Suppr超能文献

生殖组织中缺氧内在和外在标志物的免疫组织化学评估:HIF1α 和 HIF2α 在大鼠输卵管和子宫内膜中的差异表达。

Immunohistochemical assessment of intrinsic and extrinsic markers of hypoxia in reproductive tissue: differential expression of HIF1α and HIF2α in rat oviduct and endometrium.

机构信息

School of Life Sciences, University of Westminster, 115 New Cavendish St., London, UK.

出版信息

J Mol Histol. 2011 Aug;42(4):341-54. doi: 10.1007/s10735-011-9338-2. Epub 2011 Jul 6.

Abstract

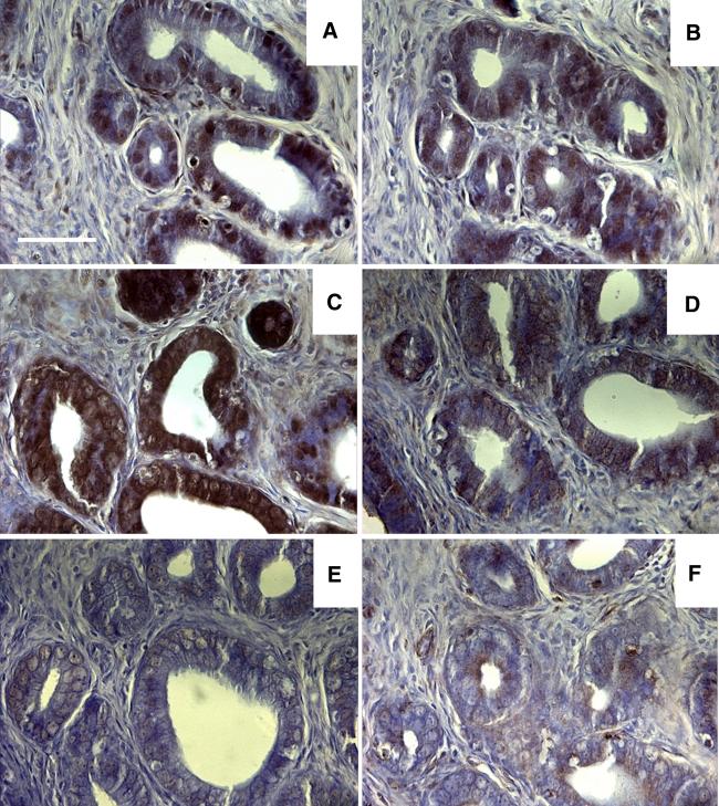
Hypoxia is thought to be critical in regulating physiological processes within the female reproductive system, including ovulation, composition of the fluid in the oviductal/uterine lumens and ovarian follicle development. This study examined the localisation of exogenous (pimonidazole) and endogenous [hypoxia inducible factor 1α and 2α (HIF1α, -2α), glucose transporter type 1 (GLUT1) and carbonic anhydrase 9 (CAIX)] hypoxia-related antigens within the oviduct and uterus of the rat reproductive tract. The extent to which each endogenous antigen co-compartmentalised with pimonidazole was also assessed. Female Wistar Furth rats (n = 10) were injected intraperitoneally with pimonidazole (60 mg/kg) 1 h prior to death. Reproductive tissues were removed immediately following death and fixed in 4% paraformaldehyde before being embedded in paraffin. Serial sections were cut (6-7 μm thick) and antigens of interest identified using standard immunohistochemical procedures. The mucosal epithelia of the ampulla, isthmus and uterus were immunopositive for pimonidazole in most sections. Co-compartmentalisation of pimonidazole with HIF1α was only expressed in the mucosa of the uterus whilst co-compartmentalisation with HIF2α was observed in the mucosa of the ampulla, isthmus and uterus. Both GLUT1 and CAIX were co-compartmentalised with pimonidazole in mucosa of the isthmus and uterus. This study confirms that mucosal regions of the rat oviduct and uterus frequently experience severe hypoxia and there are compartment specific variations in expression of endogenous hypoxia-related antigens, including the HIF isoforms. The latter observation may relate to target gene specificity of HIF isoforms or perhaps HIF2α's responsiveness to non-hypoxic stimuli such as hypoglycaemia independently of HIF1α.

摘要

缺氧被认为在调节女性生殖系统的生理过程中至关重要,包括排卵、输卵管/子宫腔液体的组成和卵巢卵泡的发育。本研究检查了外源性(匹莫硝唑)和内源性[缺氧诱导因子 1α 和 2α(HIF1α、-2α)、葡萄糖转运蛋白 1(GLUT1)和碳酸酐酶 9(CAIX)]缺氧相关抗原在大鼠生殖道输卵管和子宫中的定位。还评估了每种内源性抗原与匹莫硝唑共区室化的程度。将雌性 Wistar Furth 大鼠(n=10)在死亡前 1 小时腹膜内注射匹莫硝唑(60mg/kg)。死亡后立即取出生殖组织,用 4%多聚甲醛固定,然后嵌入石蜡中。连续切片(6-7μm 厚),使用标准免疫组织化学程序鉴定感兴趣的抗原。在大多数切片中,输卵管壶腹部、峡部和子宫的黏膜上皮对匹莫硝唑呈免疫阳性。匹莫硝唑与 HIF1α 的共区室化仅在子宫黏膜中表达,而 HIF2α 的共区室化则在输卵管、峡部和子宫的黏膜中观察到。GLUT1 和 CAIX 均与峡部和子宫黏膜中的匹莫硝唑共区室化。本研究证实,大鼠输卵管和子宫的黏膜区域经常经历严重缺氧,内源性缺氧相关抗原的表达存在特定部位的差异,包括 HIF 同工型。后一种观察结果可能与 HIF 同工型的靶基因特异性有关,或者 HIF2α 对非缺氧刺激(如低血糖)的反应性独立于 HIF1α。

https://cdn.ncbi.nlm.nih.gov/pmc/blobs/0f98/3136703/dbc438b0e2a9/10735_2011_9338_Fig1_HTML.jpg

文献检索

告别复杂PubMed语法,用中文像聊天一样搜索,搜遍4000万医学文献。AI智能推荐,让科研检索更轻松。

立即免费搜索

文件翻译

保留排版,准确专业,支持PDF/Word/PPT等文件格式,支持 12+语言互译。

免费翻译文档

深度研究

AI帮你快速写综述,25分钟生成高质量综述,智能提取关键信息,辅助科研写作。

立即免费体验