• 文献检索
  • 文档翻译
  • 深度研究
  • 学术资讯
  • Suppr Zotero 插件Zotero 插件
  • 邀请有礼
  • 套餐&价格
  • 历史记录
应用&插件
Suppr Zotero 插件Zotero 插件浏览器插件Mac 客户端Windows 客户端微信小程序
定价
高级版会员购买积分包购买API积分包
服务
文献检索文档翻译深度研究API 文档MCP 服务
关于我们
关于 Suppr公司介绍联系我们用户协议隐私条款
关注我们

Suppr 超能文献

核心技术专利:CN118964589B侵权必究
粤ICP备2023148730 号-1Suppr @ 2026

文献检索

告别复杂PubMed语法,用中文像聊天一样搜索,搜遍4000万医学文献。AI智能推荐,让科研检索更轻松。

立即免费搜索

文件翻译

保留排版,准确专业,支持PDF/Word/PPT等文件格式,支持 12+语言互译。

免费翻译文档

深度研究

AI帮你快速写综述,25分钟生成高质量综述,智能提取关键信息,辅助科研写作。

立即免费体验

经食管超声心动图检查后致命性咽后血肿的手术治疗。

Surgical management of a life-threatening retro-pharyngeal haematoma following trans-oesophageal echocardiography.

机构信息

Department of Clinical Sciences "L. Sacco", Milan, Italy.

出版信息

Acta Otorhinolaryngol Ital. 2011 Feb;31(1):39-42.

PMID:21808462
原文链接:https://pmc.ncbi.nlm.nih.gov/articles/PMC3146329/
Abstract

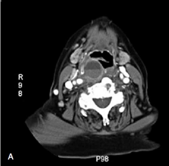
Trans-oesophageal echocardiography is generally considered a safe procedure, but occasional life-threatening complications have been reported. The aim of this clinical investigation is to outline the need of surgical management in cases of large retro-pharyngeal haematoma following trans-oesophageal echocardiography. In the case reported here, a patient with cervical spondylosis on anti-coagulant therapy was referred to the Head and Neck Department because of a retro-pharyngeal haematoma with severe upper airway obstruction following transoesophageal echocardiography. Tracheotomy was required to guarantee respiratory function, while trans-cervical surgery was performed to evacuate the haematoma. Total recovery was achieved within 10 days. In conclusion, the head and neck surgeon should consider the need of surgical management in cases of retro-pharyngeal haematoma following trans-oesophageal echocardiography.

摘要

经食管超声心动图通常被认为是一种安全的程序,但偶尔也会发生危及生命的并发症。本临床研究的目的是概述在经食管超声心动图后出现大的咽后血肿时需要手术治疗的情况。在此报告的病例中,一名患有颈椎病且正在抗凝治疗的患者因经食管超声心动图后出现咽后血肿并伴有严重的上呼吸道梗阻而被转至头颈外科。需要进行气管切开术以保证呼吸功能,同时进行经颈手术以清除血肿。患者在 10 天内完全康复。总之,当经食管超声心动图后出现咽后血肿时,头颈外科医生应考虑手术治疗的必要性。

https://cdn.ncbi.nlm.nih.gov/pmc/blobs/a7df/3146329/cdad8564f883/0392-100X-31-39-g001a.jpg
https://cdn.ncbi.nlm.nih.gov/pmc/blobs/a7df/3146329/cdad8564f883/0392-100X-31-39-g001a.jpg
https://cdn.ncbi.nlm.nih.gov/pmc/blobs/a7df/3146329/cdad8564f883/0392-100X-31-39-g001a.jpg

相似文献

1
Surgical management of a life-threatening retro-pharyngeal haematoma following trans-oesophageal echocardiography.经食管超声心动图检查后致命性咽后血肿的手术治疗。
Acta Otorhinolaryngol Ital. 2011 Feb;31(1):39-42.
2
Upper airway obstruction after transesophageal echocardiography.经食管超声心动图检查后的上气道梗阻
J Am Soc Echocardiogr. 1997 Nov-Dec;10(9):977-8. doi: 10.1016/s0894-7317(97)80015-6.
3
Ruptured oesophageal haematoma caused by transoesophageal echocardiography.经食管超声心动图引起的食管血肿破裂
Eur Heart J. 2017 Nov 21;38(44):3324. doi: 10.1093/eurheartj/ehx356.
4
Retropharyngeal haematoma leading to airway obstruction in a child with closed head trauma.一名闭合性颅脑损伤儿童发生咽后血肿导致气道梗阻。
Paediatr Anaesth. 1998;8(4):353-6.
5
Large dissecting intramural haematoma of the oesophagus and stomach and major gastro-oesophageal bleeding after transoesophageal echocardiography during transcatheter aortic valve replacement procedures.经导管主动脉瓣置换手术期间经食管超声心动图检查后出现的食管和胃壁内巨大夹层血肿及严重的胃食管出血。
Eur Heart J Cardiovasc Imaging. 2018 Aug 1;19(8):955. doi: 10.1093/ehjci/jey058.
6
Delayed upper airway obstruction following a retropharyngeal haematoma after minor head trauma.轻度头部外伤后咽后血肿导致的迟发性上气道梗阻。
Eur J Emerg Med. 2000 Dec;7(4):301-3. doi: 10.1097/00063110-200012000-00010.
7
Large oesophageal haematoma as a result of transoesophageal echocardiogram (TEE).经食管超声心动图(TEE)导致的巨大食管血肿。
BMJ Case Rep. 2017 Nov 8;2017:bcr-2017-223278. doi: 10.1136/bcr-2017-223278.
8
Large retropharyngeal haematoma. Airway management with Airtraq® laryngoscope.巨大咽后血肿。使用Airtraq®喉镜进行气道管理。
Rev Esp Anestesiol Reanim (Engl Ed). 2018 Apr;65(4):229-233. doi: 10.1016/j.redar.2017.11.003. Epub 2017 Dec 11.
9
Retropharyngeal space swelling secondary to minor blunt head and neck trauma.轻微钝性头颈部创伤继发咽后间隙肿胀
J Laryngol Otol. 2004 Jun;118(6):465-7. doi: 10.1258/002221504323219626.
10
Tonsillar haematoma presenting as a large oropharynx mass caused by toothbrush trauma.扁桃体血肿表现为因牙刷创伤导致的巨大口咽肿物。
Br J Hosp Med (Lond). 2006 Sep;67(9):491. doi: 10.12968/hmed.2006.67.Sup9.22003.

引用本文的文献

1
Traumatic retropharyngeal hematoma: A systematic review of reported cases.创伤性咽后血肿:病例报告的系统回顾。
Saudi Med J. 2024 Jan;45(1):10-26. doi: 10.15537/smj.2024.45.1.20230565.
2
Intra-arrest transesophageal echocardiography during cardiopulmonary resuscitation.心肺复苏期间的心脏骤停时经食管超声心动图检查
Clin Exp Emerg Med. 2022 Dec;9(4):271-280. doi: 10.15441/ceem.22.399. Epub 2022 Dec 7.

本文引用的文献

1
Transesophageal echocardiography-related complications.经食管超声心动图相关并发症。
Can J Anaesth. 2008 Sep;55(9):622-47. doi: 10.1007/BF03021437.
2
Airway obstruction after extubation following use of transesophageal echocardiography for posterior fossa surgery in the sitting position.在坐位下后颅窝手术中使用经食管超声心动图后拔管后气道梗阻。
J Clin Neurosci. 2007 Nov;14(11):1139-41. doi: 10.1016/j.jocn.2005.11.006. Epub 2007 Sep 4.
3
Spontaneous retropharyngeal hemorrhage causing airway obstruction: a case report with a review of the literature.
自发性咽后出血导致气道梗阻:一例病例报告并文献复习
S D Med. 2006 Jul;59(7):295-7, 299.
4
Traumatic retropharyngeal hematoma: a rare and critical pathology needed for early diagnosis.创伤性咽后血肿:一种需要早期诊断的罕见且危急的病理学情况。
Eur Arch Otorhinolaryngol. 2005 Sep;262(9):713-5. doi: 10.1007/s00405-004-0767-3. Epub 2005 Aug 19.
5
Hypopharyngeal perforation near-miss during transesophageal echocardiography.经食管超声心动图检查期间下咽穿孔未遂事件
Laryngoscope. 2004 May;114(5):821-6. doi: 10.1097/00005537-200405000-00006.
6
[Undetected hypopharyngeal perforation with deep neck abscess and mediastinitis due to transesophageal echocardiography].经食管超声心动图检查导致未被发现的下咽穿孔伴颈部深部脓肿和纵隔炎
HNO. 2003 Nov;51(11):903-7. doi: 10.1007/s00106-003-0809-y. Epub 2003 Apr 9.
7
Airway obstruction associated with transesophageal echocardiography in a patient with a giant aortic pseudoaneurysm.一名患有巨大主动脉假性动脉瘤的患者在经食管超声心动图检查时出现气道梗阻。
Anesth Analg. 2002 Sep;95(3):558-60, table of contents. doi: 10.1097/00000539-200209000-00010.
8
Retropharyngeal haematoma causing airway obstruction: a multidisciplinary challenge.咽后血肿导致气道阻塞:一项多学科挑战。
J Laryngol Otol. 2000 Sep;114(9):706-8. doi: 10.1258/0022215001906552.
9
Fatal airway compromise due to retropharyngeal hematoma after airbag deployment.安全气囊展开后因咽后血肿导致致命的气道受压。
Am Surg. 2000 Jul;66(7):692-4.
10
Life-threatening airway obstruction caused by a retropharyngeal haematoma.咽后血肿导致的危及生命的气道梗阻。
Anaesthesia. 1999 Jul;54(7):674-8. doi: 10.1046/j.1365-2044.1999.00890.x.