Suppr超能文献

通过高通量分析对假定纤毛基因进行功能表征。

Functional characterization of putative cilia genes by high-content analysis.

机构信息

Department of Molecular Biology, Genetech, South San Francisco, CA 94080, USA.

出版信息

Mol Biol Cell. 2011 Apr;22(7):1104-19. doi: 10.1091/mbc.E10-07-0596. Epub 2011 Feb 2.

Abstract

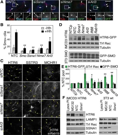
Cilia are microtubule-based protrusions from the cell surface that are involved in a number of essential signaling pathways, yet little is known about many of the proteins that regulate their structure and function. A number of putative cilia genes have been identified by proteomics and comparative sequence analyses, but functional data are lacking for the vast majority. We therefore monitored the effects in three cell lines of small interfering RNA (siRNA) knockdown of 40 of these genes by high-content analysis. We assayed cilia number, length, and transport of two different cargoes (membranous serotonin receptor 6-green fluorescent protein [HTR6-GFP] and the endogenous Hedgehog [Hh] pathway transcription factor Gli3) by immunofluorescence microscopy; and cilia function using a Gli-luciferase Hh signaling assay. Hh signaling was most sensitive to perturbations, with or without visible structural cilia defects. Validated hits include Ssa2 and mC21orf2 with ciliation defects; Ift46 with short cilia; Ptpdc1 and Iqub with elongated cilia; and Arl3, Nme7, and Ssna1 with distinct ciliary transport but not length defects. Our data confirm various ciliary roles for several ciliome proteins and show it is possible to uncouple ciliary cargo transport from cilia formation in vertebrates.

摘要

纤毛是细胞表面的微管突起,参与许多重要的信号通路,但对于许多调节其结构和功能的蛋白质知之甚少。通过蛋白质组学和比较序列分析已经鉴定出许多推定的纤毛基因,但绝大多数缺乏功能数据。因此,我们通过高内涵分析监测了这 40 个基因的小干扰 RNA (siRNA)敲低对三种细胞系的影响。我们通过免疫荧光显微镜检测了两种不同货物(膜性血清素受体 6-绿色荧光蛋白 [HTR6-GFP]和内源性 Hedgehog [Hh]途径转录因子 Gli3)的纤毛数量、长度和运输;并使用 Gli-荧光素酶 Hh 信号测定法检测纤毛功能。Hh 信号对干扰最为敏感,无论是否存在可见的结构纤毛缺陷。经过验证的命中包括具有纤毛缺陷的 Ssa2 和 mC21orf2;具有短纤毛的 Ift46;具有长纤毛的 Ptpdc1 和 Iqub;以及具有独特纤毛运输但无长度缺陷的 Arl3、Nme7 和 Ssna1。我们的数据证实了几个纤毛蛋白的各种纤毛作用,并表明在脊椎动物中可以将纤毛货物运输与纤毛形成分离。

https://cdn.ncbi.nlm.nih.gov/pmc/blobs/aed2/3069013/a14e27035933/1104fig1.jpg

文献AI研究员

20分钟写一篇综述,助力文献阅读效率提升50倍。

立即体验

用中文搜PubMed

大模型驱动的PubMed中文搜索引擎

马上搜索

文档翻译

学术文献翻译模型,支持多种主流文档格式。

立即体验