Suppr超能文献

右心室原发性心脏肉瘤不寻常的生存时间。

Unusual survival time of primary cardiac sarcoma of the right ventricle.

作者信息

Buresly Khaled M, Shukkur Abdul Mohammed, Uthaman Babu

机构信息

Department of Cardiology, Chest Diseases Hospital, Kuwait.

出版信息

Heart Views. 2011 Jan;12(1):35-8. doi: 10.4103/1995-705X.81552.

Abstract

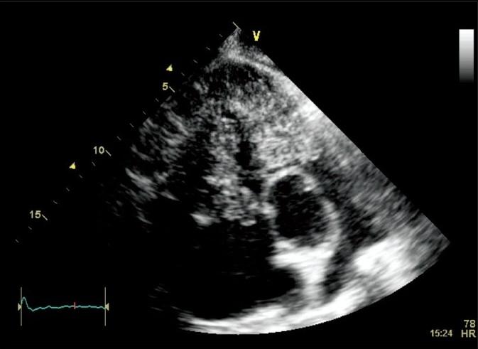
Primary cardiac sarcomas are rare tumors with unfavorable prognosis. We report a 69-year-old male with a right ventricular mass diagnosed as primary malignant cardiac sarcoma with unexpected long survival of 16.5 months.

摘要

原发性心脏肉瘤是一种预后不良的罕见肿瘤。我们报告一例69岁男性,其右心室肿块被诊断为原发性恶性心脏肉瘤,生存期意外长达16.5个月。

https://cdn.ncbi.nlm.nih.gov/pmc/blobs/030b/3123515/a238b5ed2a57/HV-12-35-g001.jpg

文献AI研究员

20分钟写一篇综述,助力文献阅读效率提升50倍。

立即体验

用中文搜PubMed

大模型驱动的PubMed中文搜索引擎

马上搜索

文档翻译

学术文献翻译模型,支持多种主流文档格式。

立即体验