Suppr超能文献

丙硫氧嘧啶致急性肝衰竭:肝移植的作用。

Propylthiouracil-induced acute liver failure: role of liver transplantation.

机构信息

Department of Medicine, University of Miami Leonard M. Miller School of Medicine, 185 SW 7th Street, Unit 1510, Miami, FL 33130, USA.

出版信息

Int J Endocrinol. 2010;2010:910636. doi: 10.1155/2010/910636. Epub 2010 Dec 23.

Abstract

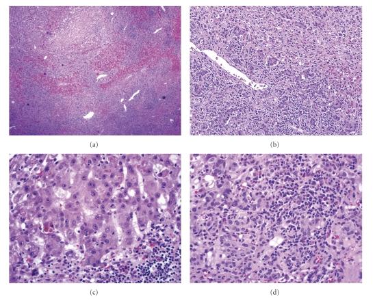
Propylthiouracil- (PTU-) induced hepatotoxicity is rare but potentially lethal with a spectrum of liver injury ranging from asymptomatic elevation of transaminases to fulminant hepatic failure and death. We describe two cases of acute hepatic failure due to PTU that required liver transplantation. Differences in the clinical presentation, histological characteristics, and posttransplant management are described as well as alternative therapeutic options. Frequent monitoring for PTU-induced hepatic dysfunction is strongly advised because timely discontinuation of this drug and implementation of noninvasive therapeutic interventions may prevent progression to liver failure or even death.

摘要

丙硫氧嘧啶(PTU)引起的肝毒性罕见但可能致命,其肝损伤谱从无症状的转氨酶升高到暴发性肝衰竭和死亡不等。我们描述了两例因 PTU 引起的急性肝衰竭病例,这些病例需要进行肝移植。还描述了它们在临床表现、组织学特征和移植后管理方面的差异以及替代治疗选择。强烈建议频繁监测 PTU 引起的肝功能障碍,因为及时停用该药物并实施非侵入性治疗干预措施可能防止进展为肝衰竭甚至死亡。

https://cdn.ncbi.nlm.nih.gov/pmc/blobs/f197/3014703/69da3260de92/IJE2010-910636.001.jpg

文献AI研究员

20分钟写一篇综述,助力文献阅读效率提升50倍。

立即体验

用中文搜PubMed

大模型驱动的PubMed中文搜索引擎

马上搜索

文档翻译

学术文献翻译模型,支持多种主流文档格式。

立即体验