Suppr超能文献

Genetic analysis of the enhancer requirements for polyomavirus DNA replication in mice.

作者信息

Rochford R, Campbell B A, Villarreal L P

机构信息

Department of Molecular Biology and Biochemistry, University of California, Irvine 92717.

出版信息

J Virol. 1990 Feb;64(2):476-85. doi: 10.1128/JVI.64.2.476-485.1990.

Abstract

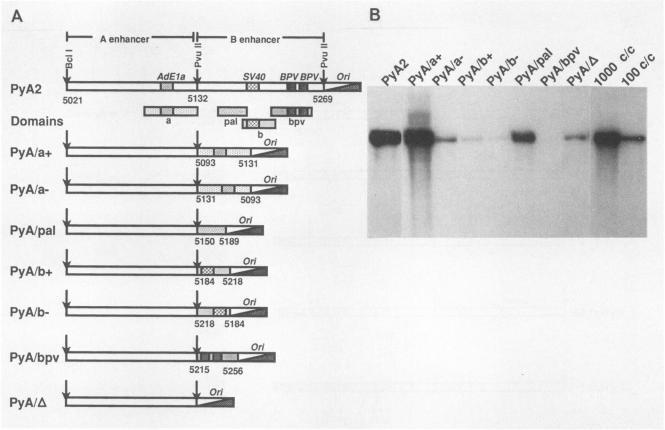
In this report, we describe the first systematic analysis of the genetic requirements for polyomavirus (Py) enhancer-activated viral DNA replication during the acute phase of infection in mice. Four mutants were made which substituted XhoI sites for conserved enhancer consensus sequences (adenovirus type 5 E1A, c-fos, simian virus 40, and a glucocorticoidlike consensus sequence). Viral DNA replication in infected mouse organs was measured by DNA blot analysis. Only the loss of the glucocorticoidlike consensus sequence element significantly reduced Py DNA replication in the kidneys, the primary target organ for viral replication. The loss of the c-fos, adenovirus type 5 E1A, or simian virus 40 consensus sequences, however, expanded organ-specific viral DNA replication, relative to wild-type Py, by allowing high-level replication in the pancreas or heart or both. Analysis of Py variants selected for replication in undifferentiated embryonal carcinoma cell lines (PyF441, PyF111) showed that there was little change in levels of viral DNA replication in kidneys and other organs as compared with those in the wild-type virus. If the entire B enhancer is deleted, only low overall levels of viral replication are observed. Wild-type levels of replication in the kidneys can be reconstituted by addition of a single domain from within the A enhancer (nucleotides 5094 to 5132) to the B enhancer deletion virus, suggesting that a single domain from the A enhancer can functionally substitute for the entire B enhancer. This also indicates that the determinants for kidney-specific replication are not found in the B enhancer.

摘要
https://cdn.ncbi.nlm.nih.gov/pmc/blobs/78f3/249134/af2e7e8a4233/jvirol00057-0025-a.jpg

文献AI研究员

20分钟写一篇综述,助力文献阅读效率提升50倍。

立即体验

用中文搜PubMed

大模型驱动的PubMed中文搜索引擎

马上搜索

文档翻译

学术文献翻译模型,支持多种主流文档格式。

立即体验