• 文献检索
  • 文档翻译
  • 深度研究
  • 学术资讯
  • Suppr Zotero 插件Zotero 插件
  • 邀请有礼
  • 套餐&价格
  • 历史记录
应用&插件
Suppr Zotero 插件Zotero 插件浏览器插件Mac 客户端Windows 客户端微信小程序
定价
高级版会员购买积分包购买API积分包
服务
文献检索文档翻译深度研究API 文档MCP 服务
关于我们
关于 Suppr公司介绍联系我们用户协议隐私条款
关注我们

Suppr 超能文献

核心技术专利:CN118964589B侵权必究
粤ICP备2023148730 号-1Suppr @ 2026

文献检索

告别复杂PubMed语法,用中文像聊天一样搜索,搜遍4000万医学文献。AI智能推荐,让科研检索更轻松。

立即免费搜索

文件翻译

保留排版,准确专业,支持PDF/Word/PPT等文件格式,支持 12+语言互译。

免费翻译文档

深度研究

AI帮你快速写综述,25分钟生成高质量综述,智能提取关键信息,辅助科研写作。

立即免费体验

由肠炎沙门氏菌引起的背痛病例报告

A case of back pain caused by Salmonella spondylitis -A case report-.

机构信息

Department of Anesthesiology and Pain Medicine, College of Medicine, Jeju National University, Jeju, Korea.

出版信息

Korean J Anesthesiol. 2010 Dec;59 Suppl(Suppl):S233-7. doi: 10.4097/kjae.2010.59.S.S233. Epub 2010 Dec 31.

DOI:10.4097/kjae.2010.59.S.S233
PMID:21286449
原文链接:https://pmc.ncbi.nlm.nih.gov/articles/PMC3030045/
Abstract

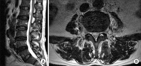
Salmonella spondylitis is a rare illness, and it generally occurs in patients who have already had sickle cell anemia, and it is even rarer in patients who are without sickle cell anemia. A 61-year-old male patient was hospitalized for the evaluation of his renal function and then treatment was started for his back pain. His back pain had developed about 2 months previously without any specific trauma. Only a bulging disc was detected on the initial lumbar MRI. Regarding his fever, it was diagnosed as possible atypical pneumonia, scrub typhus, etc., and multiple antibiotic therapy was administered. At the time of transfer, the leucocytes and hs-CRP were normal and the ESR was elevated. A diagnostic epidural block was performed for his back pain, but his symptoms were not improved. Lumbar MRI was performed again and it showed findings of infective spondylitis. Salmonella D was identified on the abscess culture and so he was diagnosed as suffering from Salmonella spondylitis. After antibiotic treatment, his back pain was improved and the patient was able to walk.

摘要

脊柱沙门氏菌感染是一种罕见疾病,通常发生于已有镰状细胞贫血的患者,而在无镰状细胞贫血的患者中更为罕见。一名 61 岁男性患者因肾功能评估而住院,随后开始治疗其背痛。他的背痛大约在 2 个月前无明显诱因出现,最初的腰椎 MRI 仅显示椎间盘膨出。关于他的发热,诊断为可能为非典型性肺炎、丛林斑疹伤寒等,给予了多种抗生素治疗。转科时,白细胞和 hs-CRP 正常,ESR 升高。为他的背痛进行了诊断性硬膜外阻滞,但症状未改善。再次进行腰椎 MRI 检查,结果显示感染性脊柱炎的发现。脓肿培养出沙门氏菌 D,因此诊断为脊柱沙门氏菌感染。经抗生素治疗后,他的背痛改善,能够行走。

https://cdn.ncbi.nlm.nih.gov/pmc/blobs/f526/3030045/44200aa99c05/kjae-59-S233-g003.jpg
https://cdn.ncbi.nlm.nih.gov/pmc/blobs/f526/3030045/18680d8e5d63/kjae-59-S233-g001.jpg
https://cdn.ncbi.nlm.nih.gov/pmc/blobs/f526/3030045/ed145b67ae91/kjae-59-S233-g002.jpg
https://cdn.ncbi.nlm.nih.gov/pmc/blobs/f526/3030045/44200aa99c05/kjae-59-S233-g003.jpg
https://cdn.ncbi.nlm.nih.gov/pmc/blobs/f526/3030045/18680d8e5d63/kjae-59-S233-g001.jpg
https://cdn.ncbi.nlm.nih.gov/pmc/blobs/f526/3030045/ed145b67ae91/kjae-59-S233-g002.jpg
https://cdn.ncbi.nlm.nih.gov/pmc/blobs/f526/3030045/44200aa99c05/kjae-59-S233-g003.jpg

相似文献

1
A case of back pain caused by Salmonella spondylitis -A case report-.由肠炎沙门氏菌引起的背痛病例报告
Korean J Anesthesiol. 2010 Dec;59 Suppl(Suppl):S233-7. doi: 10.4097/kjae.2010.59.S.S233. Epub 2010 Dec 31.
2
Pyogenic spondylitis and paravertebral abscess caused by Salmonella Saintpaul in an immunocompetent 13-year-old child: a case report.一名免疫功能正常的13岁儿童因圣保罗沙门氏菌引起的化脓性脊柱炎和椎旁脓肿:病例报告
BMC Pediatr. 2018 Feb 3;18(1):24. doi: 10.1186/s12887-018-1010-5.
3
Epidural abscess and discitis complicating instrumented posterior lumbar interbody fusion: a case report.后路腰椎椎间融合内固定术后并发硬膜外脓肿和椎间盘炎:一例报告
Spine (Phila Pa 1976). 2004 Dec 1;29(23):E542-6. doi: 10.1097/01.brs.0000146802.38753.38.
4
Salmonella enteritis spondylitis of thoracic spine: a case report and review of the literature.沙门氏菌性脊椎炎:胸椎脊柱炎 1 例报告并文献复习。
BMC Surg. 2020 Aug 7;20(1):180. doi: 10.1186/s12893-020-00841-5.
5
Spondylitis with Infection: A Rare Case of Mixed Infections of Spine.脊柱炎合并感染:一例罕见的脊柱混合感染病例
Infect Drug Resist. 2022 Nov 7;15:6525-6531. doi: 10.2147/IDR.S385759. eCollection 2022.
6
Candida Spondylitis Considered as Microbial Substitution After Multiple Surgeries for Postoperative Lumbar Spine Infection.念珠菌性脊柱炎被视为腰椎术后感染多次手术后的微生物替代。
Cureus. 2021 May 12;13(5):e14995. doi: 10.7759/cureus.14995.
7
An Atypical Case of Spondylitis Due to Nontyphoidal Salmonella in an Adult Patient: A Case Report and Review of the Literature.一例成人非伤寒沙门菌所致脊柱炎的非典型病例:病例报告及文献复习
Cureus. 2024 Feb 27;16(2):e55034. doi: 10.7759/cureus.55034. eCollection 2024 Feb.
8
[Iliopsoas abscess accompanied by epidural abscess--a case report].髂腰肌脓肿伴硬膜外脓肿——病例报告
Masui. 2003 Sep;52(9):996-9.
9
[Surgical treatment of lumbar pyogenic spondylitis].腰椎化脓性脊柱炎的外科治疗
Zhongguo Xiu Fu Chong Jian Wai Ke Za Zhi. 2012 Jul;26(7):786-9.
10
An atypical psoriatic spondylitis case, successfully treated with methotrexate.一例非典型银屑病性脊柱炎病例,采用甲氨蝶呤治疗成功。
Clin Rheumatol. 1996 Jul;15(4):403-9. doi: 10.1007/BF02230367.

引用本文的文献

1
Gallbladder Empyema and Epidural Abscess Due to Enteritidis After Treatment of Primary Infection: Case Report and Review of the Literature.原发性感染治疗后因肠炎杆菌所致胆囊积脓和硬膜外脓肿:病例报告及文献复习
Open Forum Infect Dis. 2023 Aug 12;10(8):ofad432. doi: 10.1093/ofid/ofad432. eCollection 2023 Aug.
2
Literature review and clinical presentation of cervical spondylitis due to salmonella enteritidis in immunocompetent.免疫功能正常者因肠炎沙门氏菌引起的颈椎病的文献综述及临床表现
Asian Spine J. 2014 Apr;8(2):206-10. doi: 10.4184/asj.2014.8.2.206. Epub 2014 Apr 8.

本文引用的文献

1
Salmonella paratyphi spondylitis: a case report.副伤寒沙门菌性脊柱炎:一例病例报告
Eur Spine J. 2008 May;17(5):754-5. doi: 10.1007/s00586-007-0536-2. Epub 2007 Nov 15.
2
An uncommon cause of paraplegia: Salmonella spondylodiskitis.截瘫的一种罕见病因:沙门氏菌性脊椎椎间盘炎。
J Spinal Cord Med. 2006;29(3):234-6. doi: 10.1080/10790268.2006.11753879.
3
Salmonella spondylodiscitis in patients without sickle cell disease.
Clin Orthop Relat Res. 2005 Jan(430):243-7. doi: 10.1097/01.blo.0000137561.82099.d5.
4
[Infectious spondylitis. Study of a series of 151 cases].
Acta Orthop Belg. 2002 Oct;68(4):381-7.
5
Salmonella typhi spondylitis.伤寒沙门菌性脊柱炎
J Pediatr Orthop. 1999 Nov-Dec;19(6):710-4.
6
Salmonella osteomyelitis presenting as fibrous dysplasia. A case report.表现为骨纤维发育不良的沙门氏菌骨髓炎。病例报告。
Clin Orthop Relat Res. 1996 Sep(330):185-9. doi: 10.1097/00003086-199609000-00023.
7
Salmonellosis in patients with neoplastic disease. A review of 100 episodes at Memorial Cancer Center over a 13-year period.肿瘤疾病患者的沙门氏菌病。纪念癌症中心13年间100例病例的回顾。
Arch Intern Med. 1971 Oct;128(4):546-54. doi: 10.1001/archinte.128.4.546.