• 文献检索
  • 文档翻译
  • 深度研究
  • 学术资讯
  • Suppr Zotero 插件Zotero 插件
  • 邀请有礼
  • 套餐&价格
  • 历史记录
应用&插件
Suppr Zotero 插件Zotero 插件浏览器插件Mac 客户端Windows 客户端微信小程序
定价
高级版会员购买积分包购买API积分包
服务
文献检索文档翻译深度研究API 文档MCP 服务
关于我们
关于 Suppr公司介绍联系我们用户协议隐私条款
关注我们

Suppr 超能文献

核心技术专利:CN118964589B侵权必究
粤ICP备2023148730 号-1Suppr @ 2026

文献检索

告别复杂PubMed语法,用中文像聊天一样搜索,搜遍4000万医学文献。AI智能推荐,让科研检索更轻松。

立即免费搜索

文件翻译

保留排版,准确专业,支持PDF/Word/PPT等文件格式,支持 12+语言互译。

免费翻译文档

深度研究

AI帮你快速写综述,25分钟生成高质量综述,智能提取关键信息,辅助科研写作。

立即免费体验

不饱和非酯化脂肪酸对T细胞中受体介导的钙内流的抑制作用。

Inhibition of receptor-mediated calcium influx in T cells by unsaturated non-esterified fatty acids.

作者信息

Chow S C, Ansotegui I J, Jondal M

机构信息

Department of Immunology, Karolinska Institute, Stockholm, Sweden.

出版信息

Biochem J. 1990 May 1;267(3):727-32. doi: 10.1042/bj2670727.

DOI:10.1042/bj2670727
PMID:2140257
原文链接:https://pmc.ncbi.nlm.nih.gov/articles/PMC1131358/
Abstract

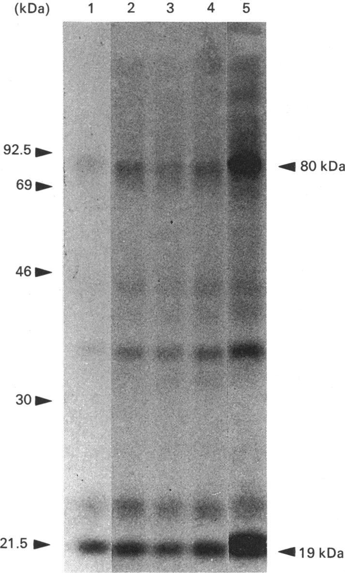
The effect of omega-3, omega-6 and omega-9 unsaturated fatty acids (UFAs) on receptor-mediated Ca2+ entry was investigated in a T-cell line (JURKAT) by using anti-CD3 antibodies (OKT3) to induce intracellular Ca2+ [( Ca2+]i) increase and Ca2+ influx. All the UFAs, as well as Ni2+ ions and 12-O-tetradecanoylphorbol 13-acetate, decreased the OKT3-induced sustained [Ca2+]i increase to basal levels. Although non-esterified fatty acids activate protein kinase C (PKC) [McPhail, Clayton & Snyderman (1984) Science 224, 622-624; Murakami, Chan & Routtenberg (1986) J. Biol. Chem. 261, 15424-15429], studies using H-7 and analysis of the PKC-dependent phosphorylation of 19 and 80 kDa marker substrates ruled out the involvement of PKC in UFA-induced inhibition of Ca2+ entry. Flow-cytometry analysis showed that UFAs do not interfere with antibody-receptor binding. BSA (0.2%, w/v) reversed the effect of UFAs after these fatty acids have decreased the OKT3-induced [Ca2+]i increase to basal levels. The relevance of these findings and possible mechanisms for inhibition by UFAs of receptor-mediated Ca2+ influx were discussed.

摘要

通过使用抗CD3抗体(OKT3)诱导细胞内Ca2+([Ca2+]i)升高和Ca2+内流,研究了ω-3、ω-6和ω-9不饱和脂肪酸(UFA)对T细胞系(JURKAT)中受体介导的Ca2+内流的影响。所有的UFA以及Ni2+离子和12-O-十四酰佛波醇-13-乙酸酯都将OKT3诱导的[Ca2+]i持续升高降低至基础水平。尽管非酯化脂肪酸可激活蛋白激酶C(PKC)[麦克菲尔、克莱顿和斯奈德曼(1984年)《科学》224,622 - 624;村上、陈和劳滕伯格(1986年)《生物化学杂志》261,15424 - 15429],但使用H - 7以及对19 kDa和80 kDa标记底物的PKC依赖性磷酸化分析排除了PKC参与UFA诱导的Ca2+内流抑制作用。流式细胞术分析表明,UFA不干扰抗体 - 受体结合。在这些脂肪酸将OKT3诱导的[Ca2+]i升高降低至基础水平后,牛血清白蛋白(0.2%,w/v)可逆转UFA的作用。讨论了这些发现的相关性以及UFA抑制受体介导的Ca2+内流的可能机制。

https://cdn.ncbi.nlm.nih.gov/pmc/blobs/a4da/1131358/c106867d6d1f/biochemj00184-0163-a.jpg
https://cdn.ncbi.nlm.nih.gov/pmc/blobs/a4da/1131358/c106867d6d1f/biochemj00184-0163-a.jpg
https://cdn.ncbi.nlm.nih.gov/pmc/blobs/a4da/1131358/c106867d6d1f/biochemj00184-0163-a.jpg

相似文献

1
Inhibition of receptor-mediated calcium influx in T cells by unsaturated non-esterified fatty acids.不饱和非酯化脂肪酸对T细胞中受体介导的钙内流的抑制作用。
Biochem J. 1990 May 1;267(3):727-32. doi: 10.1042/bj2670727.
2
Phorbol 12-myristate 13-acetate (TPA) blocks CD3-mediated Ca2+ mobilization in Jurkat T cells independently of protein kinase C activation.
Biochem Biophys Res Commun. 1990 Nov 30;173(1):396-400. doi: 10.1016/s0006-291x(05)81071-x.
3
Modification of membrane phospholipid fatty acyl composition in a leukemic T cell line: effects on receptor mediated intracellular Ca2+ increase.白血病T细胞系中膜磷脂脂肪酸酰基组成的改变:对受体介导的细胞内钙离子增加的影响
Biochim Biophys Acta. 1991 May 17;1092(3):358-66. doi: 10.1016/s0167-4889(97)90013-6.
4
Inhibition of antibodies to CD3 surface antigen and phytohemagglutinin-mediated T cellular responses by inhibiting Ca2+/phospholipid-dependent protein kinase activity with the aid of 1-(5-isoquinolinylsulfonyl)-2-methylpiperazine dihydrochloride.借助1-(5-异喹啉磺酰基)-2-甲基哌嗪二盐酸盐抑制Ca2+/磷脂依赖性蛋白激酶活性,从而抑制针对CD3表面抗原的抗体及植物血凝素介导的T细胞反应。
J Immunol. 1987 Oct 1;139(7):2230-6.
5
Protein kinase C activation inhibits TCR-mediated calcium influx but not inositol trisphosphate production in HPB-ALL T cells.蛋白激酶C的激活可抑制HPB-ALL T细胞中TCR介导的钙内流,但不影响三磷酸肌醇的产生。
J Immunol. 1995 Feb 1;154(3):1146-56.
6
Activation of the CD3/T cell receptor (TcR) complex or of protein kinase C potentiate adenylyl cyclase stimulation in a tumoral T cell line: involvement of two distinct intracellular pathways.CD3/T细胞受体(TcR)复合物或蛋白激酶C的激活增强了肿瘤T细胞系中腺苷酸环化酶的刺激:涉及两条不同的细胞内途径。
Eur J Immunol. 1991 Nov;21(11):2877-82. doi: 10.1002/eji.1830211133.
7
Regulation of T-cell-receptor-stimulated bivalent-cation entry in Jurkat E6 cells: role of protein kinase C.蛋白激酶C在调节Jurkat E6细胞中T细胞受体刺激的二价阳离子内流中的作用
Biochem J. 1994 Oct 15;303 ( Pt 2)(Pt 2):671-7. doi: 10.1042/bj3030671.
8
The role of protein kinase C in transmembrane signaling by the T cell antigen receptor complex. Effects of stimulation with soluble or immobilized CD3 antibodies.蛋白激酶C在T细胞抗原受体复合物介导的跨膜信号传导中的作用。可溶性或固定化CD3抗体刺激的影响。
J Immunol. 1987 Oct 15;139(8):2755-60.
9
Inhibition of CD3-induced Ca2+ signals in Jurkat T-cells by myristic acid.肉豆蔻酸对Jurkat T细胞中CD3诱导的Ca2+信号的抑制作用。
Cell Calcium. 1991 Jul;12(7):449-55. doi: 10.1016/0143-4160(91)90027-c.
10
Protein kinase C plays a role in the induction of tyrosine phosphorylation of lymphoid microtubule-associated protein-2 kinase. Evidence for a CD3-associated cascade that includes pp56lck and that is defective in HPB-ALL.蛋白激酶C在诱导淋巴细胞微管相关蛋白-2激酶的酪氨酸磷酸化过程中发挥作用。有证据表明存在一个与CD3相关的级联反应,其中包括pp56lck,且该级联反应在HPB-ALL中存在缺陷。
J Immunol. 1991 Sep 15;147(6):1933-9.

引用本文的文献

1
Mucosal Interactions between Genetics, Diet, and Microbiome in Inflammatory Bowel Disease.炎症性肠病中基因、饮食与微生物群之间的黏膜相互作用
Front Immunol. 2016 Aug 2;7:290. doi: 10.3389/fimmu.2016.00290. eCollection 2016.
2
Effect of oleic acid on store-operated calcium entry in immune-competent cells.油酸对免疫活性细胞中钙库操纵性钙内流的影响。
Eur J Nutr. 2017 Apr;56(3):1077-1084. doi: 10.1007/s00394-016-1157-5. Epub 2016 Jan 30.
3
Oleic acid inhibits store-operated calcium entry in human colorectal adenocarcinoma cells.

本文引用的文献

1
Arachidonic acid mobilizes calcium and stimulates prolactin secretion from GH3 cells.花生四烯酸可动员钙并刺激GH3细胞分泌催乳素。
Am J Physiol. 1984 May;246(5 Pt 1):E458-62. doi: 10.1152/ajpendo.1984.246.5.E458.
2
Isoquinolinesulfonamides, novel and potent inhibitors of cyclic nucleotide dependent protein kinase and protein kinase C.异喹啉磺酰胺,新型强效环核苷酸依赖性蛋白激酶和蛋白激酶C抑制剂。
Biochemistry. 1984 Oct 9;23(21):5036-41. doi: 10.1021/bi00316a032.
3
A potential second messenger role for unsaturated fatty acids: activation of Ca2+-dependent protein kinase.
油酸抑制人结直肠腺癌细胞中的 store-operated 钙内流。
Eur J Nutr. 2012 Sep;51(6):677-84. doi: 10.1007/s00394-011-0246-8. Epub 2011 Sep 29.
4
Dietary n-3 PUFA affect TcR-mediated activation of purified murine T cells and accessory cell function in co-cultures.饮食中的n-3多不饱和脂肪酸会影响纯化的小鼠T细胞的TCR介导的激活以及共培养中辅助细胞的功能。
Clin Exp Immunol. 2002 Oct;130(1):12-8. doi: 10.1046/j.1365-2249.2002.01951.x.
5
Eicosapentaenoic acid and docosahexaenoic acid modulate MAP kinase enzyme activity in human T-cells.二十碳五烯酸和二十二碳六烯酸调节人T细胞中的丝裂原活化蛋白激酶(MAP激酶)酶活性。
Mol Cell Biochem. 2002 Mar;232(1-2):143-8. doi: 10.1023/a:1014806122510.
6
Dietary n-3 polyunsaturated fatty acids modulate purified murine T-cell subset activation.膳食中的n-3多不饱和脂肪酸调节纯化的小鼠T细胞亚群激活。
Clin Exp Immunol. 2001 Sep;125(3):499-507. doi: 10.1046/j.1365-2249.2001.01627.x.
7
The triggering signal dictates the effect of docosahexaenoic acid on lymphocyte function in vitro.触发信号决定了二十二碳六烯酸在体外对淋巴细胞功能的影响。
Lipids. 1998 Sep;33(9):869-78. doi: 10.1007/s11745-998-0283-x.
8
Polyenoic very-long-chain fatty acids mobilize intracellular calcium from a thapsigargin-insensitive pool in human neutrophils. The relationship between Ca2+ mobilization and superoxide production induced by long- and very-long-chain fatty acids.多烯超长链脂肪酸从人中性粒细胞中对毒胡萝卜素不敏感的池动员细胞内钙。长链和超长链脂肪酸诱导的钙离子动员与超氧化物产生之间的关系。
Biochem J. 1995 Oct 15;311 ( Pt 2)(Pt 2):689-97. doi: 10.1042/bj3110689.
9
Unsaturated fatty acids activate glycogen phosphorylase in cultured rat hepatocytes.不饱和脂肪酸可激活培养的大鼠肝细胞中的糖原磷酸化酶。
Biochem J. 1991 May 15;276 ( Pt 1)(Pt 1):209-15. doi: 10.1042/bj2760209.
不饱和脂肪酸可能的第二信使作用:钙依赖性蛋白激酶的激活。
Science. 1984 May 11;224(4649):622-5. doi: 10.1126/science.6231726.
4
Transmembrane signalling by the T cell antigen receptor. Perturbation of the T3-antigen receptor complex generates inositol phosphates and releases calcium ions from intracellular stores.T细胞抗原受体介导的跨膜信号传导。T3抗原受体复合物的扰动会产生肌醇磷酸,并从细胞内储存库释放钙离子。
J Exp Med. 1985 Mar 1;161(3):446-56. doi: 10.1084/jem.161.3.446.
5
Arachidonic acid inhibits thyrotropin-releasing hormone-induced elevation of cytoplasmic free calcium in GH3 pituitary cells.
J Biol Chem. 1985 Jan 25;260(2):707-13.
6
A new generation of Ca2+ indicators with greatly improved fluorescence properties.新一代具有大大改善的荧光特性的钙离子指示剂。
J Biol Chem. 1985 Mar 25;260(6):3440-50.
7
Specificity of inositol phosphate-stimulated Ca2+ mobilization from Swiss-mouse 3T3 cells.来自瑞士小鼠3T3细胞的肌醇磷酸刺激的Ca2+动员的特异性。
Biochem J. 1986 Nov 15;240(1):301-4. doi: 10.1042/bj2400301.
8
1-(5-Isoquinolinesulfonyl)-2-methylpiperazine(H-7), a potent inhibitor of protein kinases, inhibits the differentiation of HL-60 cells induced by phorbol diester.1-(5-异喹啉磺酰基)-2-甲基哌嗪(H-7),一种有效的蛋白激酶抑制剂,可抑制佛波酯诱导的HL-60细胞分化。
Life Sci. 1986 Sep 22;39(12):1101-7. doi: 10.1016/0024-3205(86)90202-x.
9
Activation-dependent phosphorylation of endogenous protein kinase C substrates in quiescent human T lymphocytes.静止期人T淋巴细胞内源性蛋白激酶C底物的激活依赖性磷酸化作用
Immunobiology. 1988 Mar;176(4-5):465-78. doi: 10.1016/s0171-2985(88)80027-5.
10
The action of the protein kinase C inhibitor, staurosporine, on human platelets. Evidence against a regulatory role for protein kinase C in the formation of inositol trisphosphate by thrombin.蛋白激酶C抑制剂星形孢菌素对人血小板的作用。关于蛋白激酶C在凝血酶诱导肌醇三磷酸形成中起调节作用的证据不足。
Biochem J. 1988 Jan 15;249(2):345-50. doi: 10.1042/bj2490345.