• 文献检索
  • 文档翻译
  • 深度研究
  • 学术资讯
  • Suppr Zotero 插件Zotero 插件
  • 邀请有礼
  • 套餐&价格
  • 历史记录
应用&插件
Suppr Zotero 插件Zotero 插件浏览器插件Mac 客户端Windows 客户端微信小程序
定价
高级版会员购买积分包购买API积分包
服务
文献检索文档翻译深度研究API 文档MCP 服务
关于我们
关于 Suppr公司介绍联系我们用户协议隐私条款
关注我们

Suppr 超能文献

核心技术专利:CN118964589B侵权必究
粤ICP备2023148730 号-1Suppr @ 2026

文献检索

告别复杂PubMed语法,用中文像聊天一样搜索,搜遍4000万医学文献。AI智能推荐,让科研检索更轻松。

立即免费搜索

文件翻译

保留排版,准确专业,支持PDF/Word/PPT等文件格式,支持 12+语言互译。

免费翻译文档

深度研究

AI帮你快速写综述,25分钟生成高质量综述,智能提取关键信息,辅助科研写作。

立即免费体验

自身免疫性肝炎:当前诊断与治疗综述

Autoimmune hepatitis: a review of current diagnosis and treatment.

作者信息

Makol Ashima, Watt Kymberly D, Chowdhary Vaidehi R

机构信息

Division of Rheumatology, Department of Medicine, Mayo Clinic College of Medicine, Rochester, MN 55905, USA.

出版信息

Hepat Res Treat. 2011;2011:390916. doi: 10.1155/2011/390916. Epub 2011 May 15.

DOI:10.1155/2011/390916
PMID:21760995
原文链接:https://pmc.ncbi.nlm.nih.gov/articles/PMC3132488/
Abstract

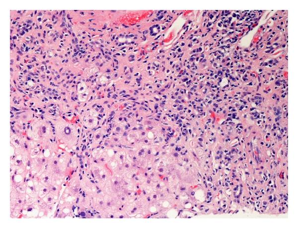
Autoimmune hepatitis (AIH) is a chronic inflammatory disorder characterized by periportal inflammation, elevated immunoglobulins, autoantibodies, and a dramatic response to immunosuppression. An environmental agent is hypothesized to trigger an immune-mediated attack directed against liver antigens in genetically predisposed individuals. A plethora of clinical presentations can be seen ranging from chronic indolent disease to fulminant hepatic failure, and diagnosis requires exclusion of other causes of liver disease. Corticosteroid therapy must be instituted early and modified in an individualized fashion. Treatment decisions are often complicated by the diverse clinical manifestations, uncertainty about natural history, evolving ideas about treatment end points, and a multitude of alternative immunosuppressive agents. Achieving normal liver tests and tissue is the ideal treatment end point, but needs to be weighed against the risk of side effects. Decompensated patients may benefit from early liver transplantation. Long-term prognosis is excellent with early and aggressive initiation of therapy. Our paper discusses AIH, giving a detailed overview of its clinical presentation, risk factors, immunopathogenesis, up-to-date diagnostic criteria, current updates in therapy with a brief discussion of AIH in pregnancy, and long-term implications for cirrhosis and hepatocellular carcinoma in AIH patients.

摘要

自身免疫性肝炎(AIH)是一种慢性炎症性疾病,其特征为汇管区周围炎症、免疫球蛋白升高、自身抗体以及对免疫抑制有显著反应。据推测,环境因素会在遗传易感性个体中引发针对肝脏抗原的免疫介导攻击。AIH有多种临床表现,从慢性隐匿性疾病到暴发性肝衰竭不等,诊断需要排除其他肝病病因。必须尽早开始使用皮质类固醇疗法,并根据个体情况进行调整。治疗决策常常因临床表现多样、自然病史不确定、治疗终点观念不断演变以及多种替代免疫抑制剂而变得复杂。实现肝功能检查和组织正常是理想的治疗终点,但需要权衡副作用风险。失代偿患者可能从早期肝移植中获益。早期积极开始治疗,长期预后良好。我们的论文讨论了AIH,详细概述了其临床表现、危险因素、免疫发病机制、最新诊断标准、当前治疗进展,并简要讨论了妊娠合并AIH以及AIH患者发生肝硬化和肝细胞癌的长期影响。

https://cdn.ncbi.nlm.nih.gov/pmc/blobs/1318/3132488/479129ab5176/HEPRT2011-390916.002.jpg
https://cdn.ncbi.nlm.nih.gov/pmc/blobs/1318/3132488/d59685411a8f/HEPRT2011-390916.001.jpg
https://cdn.ncbi.nlm.nih.gov/pmc/blobs/1318/3132488/479129ab5176/HEPRT2011-390916.002.jpg
https://cdn.ncbi.nlm.nih.gov/pmc/blobs/1318/3132488/d59685411a8f/HEPRT2011-390916.001.jpg
https://cdn.ncbi.nlm.nih.gov/pmc/blobs/1318/3132488/479129ab5176/HEPRT2011-390916.002.jpg

相似文献

1
Autoimmune hepatitis: a review of current diagnosis and treatment.自身免疫性肝炎:当前诊断与治疗综述
Hepat Res Treat. 2011;2011:390916. doi: 10.1155/2011/390916. Epub 2011 May 15.
2
[Autoimmune liver diseases and their overlap syndromes].[自身免疫性肝病及其重叠综合征]
Praxis (Bern 1994). 2006 Sep 6;95(36):1363-81. doi: 10.1024/1661-8157.95.36.1363.
3
Difficult treatment decisions in autoimmune hepatitis.自身免疫性肝炎的治疗决策难题。
World J Gastroenterol. 2010 Feb 28;16(8):934-47. doi: 10.3748/wjg.v16.i8.934.
4
Diagnosis and treatment of autoimmune hepatitis.自身免疫性肝炎的诊断与治疗。
Dig Dis. 2012;30(2):212-5. doi: 10.1159/000336704. Epub 2012 Jun 20.
5
Autoimmune hepatitis: a review.自身免疫性肝炎:综述
J Pak Med Assoc. 2010 May;60(5):381-7.
6
Autoimmune hepatitis in children: an overview of the disease focusing on current therapies.儿童自身免疫性肝炎:疾病概述,重点关注当前治疗方法。
Eur J Gastroenterol Hepatol. 2012 Jul;24(7):739-46. doi: 10.1097/MEG.0b013e328353750c.
7
Cytochromes P450 and uridine triphosphate-glucuronosyltransferases: model autoantigens to study drug-induced, virus-induced, and autoimmune liver disease.细胞色素P450和尿苷三磷酸葡萄糖醛酸转移酶:用于研究药物性、病毒感染性和自身免疫性肝病的模型自身抗原。
Hepatology. 1997 Oct;26(4):1054-66. doi: 10.1002/hep.510260438.
8
Autoimmune diseases of the liver and biliary tract and overlap syndromes in childhood.儿童期肝脏和胆道自身免疫性疾病及重叠综合征
Minerva Gastroenterol Dietol. 2009 Mar;55(1):53-70.
9
[Autoimmune hepatitis].[自身免疫性肝炎]
An Med Interna. 2004 Jul;21(7):340-54. doi: 10.4321/s0212-71992004000700008.
10
Current concepts in the diagnosis and management of autoimmune hepatitis.自身免疫性肝炎诊断与管理的当前概念
Frontline Gastroenterol. 2013 Jan;4(1):2-11. doi: 10.1136/flgastro-2012-100208. Epub 2012 Nov 12.

引用本文的文献

1
Adult-onset Still's Disease Diagnosed during Puerperium with Liver Dysfunction in Pregnancy and Liver Failure of the Infant.产褥期肝功能异常合并妊娠期肝衰竭及婴儿肝功能衰竭的成人斯蒂尔病
Intern Med. 2023;62(16):2349-2354. doi: 10.2169/internalmedicine.1038-22. Epub 2023 Aug 15.
2
Autoimmune hepatitis presenting with concomitant chronic pancreatitis.自身免疫性肝炎合并慢性胰腺炎。
Radiol Case Rep. 2023 Jun 15;18(9):2871-2875. doi: 10.1016/j.radcr.2023.05.040. eCollection 2023 Sep.
3
Autoimmune Hepatitis Leading to Liver Cirrhosis: A Case Report.

本文引用的文献

1
Autoantigen-specific regulatory T cells, a potential tool for immune-tolerance reconstitution in type-2 autoimmune hepatitis.自身抗原特异性调节性 T 细胞,在 2 型自身免疫性肝炎中重建免疫耐受的潜在工具。
Hepatology. 2011 Feb;53(2):536-47. doi: 10.1002/hep.24039. Epub 2010 Dec 28.
2
Diagnosis and management of autoimmune hepatitis.自身免疫性肝炎的诊断与管理
Hepatology. 2010 Jun;51(6):2193-213. doi: 10.1002/hep.23584.
3
Autoantibodies as prognostic markers in autoimmune liver disease.自身抗体作为自身免疫性肝病的预后标志物。
自身免疫性肝炎导致肝硬化:病例报告。
JNMA J Nepal Med Assoc. 2022 Dec 1;60(256):1059-1062. doi: 10.31729/jnma.7808.
4
LiverMultiScan as an alternative to liver biopsy to monitor autoimmune hepatitis in the National Health Service in England: an economic evaluation.LiverMultiScan 作为替代肝活检监测英格兰国民保健制度中自身免疫性肝炎的手段:一项经济评估。
BMJ Open. 2022 Sep 8;12(9):e058999. doi: 10.1136/bmjopen-2021-058999.
5
Clinical Characteristics of Autoimmune Hepatitis in a Middle Eastern Population: A Tertiary Care Center Experience.中东人群自身免疫性肝炎的临床特征:三级医疗中心经验
J Clin Med. 2023 Jan 12;12(2):629. doi: 10.3390/jcm12020629.
6
Acute Severe Seronegative Autoimmune Hepatitis With Undiagnosed Graves' Disease.伴有未确诊格雷夫斯病的急性重症血清阴性自身免疫性肝炎
Cureus. 2022 Jul 15;14(7):e26884. doi: 10.7759/cureus.26884. eCollection 2022 Jul.
7
Rescue of autoimmune hepatitis by soluble MHC class II molecules in an altered concanavalin A-induced experimental model.在伴刀豆球蛋白A诱导的改变实验模型中,可溶性MHC II类分子对自身免疫性肝炎的挽救作用
Animal Model Exp Med. 2020 Aug 27;3(3):264-272. doi: 10.1002/ame2.12133. eCollection 2020 Sep.
8
Development and validation of radiomics model built by incorporating machine learning for identifying liver fibrosis and early-stage cirrhosis.通过纳入机器学习构建用于识别肝纤维化和早期肝硬化的放射组学模型的开发与验证
Chin Med J (Engl). 2020 Nov 20;133(22):2653-2659. doi: 10.1097/CM9.0000000000001113.
9
Autoantibodies associated with primary biliary cholangitis are common among patients with systemic lupus erythematosus even in the absence of elevated liver enzymes.原发性胆汁性胆管炎相关的自身抗体在系统性红斑狼疮患者中很常见,即使肝酶没有升高也是如此。
Clin Exp Immunol. 2021 Jan;203(1):22-31. doi: 10.1111/cei.13512. Epub 2020 Sep 29.
10
The Saudi association for the study of liver diseases and transplantation clinical practice guidelines for management of autoimmune hepatitis.沙特肝脏疾病与移植研究协会自身免疫性肝炎管理临床实践指南
Saudi J Gastroenterol. 2018 Nov;24(7 Suppl):S1-S20. doi: 10.4103/sjg.SJG_159_18.
Dig Dis Sci. 2010 Aug;55(8):2144-61. doi: 10.1007/s10620-010-1268-4. Epub 2010 May 13.
4
New animal models for autoimmune hepatitis.自身免疫性肝炎的新型动物模型
Semin Liver Dis. 2009 Aug;29(3):262-72. doi: 10.1055/s-0029-1233536. Epub 2009 Aug 12.
5
Autoantibodies and their antigens in autoimmune hepatitis.自身免疫性肝炎中的自身抗体及其抗原
Semin Liver Dis. 2009 Aug;29(3):241-53. doi: 10.1055/s-0029-1233533. Epub 2009 Aug 12.
6
Autoimmune hepatitis.
Semin Liver Dis. 2009 Aug;29(3):239-40. doi: 10.1055/s-0029-1233528. Epub 2009 Aug 12.
7
Identification and characterization of IgG4-associated autoimmune hepatitis.IgG4 相关自身免疫性肝炎的鉴定和特征描述。
Liver Int. 2010 Feb;30(2):222-31. doi: 10.1111/j.1478-3231.2009.02092.x. Epub 2009 Jul 24.
8
Clinical features of autoimmune hepatitis diagnosed based on simplified criteria of the International Autoimmune Hepatitis Group.根据国际自身免疫性肝炎组织简化标准诊断的自身免疫性肝炎的临床特征。
Dig Liver Dis. 2010 Mar;42(3):210-5. doi: 10.1016/j.dld.2009.06.013. Epub 2009 Jul 25.
9
Autoimmune hepatitis.自身免疫性肝炎
Semin Immunopathol. 2009 Sep;31(3):421-35. doi: 10.1007/s00281-009-0170-7. Epub 2009 Jun 17.
10
Mycophenolate mofetil as rescue treatment for autoimmune liver disease in children: a 5-year follow-up.霉酚酸酯作为儿童自身免疫性肝病的挽救治疗:5年随访
J Hepatol. 2009 Jul;51(1):156-60. doi: 10.1016/j.jhep.2009.02.024. Epub 2009 Apr 9.