Suppr超能文献

一名HIV阳性患者因沙门氏菌感染导致复发性脑膜炎和蛛网膜下腔出血:病例报告及文献综述

Recurrent Meningitis and Subarachnoid Hemorrhage Due to Salmonella in an HIV+ Patient: Case Report and Mini-Review of the Literature.

作者信息

Belloso Waldo H, Romano Marina, Greco Graciela S, Davey Richard T, Perelsztein Ariel G, Sánchez Marisa L, Ajzenszlos Martín R, Otegui Inés M

机构信息

Infectious Diseases Section, Internal Medicine Service, Hospital Italiano de Buenos Aires, Argentina.

出版信息

Open AIDS J. 2011;5:62-6. doi: 10.2174/1874613601105010062. Epub 2011 Jul 11.

Abstract

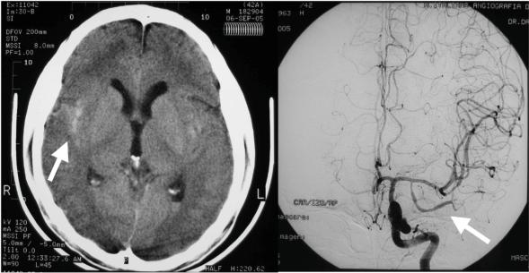
Meningitis due to non-typhi salmonella is infrequent in HIV-positive adults.We report a case of a patient with >300 CD4+ cells/mm3 who presented with five episodes of recurrent meningitis, focal subarachnoid hemorrhage and cerebral vasculitis ultimately attributed to Salmonella choleraesuis infection. Even within the cART era invasive salmonellosis can occur in unusual ways in HIV-infected patients.

摘要

非伤寒沙门氏菌引起的脑膜炎在HIV阳性成年人中并不常见。我们报告了一例CD4+细胞计数>300个/mm³的患者,该患者出现了五次复发性脑膜炎、局灶性蛛网膜下腔出血和脑血管炎,最终归因于猪霍乱沙门氏菌感染。即使在抗逆转录病毒治疗(cART)时代,侵袭性沙门氏菌病在HIV感染患者中仍可能以不寻常的方式发生。

https://cdn.ncbi.nlm.nih.gov/pmc/blobs/450b/3139252/68a47e45ec54/TOAIDJ-5-62_F1.jpg

相似文献

3
Non-typhi Salmonella adrenal abscess in an HIV-infected patient.
Scand J Infect Dis. 2005;37(5):370-2. doi: 10.1080/00365540510034527.
5
Salmonella meningitis in adults infected with HIV: case report and review of the literature.
Am J Med Sci. 2002 May;323(5):266-8. doi: 10.1097/00000441-200205000-00007.
6
Salmonella meningitis: report of three cases in adults and literature review.
Infection. 2002 Apr;30(2):104-8. doi: 10.1007/s15010-002-2071-8.
7
Salmonella meningitis and infection with HIV.
AIDS. 1990 Dec;4(12):1271-3. doi: 10.1097/00002030-199012000-00015.
9
Non-typhoidal Salmonella infections in HIV-positive adults.
S Afr Med J. 2015 Sep 18;105(10):805-7. doi: 10.7196/SAMJnew.7802.
10
Nontyphoidal salmonella intracranial infections in HIV-infected patients.
Clin Infect Dis. 1997 Nov;25(5):1118-20. doi: 10.1086/516101.

引用本文的文献

1
Clinical and Microbiological Features of Salmonella Meningitis in a South African Population, 2003-2013.
Clin Infect Dis. 2015 Nov 1;61 Suppl 4(Suppl 4):S272-82. doi: 10.1093/cid/civ685.

本文引用的文献

2
Salmonella typhimurium meningitis in an adult patient with AIDS.
J Clin Pathol. 2008 Jan;61(1):138-9. doi: 10.1136/jcp.2006.043216. Epub 2006 Dec 8.
5
Salmonella meningitis in adults infected with HIV: case report and review of the literature.
Am J Med Sci. 2002 May;323(5):266-8. doi: 10.1097/00000441-200205000-00007.
7
Vasculitides associated with HIV infection.
J Clin Pathol. 2001 Apr;54(4):275-8. doi: 10.1136/jcp.54.4.275.
8
The risk of vascular infection in adult patients with nontyphi Salmonella bacteremia.
Am J Med. 2001 Jan;110(1):60-3. doi: 10.1016/s0002-9343(00)00638-0.
9

文献AI研究员

20分钟写一篇综述,助力文献阅读效率提升50倍。

立即体验

用中文搜PubMed

大模型驱动的PubMed中文搜索引擎

马上搜索

文档翻译

学术文献翻译模型,支持多种主流文档格式。

立即体验