Suppr超能文献

CDX2 和肝细胞抗原在胆囊良恶性病变中的表达及其与组织病理学类型和临床结局的关系。

Expression of CDX2 and hepatocyte antigen in benign and malignant lesions of gallbladder and its correlation with histopathologic type and clinical outcome.

机构信息

The Second Xiangya Hospital of Central South University, Changsha, Hunan, China.

出版信息

Pathol Oncol Res. 2011 Sep;17(3):561-8. doi: 10.1007/s12253-010-9346-7. Epub 2011 Jan 8.

Abstract

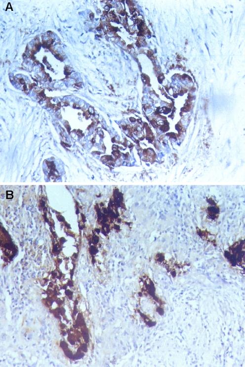
Recent studies have shown that both CDX2 and Hepatocyte antigen (Hep) are detected in different types of cancer and associated with clinical prognosis. However, fever studies have examined gallbladder cancer specimens, and little is known about the clinicopathological significance of both CDX2 and Hep expression in gallbladder adenocarcinomas. In present study, we examined the expression frequencies of CDX2 and Hepatocyte antigen (Hep), and explored their clinicopathologic significances in gallbladder adenocarcinoma. Immunohistochemistry was used to detect and compare the frequencies of CDX2 and Hep expression in 108 samples of gallbladder adenocarcinoma, 46 peri-tumor tissues and 35 chronic cholecystitis. The expression frequencies for CDX2 and Hep were 49/108 (45.4%) and 45/108 (41.7%) in gallbladder carcinoma; 13/46 (28.3%) and 11/46 (23.9) in peri-tumor tissues; 5/35 (14.3%) and 2/35 (5.7%) in chronic cholecystitis. The positive staining of CDX2 or Hep in gallbladder adenocarcinoma was significantly higher than that in peritumoral tissues (both, P < 0.05), and chronic cholecystits (both, P < 0.01). The expression of CDX2 or Hep was negatively correlated to grade of differentiation, tumor size and lymph node metastasis (P < 0.01 or P < 0.05). Elevated expression frequency of CDX2 or Hep was associated with increased overall survival (P = 0.003 or P = 0.002). Multivariate Cox regression analysis showed that CDX2 (P = 0.014) or Hep (P = 0.026) expression was an independent prognostic predictor in gallbladder adenocarcinoma. CDX2 and Hep might function as important biological markers in the development and prognosis of gallbladder adenocarcinoma.

摘要

最近的研究表明,CDX2 和肝细胞抗原(Hep)在不同类型的癌症中均有检测到,并与临床预后相关。然而,针对胆囊癌标本的研究较少,对于 CDX2 和 Hep 在胆囊腺癌中的表达的临床病理意义知之甚少。在本研究中,我们检测了 CDX2 和 Hep 的表达频率,并探讨了它们在胆囊腺癌中的临床病理意义。免疫组织化学法用于检测和比较 108 例胆囊腺癌、46 例癌旁组织和 35 例慢性胆囊炎中 CDX2 和 Hep 表达的频率。胆囊腺癌中 CDX2 和 Hep 的表达频率分别为 49/108(45.4%)和 45/108(41.7%);癌旁组织中分别为 13/46(28.3%)和 11/46(23.9%);慢性胆囊炎中分别为 5/35(14.3%)和 2/35(5.7%)。胆囊腺癌中 CDX2 或 Hep 的阳性染色明显高于癌旁组织(均 P<0.05)和慢性胆囊炎(均 P<0.01)。CDX2 或 Hep 的表达与分化程度、肿瘤大小和淋巴结转移呈负相关(均 P<0.01 或 P<0.05)。CDX2 或 Hep 表达频率升高与总生存时间延长相关(P=0.003 或 P=0.002)。多因素 Cox 回归分析显示,CDX2(P=0.014)或 Hep(P=0.026)表达是胆囊腺癌的独立预后预测因子。CDX2 和 Hep 可能是胆囊腺癌发生和预后的重要生物学标志物。

https://cdn.ncbi.nlm.nih.gov/pmc/blobs/2edb/3158976/e2d105d0c038/12253_2010_9346_Fig1_HTML.jpg

文献AI研究员

20分钟写一篇综述,助力文献阅读效率提升50倍。

立即体验

用中文搜PubMed

大模型驱动的PubMed中文搜索引擎

马上搜索

文档翻译

学术文献翻译模型,支持多种主流文档格式。

立即体验