件Zotero 插件浏览器插件Mac 客户端Windows 客户端微信小程序
定价
高级版会员购买积分包购买API积分包
服务
文献检索文档翻译深度研究API 文档MCP 服务
关于我们
关于 Suppr公司介绍联系我们用户协议隐私条款
关注我们

Suppr 超能文献

核心技术专利:CN118964589B侵权必究
粤ICP备2023148730 号-1Suppr @ 2026

文献检索

告别复杂PubMed语法,用中文像聊天一样搜索,搜遍4000万医学文献。AI智能推荐,让科研检索更轻松。

立即免费搜索

文件翻译

保留排版,准确专业,支持PDF/Word/PPT等文件格式,支持 12+语言互译。

免费翻译文档

深度研究

AI帮你快速写综述,25分钟生成高质量综述,智能提取关键信息,辅助科研写作。

立即免费体验

上皮性N-钙黏蛋白和核β-连环蛋白在人肺早期发育过程中上调。

Epithelial N-cadherin and nuclear β-catenin are up-regulated during early development of human lung.

作者信息

Kaarteenaho Riitta, Lappi-Blanco Elisa, Lehtonen Siri

机构信息

Institute of Clinical Medicine, Department of Internal Medicine/Respiratory Research Unit, Centre of Excellence in Research, University of Oulu and Oulu University Hospital, Oulu, Finland.

出版信息

BMC Dev Biol. 2010 Nov 16;10:113. doi: 10.1186/1471-213X-10-113.

DOI:10.1186/1471-213X-10-113
PMID:21080917
原文链接:https://pmc.ncbi.nlm.nih.gov/articles/PMC2995473/
Abstract

BACKGROUND

The aim of this study was to analyze the cell-specific expression of E- and N-cadherin and β-catenin in developing human lung tissues from 12 to 40 weeks of gestation.

METHODS

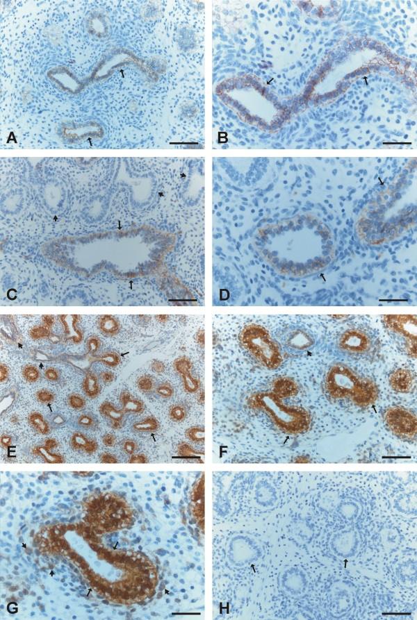
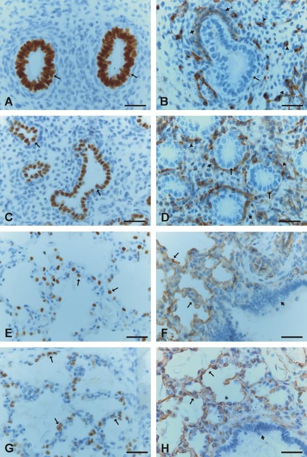
Forty-seven cases of developing human lung including pseudoglandular, canalicular, saccular and alveolar periods were analyzed by immunohistochemistry for E- and N-cadherin and β-catenin and twenty-one cases were also investigated by RT-PCR for E- and N-cadherin and β-catenin. For identifying the lung cells, the sections were also stained with antibodies against thyroid transcription factor-1 (TTF-1) and caveolin-1. Normal adult lung tissue was used as a control. E-cadherin was strongly expressed in epithelium of bronchi and large bronchioles from week 12 onwards and it was also positive in alveoli in pretype II cells and type II cells. N-cadherin was present in most of the epithelial cells of bronchi and the largest bronchioles during the pseudo-glandular and canalicular periods. N-cadherin was not detected in epithelium of developing alveoli. β-catenin was strongly membrane-bound and positively expressed in bronchial epithelium from week 12 to week 40; it showed nuclear positivity in both developing airway epithelium and in the cells underneath the epithelium during pseudo-glandular period and to a lesser degree also in the canalicular period. β-catenin was positive in pretype II cells as well as in type I and type II pneumocytes within alveoli. RT-PCR analyses revealed detectable amounts of RNAs of E- and N-cadherin and β-catenin in all cases studied. The amounts of RNAs were higher in early stages of gestation.

CONCLUSIONS

E-cadherin is widely expressed in bronchial and alveolar epithelial cells. N-cadherin exhibit extensive epithelial positivity in bronchial epithelial cells during early lung development. The presence of β-catenin was observed in several cell types with a distinct location in tissue and cells in various gestational stages, indicating that it possesses several roles during lung development. The expressions of protein and mRNAs of E- and N-cadherin and β-catenin were higher in early gestation compared to of the end. Moreover, the expressions of these factors were higher during the lung development than in the adult human lung.

摘要

背景

本研究旨在分析妊娠12至40周人发育肺组织中E-钙黏蛋白、N-钙黏蛋白和β-连环蛋白的细胞特异性表达。

方法

采用免疫组织化学方法对47例包括假腺期、小管期、囊状期和肺泡期的人发育肺组织进行E-钙黏蛋白、N-钙黏蛋白和β-连环蛋白分析,同时采用RT-PCR方法对21例进行E-钙黏蛋白、N-钙黏蛋白和β-连环蛋白检测。为鉴定肺细胞,切片还用抗甲状腺转录因子-1(TTF-1)和小窝蛋白-1抗体染色。正常成人肺组织作为对照。从妊娠12周起,E-钙黏蛋白在支气管和大支气管上皮中强烈表达,在II型前体细胞和II型细胞的肺泡中也呈阳性。在假腺期和小管期,N-钙黏蛋白存在于支气管和最大支气管的大多数上皮细胞中。在发育中的肺泡上皮中未检测到N-钙黏蛋白。β-连环蛋白在12周至40周的支气管上皮中强烈膜结合且呈阳性表达;在假腺期,其在发育中的气道上皮及其下方细胞中均显示核阳性,在小管期程度较轻。β-连环蛋白在II型前体细胞以及肺泡内的I型和II型肺细胞中呈阳性。RT-PCR分析显示,在所有研究病例中均检测到E-钙黏蛋白、N-钙黏蛋白和β-连环蛋白的RNA。RNA量在妊娠早期较高。

结论

E-钙黏蛋白在支气管和肺泡上皮细胞中广泛表达。在肺发育早期,N-钙黏蛋白在支气管上皮细胞中呈现广泛的上皮阳性。在不同妊娠阶段的组织和细胞中,多种细胞类型中均观察到β-连环蛋白的存在,且其定位不同,表明其在肺发育过程中具有多种作用。与妊娠末期相比,E-钙黏蛋白、N-钙黏蛋白和β-连环蛋白的蛋白质和mRNA表达在妊娠早期较高。此外,这些因子在肺发育过程中的表达高于成人肺组织。

https://cdn.ncbi.nlm.nih.gov/pmc/blobs/f0bf/2995473/9b7efaf63946/1471-213X-10-113-7.jpg
https://cdn.ncbi.nlm.nih.gov/pmc/blobs/f0bf/2995473/57d746cfb5cd/1471-213X-10-113-1.jpg
https://cdn.ncbi.nlm.nih.gov/pmc/blobs/f0bf/2995473/ba8bc8145ff0/1471-213X-10-113-2.jpg
https://cdn.ncbi.nlm.nih.gov/pmc/blobs/f0bf/2995473/81f30d0e3c37/1471-213X-10-113-3.jpg
https://cdn.ncbi.nlm.nih.gov/pmc/blobs/f0bf/2995473/6ad1dae9c1a6/1471-213X-10-113-4.jpg
https://cdn.ncbi.nlm.nih.gov/pmc/blobs/f0bf/2995473/085509f610c0/1471-213X-10-113-5.jpg
https://cdn.ncbi.nlm.nih.gov/pmc/blobs/f0bf/2995473/3541d345db29/1471-213X-10-113-6.jpg
https://cdn.ncbi.nlm.nih.gov/pmc/blobs/f0bf/2995473/9b7efaf63946/1471-213X-10-113-7.jpg
https://cdn.ncbi.nlm.nih.gov/pmc/blobs/f0bf/2995473/57d746cfb5cd/1471-213X-10-113-1.jpg
https://cdn.ncbi.nlm.nih.gov/pmc/blobs/f0bf/2995473/ba8bc8145ff0/1471-213X-10-113-2.jpg
https://cdn.ncbi.nlm.nih.gov/pmc/blobs/f0bf/2995473/81f30d0e3c37/1471-213X-10-113-3.jpg
https://cdn.ncbi.nlm.nih.gov/pmc/blobs/f0bf/2995473/6ad1dae9c1a6/1471-213X-10-113-4.jpg
https://cdn.ncbi.nlm.nih.gov/pmc/blobs/f0bf/2995473/085509f610c0/1471-213X-10-113-5.jpg
https://cdn.ncbi.nlm.nih.gov/pmc/blobs/f0bf/2995473/3541d345db29/1471-213X-10-113-6.jpg
https://cdn.ncbi.nlm.nih.gov/pmc/blobs/f0bf/2995473/9b7efaf63946/1471-213X-10-113-7.jpg

相似文献

1
Epithelial N-cadherin and nuclear β-catenin are up-regulated during early development of human lung.上皮性N-钙黏蛋白和核β-连环蛋白在人肺早期发育过程中上调。
BMC Dev Biol. 2010 Nov 16;10:113. doi: 10.1186/1471-213X-10-113.
2
Caveolin-1 controls airway epithelial barrier function. Implications for asthma.窖蛋白-1 控制气道上皮屏障功能。对哮喘的影响。
Am J Respir Cell Mol Biol. 2013 Oct;49(4):662-71. doi: 10.1165/rcmb.2013-0124OC.
3
Divergent expression of claudin -1, -3, -4, -5 and -7 in developing human lung.Claudin-1、-3、-4、-5 和 -7 在人肺发育过程中的差异表达。
Respir Res. 2010 May 17;11(1):59. doi: 10.1186/1465-9921-11-59.
4
Clinical significance of altered expression of β-catenin and E-cadherin in oral dysplasia and cancer: potential link with ALCAM expression.β-连环蛋白和 E-钙黏蛋白在口腔发育异常和癌症中的表达改变的临床意义:与 ALCAM 表达的潜在联系。
PLoS One. 2013 Jun 28;8(6):e67361. doi: 10.1371/journal.pone.0067361. Print 2013.
5
Investigation of N-cadherin/β-catenin expression in adrenocortical tumors.肾上腺皮质肿瘤中N-钙黏蛋白/β-连环蛋白表达的研究
Tumour Biol. 2016 Oct;37(10):13545-13555. doi: 10.1007/s13277-016-5257-x. Epub 2016 Jul 28.
6
Low endometrial beta-catenin and cadherins expression patterns are predictive for primary infertility and recurrent pregnancy loss.低子宫内膜β-连环蛋白和钙黏蛋白表达模式可预测原发性不孕和复发性妊娠丢失。
Gynecol Endocrinol. 2019 Aug;35(8):727-731. doi: 10.1080/09513590.2019.1579790. Epub 2019 Feb 26.
7
Cdc42-Interacting Protein 4 Represses E-Cadherin Expression by Promoting β-Catenin Translocation to the Nucleus in Murine Renal Tubular Epithelial Cells.Cdc42相互作用蛋白4通过促进β-连环蛋白向小鼠肾小管上皮细胞核内转位来抑制E-钙黏蛋白的表达。
Int J Mol Sci. 2015 Aug 14;16(8):19170-83. doi: 10.3390/ijms160819170.
8
E-cadherin is required for caveolin-1-mediated down-regulation of the inhibitor of apoptosis protein survivin via reduced beta-catenin-Tcf/Lef-dependent transcription.通过减少β-连环蛋白-Tcf/Lef依赖性转录,E-钙黏蛋白是小窝蛋白-1介导的凋亡抑制蛋白survivin下调所必需的。
Mol Cell Biol. 2007 Nov;27(21):7703-17. doi: 10.1128/MCB.01991-06. Epub 2007 Sep 4.
9
Cadherins in the retinal pigment epithelium (RPE) revisited: P-cadherin is the highly dominant cadherin expressed in human and mouse RPE in vivo.视网膜色素上皮(RPE)中的钙黏蛋白再探讨:P-钙黏蛋白是在人和小鼠RPE体内表达的高度占主导地位的钙黏蛋白。
PLoS One. 2018 Jan 16;13(1):e0191279. doi: 10.1371/journal.pone.0191279. eCollection 2018.
10
Impaired down-regulation of E-cadherin and beta-catenin protein expression in endometrial epithelial cells in the mid-secretory endometrium of infertile patients with endometriosis.在不孕的子宫内膜异位症患者的分泌中期子宫内膜中,子宫内膜上皮细胞中 E-钙黏蛋白和β-连环蛋白蛋白表达的下调受损。
J Clin Endocrinol Metab. 2010 Jul;95(7):3437-45. doi: 10.1210/jc.2009-2713. Epub 2010 Apr 21.

引用本文的文献

1
Aberrant Epithelial Cell Proliferation in Peripheral Airways in Bronchiectasis.支气管扩张症外周气道中异常的上皮细胞增殖
Front Cell Dev Biol. 2020 Feb 20;8:88. doi: 10.3389/fcell.2020.00088. eCollection 2020.
2
Mesothelial to mesenchyme transition as a major developmental and pathological player in trunk organs and their cavities.间皮向间充质转化作为躯干器官及其腔隙发育和病理过程中的主要参与者。
Commun Biol. 2018 Oct 16;1:170. doi: 10.1038/s42003-018-0180-x. eCollection 2018.
3
Multi-walled carbon nanotubes directly induce epithelial-mesenchymal transition in human bronchial epithelial cells via the TGF-β-mediated Akt/GSK-3β/SNAIL-1 signalling pathway.

本文引用的文献

1
Divergent expression of claudin -1, -3, -4, -5 and -7 in developing human lung.Claudin-1、-3、-4、-5 和 -7 在人肺发育过程中的差异表达。
Respir Res. 2010 May 17;11(1):59. doi: 10.1186/1465-9921-11-59.
2
Identification of methods for use of formalin-fixed, paraffin-embedded tissue samples in RNA expression profiling.鉴定福尔马林固定石蜡包埋组织样本在 RNA 表达谱分析中的应用方法。
Genomics. 2009 Nov;94(5):341-8. doi: 10.1016/j.ygeno.2009.07.007. Epub 2009 Aug 4.
3
WNT signaling in lung disease: a failure or a regeneration signal?
多壁碳纳米管通过TGF-β介导的Akt/GSK-3β/SNAIL-1信号通路直接诱导人支气管上皮细胞发生上皮-间质转化。
Part Fibre Toxicol. 2016 Jun 1;13(1):27. doi: 10.1186/s12989-016-0138-4.
4
Basal cells of the human airways acquire mesenchymal traits in idiopathic pulmonary fibrosis and in culture.在特发性肺纤维化和培养中,人类气道的基底细胞获得间充质特征。
Lab Invest. 2015 Dec;95(12):1418-28. doi: 10.1038/labinvest.2015.114. Epub 2015 Sep 21.
5
Prognostic and diagnostic value of epithelial to mesenchymal transition markers in pulmonary neuroendocrine tumors.上皮-间质转化标志物在肺神经内分泌肿瘤中的预后及诊断价值
BMC Cancer. 2014 Nov 20;14:855. doi: 10.1186/1471-2407-14-855.
6
The p66Shc adapter protein regulates the morphogenesis and epithelial maturation of fetal mouse lungs.p66Shc 衔接蛋白调节胎鼠肺的形态发生和上皮成熟。
Am J Physiol Lung Cell Mol Physiol. 2014 Feb 15;306(4):L316-25. doi: 10.1152/ajplung.00062.2013. Epub 2013 Dec 27.
7
Gene network analysis in a pediatric cohort identifies novel lung function genes.基因网络分析在儿科队列中鉴定出新型肺功能基因。
PLoS One. 2013 Sep 2;8(9):e72899. doi: 10.1371/journal.pone.0072899. eCollection 2013.
8
Progressive changes in inflammatory and matrix adherence of bronchial epithelial cells with persistent respiratory syncytial virus (RSV) infection (progressive changes in RSV infection).持续呼吸道合胞病毒(RSV)感染时支气管上皮细胞炎症和基质黏附的进行性变化(RSV 感染的进行性变化)。
Int J Mol Sci. 2013 Sep 3;14(9):18024-40. doi: 10.3390/ijms140918024.
9
Myofibroblast expression in airways and alveoli is affected by smoking and COPD.肌成纤维细胞在气道和肺泡中的表达受吸烟和 COPD 的影响。
Respir Res. 2013 Aug 11;14(1):84. doi: 10.1186/1465-9921-14-84.
WNT 信号在肺部疾病中的作用:是失败还是再生信号?
Am J Respir Cell Mol Biol. 2010 Jan;42(1):21-31. doi: 10.1165/rcmb.2008-0485TR. Epub 2009 Mar 27.
4
Wnt signaling in lung organogenesis.Wnt 信号通路在肺发生中的作用。
Organogenesis. 2008 Apr;4(2):100-8. doi: 10.4161/org.4.2.5856.
5
Epithelial-to-mesenchymal transition in the development and progression of adenocarcinoma and squamous cell carcinoma of the lung.上皮-间质转化在肺腺癌和肺鳞状细胞癌发生发展中的作用
Mod Pathol. 2009 May;22(5):668-78. doi: 10.1038/modpathol.2009.19. Epub 2009 Mar 6.
6
Molecular evolution of the cadherin superfamily.钙黏蛋白超家族的分子进化
Int J Biochem Cell Biol. 2009 Feb;41(2):349-69. doi: 10.1016/j.biocel.2008.09.027. Epub 2008 Oct 4.
7
Molecular and pathological signatures of epithelial-mesenchymal transitions at the cancer invasion front.癌症侵袭前沿上皮-间质转化的分子和病理特征
Histochem Cell Biol. 2008 Sep;130(3):481-94. doi: 10.1007/s00418-008-0464-1. Epub 2008 Jul 22.
8
RNA extraction from ten year old formalin-fixed paraffin-embedded breast cancer samples: a comparison of column purification and magnetic bead-based technologies.从十年前福尔马林固定石蜡包埋的乳腺癌样本中提取RNA:柱纯化技术与磁珠技术的比较
BMC Mol Biol. 2007 Dec 21;8:118. doi: 10.1186/1471-2199-8-118.
9
Differential expression of adhesion molecules in lung tumours.肺肿瘤中黏附分子的差异表达。
Histopathology. 2007 Jan;50(2):282-4. doi: 10.1111/j.1365-2559.2007.02574.x.
10
Extracellular matrix proteins and myofibroblasts in granulomas of sarcoidosis, atypical mycobacteriosis, and tuberculosis of the lung.结节病、非典型分枝杆菌病和肺结核肉芽肿中的细胞外基质蛋白和成肌纤维细胞。
Hum Pathol. 2007 Jan;38(1):147-53. doi: 10.1016/j.humpath.2006.07.001. Epub 2006 Sep 25.