• 文献检索
  • 文档翻译
  • 深度研究
  • 学术资讯
  • Suppr Zotero 插件Zotero 插件
  • 邀请有礼
  • 套餐&价格
  • 历史记录
应用&插件
Suppr Zotero 插件Zotero 插件浏览器插件Mac 客户端Windows 客户端微信小程序
定价
高级版会员购买积分包购买API积分包
服务
文献检索文档翻译深度研究API 文档MCP 服务
关于我们
关于 Suppr公司介绍联系我们用户协议隐私条款
关注我们

Suppr 超能文献

核心技术专利:CN118964589B侵权必究
粤ICP备2023148730 号-1Suppr @ 2026

文献检索

告别复杂PubMed语法,用中文像聊天一样搜索,搜遍4000万医学文献。AI智能推荐,让科研检索更轻松。

立即免费搜索

文件翻译

保留排版,准确专业,支持PDF/Word/PPT等文件格式,支持 12+语言互译。

免费翻译文档

深度研究

AI帮你快速写综述,25分钟生成高质量综述,智能提取关键信息,辅助科研写作。

立即免费体验

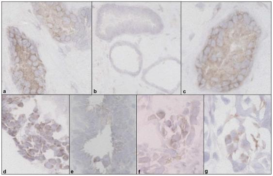
人正常乳腺组织、良性乳腺组织和恶性乳腺组织中的钠碘同向转运体(NIS)及其潜在调节因子。

The sodium iodide symporter (NIS) and potential regulators in normal, benign and malignant human breast tissue.

机构信息

Division of Surgery, School of Medicine, National University of Ireland Galway, Galway, Ireland.

出版信息

PLoS One. 2011 Jan 19;6(1):e16023. doi: 10.1371/journal.pone.0016023.

DOI:10.1371/journal.pone.0016023
PMID:21283523
原文链接:https://pmc.ncbi.nlm.nih.gov/articles/PMC3023714/
Abstract

INTRODUCTION

The presence, relevance and regulation of the Sodium Iodide Symporter (NIS) in human mammary tissue remains poorly understood. This study aimed to quantify relative expression of NIS and putative regulators in human breast tissue, with relationships observed further investigated in vitro.

METHODS

Human breast tissue specimens (malignant n = 75, normal n = 15, fibroadenoma n = 10) were analysed by RQ-PCR targeting NIS, receptors for retinoic acid (RARα, RARβ), oestrogen (ERα), thyroid hormones (THRα, THRβ), and also phosphoinositide-3-kinase (PI3K). Breast cancer cells were treated with Retinoic acid (ATRA), Estradiol and Thyroxine individually and in combination followed by analysis of changes in NIS expression.

RESULTS

The lowest levels of NIS were detected in normal tissue (Mean(SEM) 0.70(0.12) Log(10) Relative Quantity (RQ)) with significantly higher levels observed in fibroadenoma (1.69(0.21) Log(10)RQ, p<0.005) and malignant breast tissue (1.18(0.07) Log(10)RQ, p<0.05). Significant positive correlations were observed between human NIS and ERα (r = 0.22, p<0.05) and RARα (r = 0.29, p<0.005), with the strongest relationship observed between NIS and RARβ (r = 0.38, p<0.0001). An inverse relationship between NIS and PI3K expression was also observed (r =  0.21, p<0.05). In vitro, ATRA, Estradiol and Thyroxine individually stimulated significant increases in NIS expression (range 6-16 fold), while ATRA and Thyroxine combined caused the greatest increase (range 16-26 fold).

CONCLUSION

Although NIS expression is significantly higher in malignant compared to normal breast tissue, the highest level was detected in fibroadenoma. The data presented supports a role for retinoic acid and estradiol in mammary NIS regulation in vivo, and also highlights potential thyroidal regulation of mammary NIS mediated by thyroid hormones.

摘要

简介

人类乳腺组织中钠碘转运体(NIS)的存在、相关性和调节仍知之甚少。本研究旨在定量分析人乳腺组织中 NIS 和推定调节剂的相对表达,并进一步在体外观察所观察到的关系。

方法

通过针对 NIS、维甲酸受体(RARα、RARβ)、雌激素受体(ERα)、甲状腺激素(THRα、THRβ)和磷酸肌醇-3-激酶(PI3K)的 RQ-PCR 分析人乳腺组织标本(恶性 n=75、正常 n=15、纤维腺瘤 n=10)。用维甲酸(ATRA)、雌二醇和甲状腺素单独以及组合处理乳腺癌细胞,然后分析 NIS 表达的变化。

结果

NIS 的最低水平在正常组织中检测到(Mean(SEM) 0.70(0.12) Log(10)相对数量 (RQ)),在纤维腺瘤(1.69(0.21) Log(10)RQ,p<0.005)和恶性乳腺组织中观察到显著较高的水平(1.18(0.07) Log(10)RQ,p<0.05)。在人 NIS 与 ERα(r = 0.22,p<0.05)和 RARα(r = 0.29,p<0.005)之间观察到显著的正相关,在 NIS 与 RARβ 之间观察到最强的关系(r = 0.38,p<0.0001)。还观察到 NIS 与 PI3K 表达之间的反比关系(r = 0.21,p<0.05)。体外,ATRA、雌二醇和甲状腺素单独刺激 NIS 表达显著增加(范围 6-16 倍),而 ATRA 和甲状腺素联合导致最大增加(范围 16-26 倍)。

结论

尽管 NIS 在恶性乳腺组织中表达明显高于正常乳腺组织,但在纤维腺瘤中检测到最高水平。所提出的数据支持维甲酸和雌二醇在体内乳腺 NIS 调节中的作用,还突出了甲状腺激素对乳腺 NIS 介导的潜在甲状腺调节作用。

https://cdn.ncbi.nlm.nih.gov/pmc/blobs/323f/3023714/7966fc168f42/pone.0016023.g005.jpg
https://cdn.ncbi.nlm.nih.gov/pmc/blobs/323f/3023714/6e12706d468e/pone.0016023.g001.jpg
https://cdn.ncbi.nlm.nih.gov/pmc/blobs/323f/3023714/7af9fab3386f/pone.0016023.g002.jpg
https://cdn.ncbi.nlm.nih.gov/pmc/blobs/323f/3023714/047b4751c271/pone.0016023.g003.jpg
https://cdn.ncbi.nlm.nih.gov/pmc/blobs/323f/3023714/ad26382469bf/pone.0016023.g004.jpg
https://cdn.ncbi.nlm.nih.gov/pmc/blobs/323f/3023714/7966fc168f42/pone.0016023.g005.jpg
https://cdn.ncbi.nlm.nih.gov/pmc/blobs/323f/3023714/6e12706d468e/pone.0016023.g001.jpg
https://cdn.ncbi.nlm.nih.gov/pmc/blobs/323f/3023714/7af9fab3386f/pone.0016023.g002.jpg
https://cdn.ncbi.nlm.nih.gov/pmc/blobs/323f/3023714/047b4751c271/pone.0016023.g003.jpg
https://cdn.ncbi.nlm.nih.gov/pmc/blobs/323f/3023714/ad26382469bf/pone.0016023.g004.jpg
https://cdn.ncbi.nlm.nih.gov/pmc/blobs/323f/3023714/7966fc168f42/pone.0016023.g005.jpg

相似文献

1
The sodium iodide symporter (NIS) and potential regulators in normal, benign and malignant human breast tissue.人正常乳腺组织、良性乳腺组织和恶性乳腺组织中的钠碘同向转运体(NIS)及其潜在调节因子。
PLoS One. 2011 Jan 19;6(1):e16023. doi: 10.1371/journal.pone.0016023.
2
MicroRNA-10a is reduced in breast cancer and regulated in part through retinoic acid.微小RNA-10a在乳腺癌中表达降低,且部分受视黄酸调控。
BMC Cancer. 2015 May 2;15:345. doi: 10.1186/s12885-015-1374-y.
3
Stimulation of retinoic acid-induced functional sodium iodide symporter (NIS) expression and cytotoxicity of ¹³¹I by carbamazepine in breast cancer cells.卡马西平刺激视黄酸诱导的功能性钠碘同向转运体(NIS)表达和乳腺癌细胞中 ¹³¹I 的细胞毒性。
Breast Cancer Res Treat. 2011 Jan;125(2):377-86. doi: 10.1007/s10549-010-0835-x. Epub 2010 Mar 19.
4
Mammary radioiodine accumulation due to functional sodium iodide symporter expression in a benign fibroadenoma.
Biochem Biophys Res Commun. 2006 Nov 3;349(4):1258-63. doi: 10.1016/j.bbrc.2006.08.170. Epub 2006 Sep 7.
5
Enhanced expression of adenovirus-mediated sodium iodide symporter gene in MCF-7 breast cancer cells with retinoic acid treatment.维甲酸处理对腺病毒介导的碘化钠同向转运体基因在MCF-7乳腺癌细胞中表达的增强作用
J Nucl Med. 2007 Mar;48(3):398-404.
6
Dexamethasone stimulation of retinoic Acid-induced sodium iodide symporter expression and cytotoxicity of 131-I in breast cancer cells.地塞米松对维甲酸诱导的乳腺癌细胞中碘化钠同向转运体表达及131-I细胞毒性的刺激作用
J Clin Endocrinol Metab. 2006 Jan;91(1):69-78. doi: 10.1210/jc.2005-0779. Epub 2005 Oct 18.
7
Functional sodium iodide symporter expression in breast cancer xenografts in vivo after systemic treatment with retinoic acid and dexamethasone.经视黄酸和地塞米松全身治疗后,体内乳腺癌异种移植瘤中功能性碘化钠同向转运体的表达。
Breast Cancer Res Treat. 2008 May;109(2):263-72. doi: 10.1007/s10549-007-9646-0. Epub 2007 Jul 18.
8
Decreased All- trans Retinoic Acid-Induced Expression of Sodium-Iodide Transporter in Mammary Epithelial Cells Caused by Conjugated Linoleic Acid Isomers.共轭亚油酸异构体导致全反式视黄酸诱导的乳腺上皮细胞钠碘转运体表达降低。
J Agric Food Chem. 2019 Apr 24;67(16):4493-4504. doi: 10.1021/acs.jafc.9b00673. Epub 2019 Apr 15.
9
Retinoic acid stimulation of the sodium/iodide symporter in MCF-7 breast cancer cells is mediated by the insulin growth factor-I/phosphatidylinositol 3-kinase and p38 mitogen-activated protein kinase signaling pathways.维甲酸对MCF-7乳腺癌细胞中钠/碘同向转运体的刺激作用是由胰岛素生长因子-I/磷脂酰肌醇3-激酶和p38丝裂原活化蛋白激酶信号通路介导的。
J Clin Endocrinol Metab. 2008 May;93(5):1884-92. doi: 10.1210/jc.2007-1627. Epub 2008 Mar 4.
10
Reduction of stimulated sodium iodide symporter expression by estrogen receptor ligands in breast cancer cells.雌激素受体配体对乳腺癌细胞中钠碘同向转运体表达的抑制作用。
Nucl Med Biol. 2011 Feb;38(2):287-94. doi: 10.1016/j.nucmedbio.2010.07.010.

引用本文的文献

1
The extra-thyroidal distribution of sodium iodide symporter.碘化钠转运体的甲状腺外分布。
Front Endocrinol (Lausanne). 2025 Jul 3;16:1567405. doi: 10.3389/fendo.2025.1567405. eCollection 2025.
2
False-positive radioiodine uptake after radioiodine treatment in differentiated thyroid cancer.分化型甲状腺癌碘-131 治疗后出现假阳性放射性碘摄取。
Endocrine. 2023 Jul;81(1):30-35. doi: 10.1007/s12020-023-03338-2. Epub 2023 Mar 16.
3
Links between Breast and Thyroid Cancer: Hormones, Genetic Susceptibility and Medical Interventions.

本文引用的文献

1
Stimulation of retinoic acid-induced functional sodium iodide symporter (NIS) expression and cytotoxicity of ¹³¹I by carbamazepine in breast cancer cells.卡马西平刺激视黄酸诱导的功能性钠碘同向转运体(NIS)表达和乳腺癌细胞中 ¹³¹I 的细胞毒性。
Breast Cancer Res Treat. 2011 Jan;125(2):377-86. doi: 10.1007/s10549-010-0835-x. Epub 2010 Mar 19.
2
Intronic elements in the Na+/I- symporter gene (NIS) interact with retinoic acid receptors and mediate initiation of transcription.钠离子/碘同向转运体基因(NIS)中的内含子元件与维甲酸受体相互作用,并介导转录的起始。
Nucleic Acids Res. 2010 Jun;38(10):3172-85. doi: 10.1093/nar/gkq023. Epub 2010 Jan 31.
3
乳腺癌与甲状腺癌之间的联系:激素、遗传易感性及医学干预措施
Cancers (Basel). 2022 Oct 19;14(20):5117. doi: 10.3390/cancers14205117.
4
Expression of pendrin and NIS iodide transporters in human breast tumor and peri-tumoral tissue.人乳腺肿瘤及肿瘤周围组织中Pendrin和NIS碘转运体的表达
Arch Med Sci. 2019 Nov 25;18(4):1041-1050. doi: 10.5114/aoms.2019.89980. eCollection 2022.
5
Hormonal Crosstalk Between Thyroid and Breast Cancer.甲状腺与乳腺癌的激素串扰
Endocrinology. 2022 Jul 1;163(7). doi: 10.1210/endocr/bqac075.
6
Na+/I- symporter expression, function, and regulation in non-thyroidal tissues and impact on thyroid cancer therapy.钠/碘同向转运体在非甲状腺组织中的表达、功能和调节及其对甲状腺癌治疗的影响。
Endocr Relat Cancer. 2021 Sep 3;28(10):T167-T177. doi: 10.1530/ERC-21-0035.
7
The Comparison of and Gene Expression on the Breast Cancer Tissue and Benign Tumour Tissue.乳腺癌组织和良性肿瘤组织中[具体基因名称缺失]和[具体基因名称缺失]基因表达的比较
Open Access Maced J Med Sci. 2019 Jun 30;7(12):1911-1916. doi: 10.3889/oamjms.2019.543.
8
ATRA increases iodine uptake and inhibits the proliferation and invasiveness of human anaplastic thyroid carcinoma SW1736 cells: Involvement of β-catenin phosphorylation inhibition.全反式维甲酸增加碘摄取并抑制人未分化甲状腺癌SW1736细胞的增殖和侵袭:β-连环蛋白磷酸化抑制的参与
Oncol Lett. 2017 Dec;14(6):7733-7738. doi: 10.3892/ol.2017.7225. Epub 2017 Oct 19.
9
Investigating the association of rs2910164 with cancer predisposition in an Irish cohort.在一个爱尔兰队列中研究rs2910164与癌症易感性的关联。
Endocr Connect. 2017 Nov;6(8):614-624. doi: 10.1530/EC-17-0196. Epub 2017 Sep 12.
10
The correlation between breast cancer and urinary iodine excretion levels.乳腺癌与尿碘排泄水平之间的相关性。
J Int Med Res. 2018 Feb;46(2):687-692. doi: 10.1177/0300060517717535. Epub 2017 Aug 31.
Breast cancer brain metastases express the sodium iodide symporter.
乳腺癌脑转移瘤表达钠碘同向转运体。
J Neurooncol. 2010 Feb;96(3):331-6. doi: 10.1007/s11060-009-9971-8. Epub 2009 Jul 19.
4
Activation of the PI3 kinase pathway by retinoic acid mediates sodium/iodide symporter induction and iodide transport in MCF-7 breast cancer cells.视黄酸激活PI3激酶途径介导MCF-7乳腺癌细胞中钠/碘同向转运体的诱导和碘转运。
Cancer Res. 2009 Apr 15;69(8):3443-50. doi: 10.1158/0008-5472.CAN-08-3234. Epub 2009 Apr 7.
5
Endogenous NIS expression in triple-negative breast cancers.三阴性乳腺癌中的内源性钠碘同向转运体表达
Ann Surg Oncol. 2009 Apr;16(4):962-8. doi: 10.1245/s10434-008-0280-9. Epub 2009 Jan 28.
6
Thyroid hormone receptor beta1 acts as a potent suppressor of tumor invasiveness and metastasis.甲状腺激素受体β1作为肿瘤侵袭和转移的有效抑制因子。
Cancer Res. 2009 Jan 15;69(2):501-9. doi: 10.1158/0008-5472.CAN-08-2198.
7
Phase I study of noninvasive imaging of adenovirus-mediated gene expression in the human prostate.腺病毒介导的基因表达在人前列腺中的非侵入性成像的I期研究。
Mol Ther. 2008 Oct;16(10):1761-9. doi: 10.1038/mt.2008.172. Epub 2008 Aug 19.
8
Evaluation and validation of candidate endogenous control genes for real-time quantitative PCR studies of breast cancer.乳腺癌实时定量PCR研究中候选内参基因的评估与验证
BMC Mol Biol. 2007 Nov 27;8:107. doi: 10.1186/1471-2199-8-107.
9
PI3K activation is associated with intracellular sodium/iodide symporter protein expression in breast cancer.PI3K激活与乳腺癌细胞内钠/碘同向转运体蛋白表达相关。
BMC Cancer. 2007 Jul 25;7:137. doi: 10.1186/1471-2407-7-137.
10
Functional sodium iodide symporter expression in breast cancer xenografts in vivo after systemic treatment with retinoic acid and dexamethasone.经视黄酸和地塞米松全身治疗后,体内乳腺癌异种移植瘤中功能性碘化钠同向转运体的表达。
Breast Cancer Res Treat. 2008 May;109(2):263-72. doi: 10.1007/s10549-007-9646-0. Epub 2007 Jul 18.