Senadhi Viplove, Arora Deepika, Arora Manish, Dutta Sudhir
Johns Hopkins University/Sinai Hospital Program in Internal Medicine, Sinai Hospital, Baltimore, MD, USA.
J Med Case Rep. 2011 Jan 20;5:26. doi: 10.1186/1752-1947-5-26.
Hemobilia is a rare cause of upper gastrointestinal bleeding. More than 50% of hemobilia cases are related to iatrogenic trauma from hepatobiliary procedures, and needle biopsy of the liver represents the most common cause. A minority of hemobilia cases are due to hepatobiliary disorders such as cholangitis, hepatobiliary cancers, choledocholithiasis, and vascular abnormalities in the liver. The classic presentation of hemobilia is the triad of right upper quadrant (biliary) pain, obstructive jaundice, and upper gastrointestinal bleeding. We report a rare case of hemobilia caused by a spontaneous hepatic cyst rupture, where our patient presented without the classical symptoms, in the absence of therapeutic or pathological coagulopathy, and in the absence of spontaneous or iatrogenic trauma.
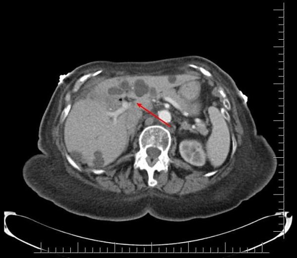
A 91-year-old African-American woman was referred to our out-patient gastroenterology clinic for evaluation of mild epigastric pain and intermittent melena. An abdominal computed tomography scan was remarkable for multiple hepatic cysts. Esophagogastroduodenoscopy revealed multiple blood clots at the ampulla of Vater. Endoscopic retrograde cholangiopancreatography showed a single 18 mm-sized filling defect in the common hepatic duct wall at the junction of the right and left hepatic duct, adjacent to one of the hepatic cysts. The ruptured hepatic cyst communicated to the bile ducts and was the cause of hemobilia with an atypical clinical presentation.
Hemobilia is an infrequent cause of upper gastrointestinal bleeding and rarely occurs due to hepatic cyst rupture. To the best of our knowledge, this is only the second case report in the literature that describes hemobilia due to hepatic cyst rupture. However, it is the first case in the literature of hemobilia due to hepatic cyst rupture in the absence of iatrogenic or spontaneous trauma, and in the absence of a spontaneous or pathological coagulopathy.
胆道出血是上消化道出血的罕见原因。超过50%的胆道出血病例与肝胆手术的医源性创伤有关,而肝脏穿刺活检是最常见的原因。少数胆道出血病例是由胆管炎、肝胆癌、胆总管结石和肝脏血管异常等肝胆疾病引起的。胆道出血的典型表现是右上腹(胆道)疼痛、梗阻性黄疸和上消化道出血三联征。我们报告一例罕见的因自发性肝囊肿破裂导致的胆道出血病例,该患者没有典型症状,不存在治疗性或病理性凝血功能障碍,也没有自发性或医源性创伤。
一名91岁的非裔美国女性因轻度上腹部疼痛和间歇性黑便被转诊至我们的门诊胃肠病诊所。腹部计算机断层扫描显示多个肝囊肿。食管胃十二指肠镜检查发现 Vater壶腹有多个血凝块。内镜逆行胰胆管造影显示在左右肝管交界处的肝总管壁上有一个18毫米大小的单一充盈缺损,与其中一个肝囊肿相邻。破裂的肝囊肿与胆管相通,是导致具有非典型临床表现的胆道出血的原因。
胆道出血是上消化道出血的罕见原因,很少由肝囊肿破裂引起。据我们所知,这是文献中第二篇描述因肝囊肿破裂导致胆道出血的病例报告。然而,这是文献中第一例因肝囊肿破裂导致的胆道出血病例,且不存在医源性或自发性创伤,也不存在自发性或病理性凝血功能障碍。