Suppr超能文献

The efficacy of four-slice helical CT in evaluating pancreatic trauma: a single institution experience.

作者信息

Lee Wei-Jing, Foo Ning-Ping, Lin Hung-Jung, Huang Yen-Chang, Chen Kuo-Tai

机构信息

Emergency Department, Chi-Mei Medical Center, 901 Chung-Hwa Road, Yung Kang, Tainan 710, Taiwan ROC.

出版信息

J Trauma Manag Outcomes. 2011 Jan 7;5(1):1. doi: 10.1186/1752-2897-5-1.

Abstract

STUDY OBJECTIVE

To assess the efficacy of computed tomography (CT) in evaluating patients with pancreatic trauma.

METHODS

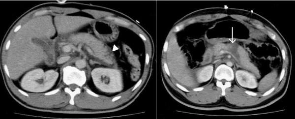
We undertook a retrospective review of all blunt trauma patients admitted to the Chi-Mei Medical Center from January 2004 to June 2006. Every patients underwent abdominal CT scan in emergency department and the CT scans were obtained with a four-slice helical CT. Diagnosis of a pancreatic injury in these patients was by surgical observation or by CT findings. Radiographic pancreatic injuries were classified as deep or superficial lesions. Deep lesions were defined as the hematomas or lacerations >50% thickness of the pancreas. Superficial lesions were described as the hematomas or lacerations <50% thickness of the pancreas; pancreatic edema; and focal fluid accumulation around the pancreas

RESULTS

Nineteen patients with pancreatic trauma, fourteen males and five females, average age 40.6 ± 21.4 years, were included. Most patients (73.7%) with pancreatic trauma had associated organ injuries. CT was performed in all patients and laparotomy in 14 patients. CT was 78.9% sensitive in detecting pancreatic trauma. All deep pancreatic lesions revealed on CT required surgical treatment, and complication was discovered in two patients undergoing delayed surgery. Superficial lesions were managed conservatively.

CONCLUSION

Four-slice helical CT can detect most pancreatic trauma and provide practical therapeutic guidance. Delayed operation might result in complications and is associated with prolonged hospital stays.

摘要
https://cdn.ncbi.nlm.nih.gov/pmc/blobs/c3b9/3022694/bd053ade06ed/1752-2897-5-1-1.jpg

文献AI研究员

20分钟写一篇综述,助力文献阅读效率提升50倍。

立即体验

用中文搜PubMed

大模型驱动的PubMed中文搜索引擎

马上搜索

文档翻译

学术文献翻译模型,支持多种主流文档格式。

立即体验