Suppr超能文献

源于结肠孤立性幼年息肉的印戒细胞癌。

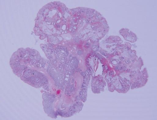
Signet ring cell carcinoma arising from a solitary juvenile polyp in the colon.

作者信息

Kim Hae Jung, Kang Min Kwan, Lee Hee Suk, Kim Do Sun, Lee Du Han

机构信息

Daehang Clinic, Seoul, Korea.

出版信息

J Korean Soc Coloproctol. 2010 Oct;26(5):365-7. doi: 10.3393/jksc.2010.26.5.365. Epub 2010 Oct 31.

Abstract

Juvenile polyps are relatively common polyps that affect predominantly young patients and may occur in isolated, multiple, and/or familial forms. They have been considered to be benign lesions without neoplastic potential, but for patients with multiple juvenile polyposis, the cumulative malignant risk is greater than fifty percents. In patients with a solitary polyp, the risks are minimal, and only a few cases of malignant change from a solitary juvenile polyp have been reported. We describe the case of a twenty one year old female with one solitary juvenile polyp, which contained a signet ring cell carcinoma in the mucosal layer.

摘要

幼年性息肉是相对常见的息肉,主要影响年轻患者,可呈孤立性、多发性和/或家族性形式出现。它们曾被认为是无肿瘤潜能的良性病变,但对于患有多发性幼年性息肉病的患者,累积恶性风险大于50%。对于患有孤立性息肉的患者,风险极小,仅有少数孤立性幼年性息肉发生恶变的病例报道。我们描述了一名21岁女性患有一个孤立性幼年性息肉的病例,该息肉的黏膜层含有印戒细胞癌。

https://cdn.ncbi.nlm.nih.gov/pmc/blobs/57a7/2998024/933c67417482/jksc-26-365-g001.jpg

文献检索

告别复杂PubMed语法,用中文像聊天一样搜索,搜遍4000万医学文献。AI智能推荐,让科研检索更轻松。

立即免费搜索

文件翻译

保留排版,准确专业,支持PDF/Word/PPT等文件格式,支持 12+语言互译。

免费翻译文档

深度研究

AI帮你快速写综述,25分钟生成高质量综述,智能提取关键信息,辅助科研写作。

立即免费体验