• 文献检索
  • 文档翻译
  • 深度研究
  • 学术资讯
  • Suppr Zotero 插件Zotero 插件
  • 邀请有礼
  • 套餐&价格
  • 历史记录
应用&插件
Suppr Zotero 插件Zotero 插件浏览器插件Mac 客户端Windows 客户端微信小程序
定价
高级版会员购买积分包购买API积分包
服务
文献检索文档翻译深度研究API 文档MCP 服务
关于我们
关于 Suppr公司介绍联系我们用户协议隐私条款
关注我们

Suppr 超能文献

核心技术专利:CN118964589B侵权必究
粤ICP备2023148730 号-1Suppr @ 2026

文献检索

告别复杂PubMed语法,用中文像聊天一样搜索,搜遍4000万医学文献。AI智能推荐,让科研检索更轻松。

立即免费搜索

文件翻译

保留排版,准确专业,支持PDF/Word/PPT等文件格式,支持 12+语言互译。

免费翻译文档

深度研究

AI帮你快速写综述,25分钟生成高质量综述,智能提取关键信息,辅助科研写作。

立即免费体验

中国大陆地区快速进展性增殖性疣状白色角化病病例报告及病因学建议。

Case report of rapidly progressive proliferative verrucous leukoplakia and a proposal for aetiology in mainland China.

机构信息

State Key Laboratory of Oral Diseases, Sichuan University, Chengdu, Sichuan, PR. China.

出版信息

World J Surg Oncol. 2011 Feb 27;9:26. doi: 10.1186/1477-7819-9-26.

DOI:10.1186/1477-7819-9-26
PMID:21352571
原文链接:https://pmc.ncbi.nlm.nih.gov/articles/PMC3056810/
Abstract

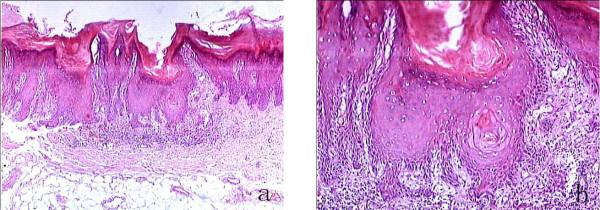
Proliferative verrucous leukoplakia (PVL) is a rare oral leukoplakia and has four features such as chronic proliferation, multiple occurrences, refractoriness to treatment and high rate of malignant transformation. As mentioned above, most PVL cases processed to malignancy over many years, sometimes 20 years. However, this report described a case of rapid progress, which had malignant transformation in a short period. Additionally, the aetiology of PVL was discussed and immunity was proposed as the possible cause.

摘要

增殖性疣状白斑(PVL)是一种罕见的口腔白斑病,具有慢性增殖、多发性、难治性和高恶性转化率等四个特征。如前所述,大多数 PVL 病例在多年后发生恶变,有时甚至长达 20 年。然而,本报告描述了一例快速进展的病例,其在短时间内发生了恶性转化。此外,还讨论了 PVL 的病因,并提出了免疫可能是其发病原因之一。

https://cdn.ncbi.nlm.nih.gov/pmc/blobs/b56f/3056810/1c5907d9ccc2/1477-7819-9-26-4.jpg
https://cdn.ncbi.nlm.nih.gov/pmc/blobs/b56f/3056810/8a332feb51f5/1477-7819-9-26-1.jpg
https://cdn.ncbi.nlm.nih.gov/pmc/blobs/b56f/3056810/e85ea8598855/1477-7819-9-26-2.jpg
https://cdn.ncbi.nlm.nih.gov/pmc/blobs/b56f/3056810/aa1ab596b8f4/1477-7819-9-26-3.jpg
https://cdn.ncbi.nlm.nih.gov/pmc/blobs/b56f/3056810/1c5907d9ccc2/1477-7819-9-26-4.jpg
https://cdn.ncbi.nlm.nih.gov/pmc/blobs/b56f/3056810/8a332feb51f5/1477-7819-9-26-1.jpg
https://cdn.ncbi.nlm.nih.gov/pmc/blobs/b56f/3056810/e85ea8598855/1477-7819-9-26-2.jpg
https://cdn.ncbi.nlm.nih.gov/pmc/blobs/b56f/3056810/aa1ab596b8f4/1477-7819-9-26-3.jpg
https://cdn.ncbi.nlm.nih.gov/pmc/blobs/b56f/3056810/1c5907d9ccc2/1477-7819-9-26-4.jpg

相似文献

1
Case report of rapidly progressive proliferative verrucous leukoplakia and a proposal for aetiology in mainland China.中国大陆地区快速进展性增殖性疣状白色角化病病例报告及病因学建议。
World J Surg Oncol. 2011 Feb 27;9:26. doi: 10.1186/1477-7819-9-26.
2
Proliferative verrucous leukoplakia: report of two cases and a discussion of clinicopathology.增殖性疣状白斑:两例报告及临床病理学讨论
J Calif Dent Assoc. 1999 Apr;27(4):300-5, 308-9.
3
Proliferative verrucous leukoplakia: a potentially malignant disorder involving periodontal sites.增殖性疣状白斑:一种累及牙周部位的潜在恶性疾病。
J Periodontol. 2009 Feb;80(2):274-81. doi: 10.1902/jop.2009.080329.
4
Proliferative verrucous leukoplakia and its progression to oral carcinoma: report of three cases.增殖性疣状白斑及其进展为口腔癌:三例报告。
J Oral Pathol Med. 2007 May;36(5):315-8. doi: 10.1111/j.1600-0714.2007.00499.x.
5
Proliferative verrucous leukoplakia: a case report.增殖性疣状白斑:一例报告
Gen Dent. 2000 Nov-Dec;48(6):708-10.
6
Proliferative verrucous leukoplakia: recognition and differentiation from conventional leukoplakia and mimics.增殖性疣状白斑:与传统白斑及相似病变的鉴别诊断
Head Neck. 2014 Nov;36(11):1662-8. doi: 10.1002/hed.23505. Epub 2014 Aug 28.
7
Proliferative verrucous leukoplakia: a case report of multiple metachronous oral verrucous carcinoma.增殖性疣状白斑:多灶性异时性口腔疣状癌 1 例报告。
BMJ Case Rep. 2023 Nov 15;16(11):e256383. doi: 10.1136/bcr-2023-256383.
8
Lichenoid areas may arise in early stages of proliferative verrucous leukoplakia: A long-term study of 34 patients.在增殖性疣状白斑的早期阶段可能出现苔藓样区域:34 例患者的长期研究。
J Oral Pathol Med. 2022 Jul;51(6):573-581. doi: 10.1111/jop.13317. Epub 2022 Jun 3.
9
Clinical manifestations of oral proliferative verrucous leukoplakia: A systematic review.口腔增殖性疣状白斑的临床表现:系统评价。
J Oral Pathol Med. 2020 May;49(5):404-408. doi: 10.1111/jop.12999. Epub 2020 Feb 9.
10
Rapid progression of an idiopathic leukoplakia to a proliferative verrucous leukoplakia lesion and then squamous cell carcinoma.特发性白斑迅速进展为增殖性疣状白斑病变,进而发展为鳞状细胞癌。
Quintessence Int. 2012 Jul-Aug;43(7):583-5.

引用本文的文献

1
Malignant transformation of proliferative Verrucous Leukoplakia-systematic review & meta-analysis.增殖性疣状白斑的恶性转化——系统评价与荟萃分析
BMC Oral Health. 2025 Feb 1;25(1):175. doi: 10.1186/s12903-025-05565-7.
2
Proliferative verrucus leukoplakia: A case series.增殖性疣状白斑:病例系列
J Family Med Prim Care. 2022 Jun;11(6):3352-3355. doi: 10.4103/jfmpc.jfmpc_646_21. Epub 2022 Jun 30.
3
Proliferative Verrucous Leukoplakia Revisited: A Retrospective Clinicopathological Study.再探增殖性疣状白斑:一项回顾性临床病理研究

本文引用的文献

1
Oral proliferative verrucous leukoplakia (PVL) in a post-bone marrow transplant patient.一名骨髓移植后患者的口腔增殖性疣状白斑。
Biol Blood Marrow Transplant. 2008 Oct;14(10):1197-1199. doi: 10.1016/j.bbmt.2008.07.012.
2
Epstein-Barr virus in oral proliferative verrucous leukoplakia and squamous cell carcinoma: A preliminary study.口腔增殖性疣状白斑和鳞状细胞癌中的爱泼斯坦-巴尔病毒:一项初步研究。
Med Oral Patol Oral Cir Bucal. 2008 Feb 1;13(2):E110-3.
3
Proliferative verrucous leukoplakia: an aggressive form of oral leukoplakia.
Clin Pract. 2021 Jun 1;11(2):337-346. doi: 10.3390/clinpract11020048.
4
Primary Clinical Evaluation of Photodynamic Therapy With Oral Leukoplakia in Chinese Patients.光动力疗法治疗中国患者口腔白斑的初步临床评估
Front Physiol. 2019 Jan 22;9:1911. doi: 10.3389/fphys.2018.01911. eCollection 2018.
5
Oral verrucous lesions: Controversies in diagnosis and management.口腔疣状病变:诊断与管理中的争议
J Oral Biol Craniofac Res. 2012 Sep-Dec;2(3):163-9. doi: 10.1016/j.jobcr.2012.10.006. Epub 2012 Oct 18.
6
Idiopathic proliferative verrucous leukoplakia: report of a clinical rarity.特发性增殖性疣状白斑:一例临床罕见病例报告
BMJ Case Rep. 2012 Aug 2;2012:bcr2012006194. doi: 10.1136/bcr-2012-006194.
7
Proliferative multifocal leukoplakia better name that proliferative verrucous leukoplakia.增殖性多灶性白色角化病,比增殖性疣状白色角化病更好的名字。
World J Surg Oncol. 2011 Oct 10;9:122. doi: 10.1186/1477-7819-9-122.
增殖性疣状白斑:一种侵袭性口腔白斑。
J Dent Hyg. 2004 Summer;78(3):7. Epub 2004 Jun 1.
4
Aggressive, multifocal oral verrucous leukoplakia: proliferative verrucous leukoplakia or not?侵袭性多灶性口腔疣状白斑:是否为增殖性疣状白斑?
J Oral Pathol Med. 2003 Aug;32(7):383-92. doi: 10.1034/j.1600-0714.2003.00180.x.
5
Proliferative verrucous leukoplakia: high incidence of gingival squamous cell carcinoma.增殖性疣状白斑:牙龈鳞状细胞癌的高发病率。
J Oral Pathol Med. 2003 Aug;32(7):379-82. doi: 10.1034/j.1600-0714.2003.00167.x.
6
Proliferative verrucous leukoplakia: report of a case with characteristic long-term progression.增殖性疣状白斑:一例具有典型长期病程的病例报告。
J Oral Maxillofac Surg. 2003 May;61(5):626-31. doi: 10.1053/joms.2003.50119.
7
Oral proliferative verrucous leukoplakia (PVL); open trial of surgery compared with combined therapy using surgery and methisoprinol in papillomavirus-related PVL.口腔增殖性疣状白斑(PVL);与手术联合美替沙腙治疗乳头瘤病毒相关PVL的联合疗法相比,手术的开放性试验。
Int J Oral Maxillofac Surg. 2001 Aug;30(4):318-22. doi: 10.1054/ijom.2001.0066.
8
Proliferative verrucous leukoplakia of the gingiva.牙龈增殖性疣状白斑
Oral Surg Oral Med Oral Pathol Oral Radiol Endod. 2000 Dec;90(6):723-30. doi: 10.1067/moe.2000.108950.
9
Laser management of oral leukoplakias: a follow-up study of 70 patients.口腔白斑的激光治疗:70例患者的随访研究
Laryngoscope. 1999 Jun;109(6):949-53. doi: 10.1097/00005537-199906000-00021.
10
Proliferative verrucous leukoplakia: a follow-up study of 54 cases.增殖性疣状白斑:54例病例的随访研究
Oral Surg Oral Med Oral Pathol Oral Radiol Endod. 1997 Aug;84(2):154-7. doi: 10.1016/s1079-2104(97)90062-7.