Suppr超能文献

PRL-3 靶向治疗的潜力及其在胃癌中的基因组扩增的临床意义。

Therapeutic potential of PRL-3 targeting and clinical significance of PRL-3 genomic amplification in gastric cancer.

机构信息

Department of Surgery, Kitasato University Hospital, Kitasato 1-15-1, Sagamihara 228-8555, Kanagawa, Japan.

出版信息

BMC Cancer. 2011 Apr 6;11:122. doi: 10.1186/1471-2407-11-122.

Abstract

BACKGROUND

Phosphatase of regenerating liver-3 (PRL-3) has deserved attention as a crucial molecule in the multiple steps of metastasis. In the present study, we examined the mechanisms regulating PRL-3 expression, and assessed the clinical potential of PRL-3-targeted therapy in gastric cancer.

METHODS

PRL-3 genomic amplification was analyzed using quantitative-polymerase chain reaction and/or fluorescence in situ hybridization in 77 primary gastric tumors. The anticancer activity of PRL-3 inhibitor (1-4-bromo-2-benzylidene rhodanine) treatment was evaluated against cancer cells with different genetic and expression status.

RESULTS

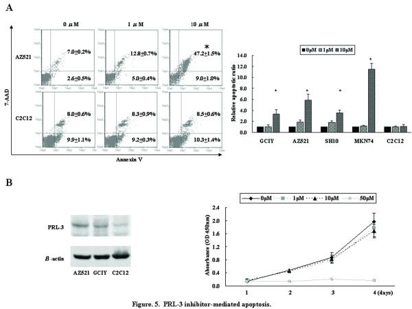
PRL-3 genomic amplification was closely concordant with high level of its protein expression in cell lines, and was found in 20% (8/40) among human primary tumors with its expression, which were all stage III/IV disease (40%, 8/20), but in none (0/37) among those without expression. Additionally, PRL-3 genomic amplification was associated with metastatic lymph node status, leading to advanced stage and thereby poor outcomes in patients with lymph node metastasis (P = 0.021). PRL-3 small interfering RNA robustly repressed metastatic properties, including cell proliferation, invasion, and anchorage-independent colony formation. Although neither PRL-3 genomic amplification nor expression level was responsible for the sensitivity to PRL-3 inhibitor treatment, the inhibitor showed dose-dependent anticancer efficacy, and remarkably induced apoptosis on all the tested cell lines with PRL-3 expression.

CONCLUSIONS

We have for the first time, demonstrated that PRL-3 genomic amplification is one of the predominant mechanisms inducing its expression, especially in more advanced stage, and that PRL-3-targeted therapy may have a great potential against gastric cancer with its expression.

摘要

背景

磷酸酶肝再生 3(PRL-3)作为转移的多个步骤中的关键分子引起了关注。在本研究中,我们研究了调节 PRL-3 表达的机制,并评估了针对胃癌的 PRL-3 靶向治疗的临床潜力。

方法

在 77 个原发性胃癌肿瘤中,使用定量聚合酶链反应和/或荧光原位杂交分析 PRL-3 基因组扩增。使用具有不同遗传和表达状态的癌细胞评估 PRL-3 抑制剂(1-4-溴-2-亚苄基罗丹宁)治疗的抗癌活性。

结果

PRL-3 基因组扩增与细胞系中其蛋白表达的高水平密切一致,并且在具有其表达的 40%(8/20)的人类原发性肿瘤中发现,这些肿瘤均为 III/IV 期疾病(40%,8/20),而在无表达的肿瘤中均未发现(0/37)。此外,PRL-3 基因组扩增与转移性淋巴结状态相关,导致具有淋巴结转移的患者的晚期和不良预后(P = 0.021)。PRL-3 小干扰 RNA 可强力抑制转移性特性,包括细胞增殖、侵袭和锚定非依赖性集落形成。尽管 PRL-3 基因组扩增或表达水平都不是对 PRL-3 抑制剂治疗敏感的原因,但抑制剂表现出剂量依赖性的抗癌功效,并在所有具有 PRL-3 表达的测试细胞系上显著诱导凋亡。

结论

我们首次证明,PRL-3 基因组扩增是诱导其表达的主要机制之一,尤其是在更晚期阶段,针对具有表达的胃癌,PRL-3 靶向治疗可能具有巨大的潜力。

https://cdn.ncbi.nlm.nih.gov/pmc/blobs/11a9/3080833/57488ea59572/1471-2407-11-122-1.jpg

文献AI研究员

20分钟写一篇综述,助力文献阅读效率提升50倍。

立即体验

用中文搜PubMed

大模型驱动的PubMed中文搜索引擎

马上搜索

文档翻译

学术文献翻译模型,支持多种主流文档格式。

立即体验