Suppr超能文献

慢性萎缩性胃炎和恶性贫血中的复合性腺癌和类癌性胃肿瘤。

Composite adenocarcinoma and carcinoid gastric tumor in chronic atrophic gastritis and pernicious anemia.

作者信息

Adler Adam C, Cestero Cesar, Lewis Eugene H, Roberts Ingram M, Castillo Eddy A

机构信息

Department of Internal Medicine, St. Vincent's Medical Center, Bridgeport, Conn., USA.

出版信息

Case Rep Gastroenterol. 2011 Apr 15;5(1):232-8. doi: 10.1159/000327986.

Abstract

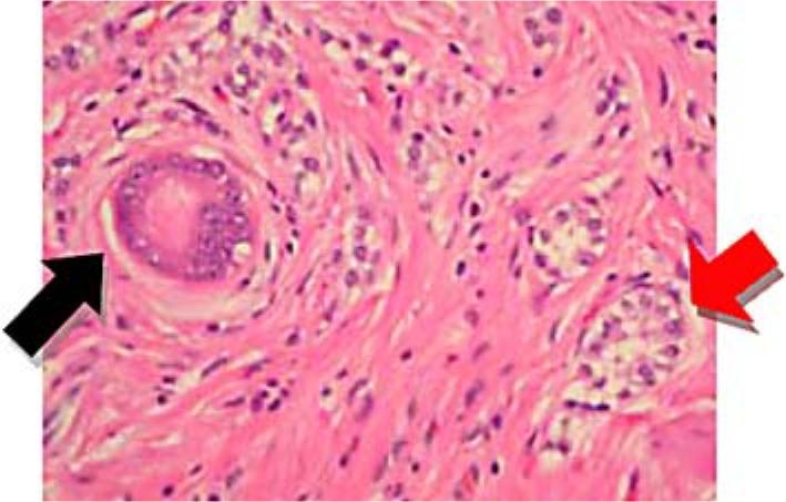
A 42-year-old Hispanic female was referred for investigation of unexplained weight loss. Initial upper endoscopy showed atrophic gastritis. Repeat endoscopy one year later revealed the presence of mixed composite tumor consisting of gastric adenocarcinoma and carcinoid tumors. Treatment was accomplished by surgical excision. Such cases are extremely rare and few such reports are available in the literature. We discuss the pathologies and means by which these tumors are classified and treated.

摘要

一名42岁的西班牙裔女性因不明原因体重减轻前来接受检查。初次上消化道内镜检查显示为萎缩性胃炎。一年后复查内镜发现存在由胃腺癌和类癌组成的混合性复合肿瘤。通过手术切除进行了治疗。此类病例极为罕见,文献中鲜有此类报道。我们讨论了这些肿瘤的病理以及分类和治疗方法。

https://cdn.ncbi.nlm.nih.gov/pmc/blobs/f7a8/3088755/700ac33b9120/crg0005-0232-f01.jpg

文献检索

告别复杂PubMed语法,用中文像聊天一样搜索,搜遍4000万医学文献。AI智能推荐,让科研检索更轻松。

立即免费搜索

文件翻译

保留排版,准确专业,支持PDF/Word/PPT等文件格式,支持 12+语言互译。

免费翻译文档

深度研究

AI帮你快速写综述,25分钟生成高质量综述,智能提取关键信息,辅助科研写作。

立即免费体验