• 文献检索
  • 文档翻译
  • 深度研究
  • 学术资讯
  • Suppr Zotero 插件Zotero 插件
  • 邀请有礼
  • 套餐&价格
  • 历史记录
应用&插件
Suppr Zotero 插件Zotero 插件浏览器插件Mac 客户端Windows 客户端微信小程序
定价
高级版会员购买积分包购买API积分包
服务
文献检索文档翻译深度研究API 文档MCP 服务
关于我们
关于 Suppr公司介绍联系我们用户协议隐私条款
关注我们

Suppr 超能文献

核心技术专利:CN118964589B侵权必究
粤ICP备2023148730 号-1Suppr @ 2026

文献检索

告别复杂PubMed语法,用中文像聊天一样搜索,搜遍4000万医学文献。AI智能推荐,让科研检索更轻松。

立即免费搜索

文件翻译

保留排版,准确专业,支持PDF/Word/PPT等文件格式,支持 12+语言互译。

免费翻译文档

深度研究

AI帮你快速写综述,25分钟生成高质量综述,智能提取关键信息,辅助科研写作。

立即免费体验

腹腔镜取出患者膀胱刺激症状相关的断裂缝针

Laparoscopic removal of a broken sewing needle in a patient with irritative bladder symptoms.

机构信息

Department of Urology, Busan St. Mary's Medical Center, Busan, Korea.

出版信息

Int Neurourol J. 2010 Dec;14(4):272-4. doi: 10.5213/inj.2010.14.4.272. Epub 2010 Dec 31.

DOI:10.5213/inj.2010.14.4.272
PMID:21253341
原文链接:https://pmc.ncbi.nlm.nih.gov/articles/PMC3021821/
Abstract

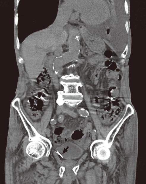
A foreign body near the bladder is rare. Although foreign bodies in the bladder can be easily found and removed by endoscopic transurethral removal, extravesical foreign bodies may require the use of an open or laparoscopic procedure. Here, we report a case of a patient complaining of frequency and urgency in whom an extravesical sewing needle was successfully removed by a laparoscopic approach. A 4.5 cm rusty sewing needle was found between the bladder and the left external iliac vessels and was removed through a 5 mm trocar port by use of endo forceps with no complications.

摘要

膀胱附近的异物较为罕见。虽然经尿道内镜取出术可以很容易地发现和取出膀胱内的异物,但对于膀胱外的异物可能需要采用开放或腹腔镜手术。在此,我们报告一例患者因尿频和尿急就诊,成功地采用腹腔镜方法取出了膀胱外的缝针。在膀胱和左侧髂外血管之间发现了一根 4.5 厘米长的生锈的缝针,通过使用内镜抓钳从 5 毫米的套管中取出,没有出现并发症。

https://cdn.ncbi.nlm.nih.gov/pmc/blobs/ae5e/3021821/0471c85dcf2d/inj-14-272-g004.jpg
https://cdn.ncbi.nlm.nih.gov/pmc/blobs/ae5e/3021821/03711465bc4b/inj-14-272-g001.jpg
https://cdn.ncbi.nlm.nih.gov/pmc/blobs/ae5e/3021821/70537a42bf0e/inj-14-272-g002.jpg
https://cdn.ncbi.nlm.nih.gov/pmc/blobs/ae5e/3021821/ae147688c2f5/inj-14-272-g003.jpg
https://cdn.ncbi.nlm.nih.gov/pmc/blobs/ae5e/3021821/0471c85dcf2d/inj-14-272-g004.jpg
https://cdn.ncbi.nlm.nih.gov/pmc/blobs/ae5e/3021821/03711465bc4b/inj-14-272-g001.jpg
https://cdn.ncbi.nlm.nih.gov/pmc/blobs/ae5e/3021821/70537a42bf0e/inj-14-272-g002.jpg
https://cdn.ncbi.nlm.nih.gov/pmc/blobs/ae5e/3021821/ae147688c2f5/inj-14-272-g003.jpg
https://cdn.ncbi.nlm.nih.gov/pmc/blobs/ae5e/3021821/0471c85dcf2d/inj-14-272-g004.jpg

相似文献

1
Laparoscopic removal of a broken sewing needle in a patient with irritative bladder symptoms.腹腔镜取出患者膀胱刺激症状相关的断裂缝针
Int Neurourol J. 2010 Dec;14(4):272-4. doi: 10.5213/inj.2010.14.4.272. Epub 2010 Dec 31.
2
Laparoscopic retrieval of a sewing needle from the liver: A case report.腹腔镜下从肝脏取出缝针:一例报告。
Int J Surg Case Rep. 2018;51:376-378. doi: 10.1016/j.ijscr.2018.09.012. Epub 2018 Sep 15.
3
Laparoscopic extraction of a urethral self-inflicted needle from pelvis in a boy: a case report.一名男孩盆腔内尿道自伤针的腹腔镜取出术:病例报告
Front Pediatr. 2023 Jun 23;11:1207247. doi: 10.3389/fped.2023.1207247. eCollection 2023.
4
Laparoscopic removal of an intravesical foreign body after laparoscopically assisted vaginal hysterectomy: a case report and review of the literatures.腹腔镜辅助阴式子宫切除术后腹腔镜取出膀胱内异物:一例报告并文献复习
Surg Laparosc Endosc Percutan Tech. 2008 Aug;18(4):420-2. doi: 10.1097/SLE.0b013e318172fc8d.
5
Laparoscopic removal of a needle from the pancreas.腹腔镜下从胰腺取出一根针。
J Minim Access Surg. 2013 Apr;9(2):80-1. doi: 10.4103/0972-9941.110968.
6
Giant bladder stone formed around sewing-needle in childhood: A case report and literature review.儿童期围绕缝衣针形成的巨大膀胱结石:一例报告及文献复习
Urol Case Rep. 2019 Dec 14;29:101101. doi: 10.1016/j.eucr.2019.101101. eCollection 2020 Mar.
7
Case of an intrahepatic sewing needle and review of the literature.一例肝内缝针病例及文献综述
Ulus Travma Acil Cerrahi Derg. 2017 Jan;23(1):77-80. doi: 10.5505/tjtes.2016.48995.
8
Removal of long, complex foreign bodies from bladder using single laparoscopic port under pneumovesicum.在气膀胱下经单一腹腔镜端口移除膀胱内的长而复杂的异物。
J Laparoendosc Adv Surg Tech A. 2010 Sep;20(7):639-42. doi: 10.1089/lap.2010.0078.
9
Laparoscopic Partial Bladder Cystectomy for Bladder Endometriosis: A Combined Cystoscopic and Laparoscopic approach.腹腔镜膀胱子宫内膜异位症部分切除术:膀胱镜联合腹腔镜方法。
J Minim Invasive Gynecol. 2020 Mar-Apr;27(3):575-576. doi: 10.1016/j.jmig.2019.06.020. Epub 2019 Jul 12.
10
Case report and literature review: An intrahepatic sewing needle in a child.病例报告及文献综述:一名儿童体内的肝内缝针
Front Pediatr. 2023 Jan 9;10:1101163. doi: 10.3389/fped.2022.1101163. eCollection 2022.

本文引用的文献

1
Migration of an intrauterine device into the bladder: a rare case.宫内节育器移入膀胱:一例罕见病例。
Arch Gynecol Obstet. 2009 May;279(5):739-42. doi: 10.1007/s00404-008-0792-3. Epub 2008 Sep 17.
2
Laparoscopic removal of an intravesical foreign body after laparoscopically assisted vaginal hysterectomy: a case report and review of the literatures.腹腔镜辅助阴式子宫切除术后腹腔镜取出膀胱内异物:一例报告并文献复习
Surg Laparosc Endosc Percutan Tech. 2008 Aug;18(4):420-2. doi: 10.1097/SLE.0b013e318172fc8d.
3
[Bladder stone secondary to migration of an acupuncture needle].
[针灸针迁移继发膀胱结石]
Hinyokika Kiyo. 2008 May;54(5):365-7.
4
Laparoscopic removal of a rusty sewing needle from the pelvis.腹腔镜下从骨盆取出一枚生锈的缝纫针。
J Minim Invasive Gynecol. 2008 Mar-Apr;15(2):129. doi: 10.1016/j.jmig.2007.07.011.
5
Successful localization and surgical removal of ingested sewing needles under mini C-arm fluoroscopy: a case report.在小型C形臂荧光透视引导下成功定位并手术取出摄入的缝纫针:一例病例报告
Kaohsiung J Med Sci. 2006 Sep;22(9):457-60. doi: 10.1016/S1607-551X(09)70338-9.
6
Locating steel needles in the human body using a SQUID magnetometer.使用超导量子干涉仪磁力仪在人体中定位钢针。
Phys Med Biol. 2000 Aug;45(8):2389-402. doi: 10.1088/0031-9155/45/8/323.
7
[A swallowed needle found in the kidney pelvis].[肾盂内发现一枚 swallowed needle(此处原文有误,推测可能是“swallowed needle”应为“swallowed foreign body”之类,暂按字面翻译为“吞下的针”)]
Z Urol Nephrol. 1978 Sep;71(9):647-51.