Suppr超能文献

原发性脑膜横纹肌肉瘤

Primary meningeal rhabdomyosarcoma.

作者信息

Palta Manisha, Riedel Richard F, Vredenburgh James J, Cummings Thomas J, Green Scott, Chang Zheng, Kirkpatrick John P

机构信息

Department of Radiation Oncology, Duke University Medical Center, Durham, NC 27710, USA.

出版信息

Sarcoma. 2011;2011:312802. doi: 10.1155/2011/312802. Epub 2011 Jun 23.

Abstract

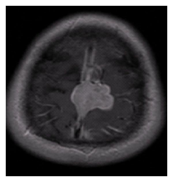
Primary meningeal rhabdomyosarcoma is a rare primary brain malignancy, with scant case reports. While most reports of primary intracranial rhabdomyosarcoma occur in pediatric patients, a handful of cases in adult patients have been reported in the medical literature. We report the case of a 44-year-old male who developed primary meningeal rhabdomyosarcoma. After developing episodes of right lower extremity weakness, word finding difficulty, and headaches, a brain magnetic resonance imaging (MRI) demonstrated a vertex lesion with radiographic appearance of a meningeal-derived tumor. Subtotal surgical resection was performed due to sagittal sinus invasion and initial pathology was interpreted as an anaplastic meningioma. Re-review of pathology demonstrated rhabdomyosarcoma negative for alveolar translocation t(2;13). Staging studies revealed no evidence of disseminated disease. He was treated with stereotactic radiotherapy with concurrent temozolamide to be followed by vincristine, actinomycin-D, and cyclophosphamide (VAC) systemic therapy.

摘要

原发性脑膜横纹肌肉瘤是一种罕见的原发性脑恶性肿瘤,病例报告较少。虽然大多数原发性颅内横纹肌肉瘤的报告发生在儿科患者中,但医学文献中也报道了少数成年患者的病例。我们报告了一例44岁男性原发性脑膜横纹肌肉瘤的病例。在出现右下肢无力、找词困难和头痛症状后,脑部磁共振成像(MRI)显示顶部有一个病变,影像学表现为脑膜来源的肿瘤。由于矢状窦受侵,进行了次全手术切除,初始病理诊断为间变性脑膜瘤。病理复查显示为横纹肌肉瘤,肺泡转位t(2;13)阴性。分期检查未发现播散性疾病的证据。他接受了立体定向放疗并同时使用替莫唑胺,随后接受长春新碱、放线菌素-D和环磷酰胺(VAC)全身治疗。

https://cdn.ncbi.nlm.nih.gov/pmc/blobs/96a2/3137955/6cea64a47cf0/SRCM2011-312802.001.jpg

文献AI研究员

20分钟写一篇综述,助力文献阅读效率提升50倍。

立即体验

用中文搜PubMed

大模型驱动的PubMed中文搜索引擎

马上搜索

文档翻译

学术文献翻译模型,支持多种主流文档格式。

立即体验